医影在线
标题: CT2679:[讨论]今天早上1点多发病, [打印本页]
作者: qinwei260 时间: 2006-2-4 03:51
标题: CT2679:[讨论]今天早上1点多发病,
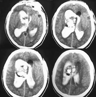
男39岁,今天早上1点多发病,来医院时病人已经昏迷.ct示脑室内出血在侧脑室顶部示有片状钙化



[本贴已被 jiajie 于 2006-2-3 20:12:04 修改过]
作者: yang4132 时间: 2006-2-4 04:31
脑血管畸形破裂破入脑室。
作者: 海洋人 时间: 2006-2-4 05:17
标题: 回复:ct2679:[讨论]今天早上1点多发病,
我想是脑室内动静脉畸形并发急性出血并继发阻塞性脑积水可能性大.当然脉络膜瘤继发除血也有可能
作者: xiaoniu 时间: 2006-2-4 05:49
标题: [讨论]
侧脑室扩大,脑室内大量出血,脑室内肿块阴影并钙化,脉络膜乳头状瘤继发出血可能。
[本贴已被 xiaoniu 于 2006-2-3 21:50:49 修改过]
作者: wawaquan 时间: 2006-2-4 06:44
钙化周围好象有脂肪密度影。
考虑:畸胎瘤破裂出血可能大。
作者: ysxyy 时间: 2006-2-4 06:59
脑血管畸形破裂破入脑室。
作者: 东北 时间: 2006-2-4 16:34
脑血管畸形破裂破入脑
作者: 国王 时间: 2006-2-4 17:28
室管膜瘤伴脑室出血
作者: woaixct 时间: 2006-2-4 19:41
脑室内出血铸型,脑室内可见较清楚的占位,脉络膜乳头状瘤、畸胎瘤、室管膜瘤都可以破裂后出血。
作者: kbzyycm 时间: 2006-2-4 19:43
脑血管畸形破裂破入脑室
作者: qinwei260 时间: 2006-2-4 20:48
标题: 1

此病人当天已经死亡,无法手术证实.
[本贴已被 jiajie 于 2006-2-4 21:10:55 修改过]
作者: zzq4480 时间: 2006-2-4 21:21
室管膜瘤并出血、破入脑室。
作者: 西北狼 时间: 2006-2-4 21:27
1:顶部好象有脂肪、钙化,请把低密度区测一下ct值,如果成立,那就考虑肌脂瘤破裂出血。
2:脉络膜乳头状瘤不能除外
作者: 光线 时间: 2006-2-5 04:51
支持楼上的
作者: ssl1_1 时间: 2006-2-5 05:00
脑血管畸形破裂破入脑室
作者: huangaiying1 时间: 2006-2-8 02:50
考虑脉络丛乳头状瘤出血
作者: jiajie 时间: 2006-2-9 05:20
右侧侧脑室室间孔区肿块,内有大片钙化,双侧侧脑室出血、脑室铸形,考虑中枢神经细胞瘤合并出血。
鉴别:1、血管畸形,多位于侧脑室后部或三角区;
2、脉络膜丛乳头状瘤、室管膜瘤多小于5岁发病,常位于三角区;
3、室管膜下巨细胞星形细胞瘤钙化很少见。
作者: shibing 时间: 2015-6-1 10:53
脑血管畸形破裂破入脑室
| 欢迎光临 医影在线 (http://bbs.radida.com/bbs/) |
Powered by Discuz! X3.2 |