











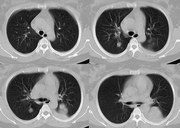
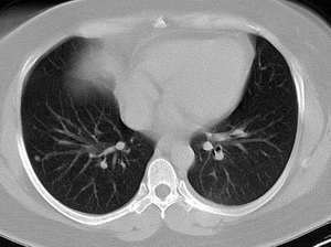
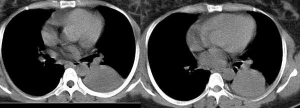
以下是引用wawaquan在2006-2-4 13:32:00的发言:[br]双上叶后段及右下叶多发大小不等圆形高密度影,与血管影相连;左下叶背段呈软组织密度影,边缘膨突,其内见一点状气体密度影,邻近胸膜增厚;纵隔淋巴结不大。[br] 女性,32岁,正哺乳期。近一周发热咳嗽,今晨咳血一次。 [br] 考虑:①双上叶后段及右下叶多发转移瘤,建议查盆腔排除子宫滋养叶细胞肿瘤。[br]②左下叶背段阻塞性炎症可能大。

以下是引用wawaquan在2006-2-4 13:32:00的发言:[br]双上叶后段及右下叶多发大小不等圆形高密度影,与血管影相连;左下叶背段呈软组织密度影,边缘膨突,其内见一点状气体密度影,邻近胸膜增厚;纵隔淋巴结不大。[br] 女性,32岁,正哺乳期。近一周发热咳嗽,今晨咳血一次。 [br] 考虑:①双上叶后段及右下叶多发转移瘤,建议查盆腔排除子宫滋养叶细胞肿瘤。[br]②左下叶背段阻塞性炎症可能大。
| 欢迎光临 医影在线 (http://bbs.radida.com/bbs/) | Powered by Discuz! X3.2 |