医影在线

标题: MRI0292:头mri请会诊 [打印本页]

作者: gaoxiao    时间: 2006-2-6 04:18
标题: MRI0292:头mri请会诊
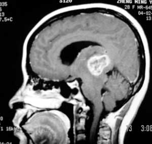
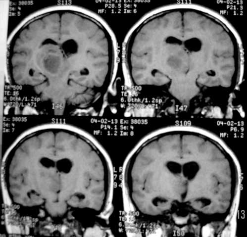
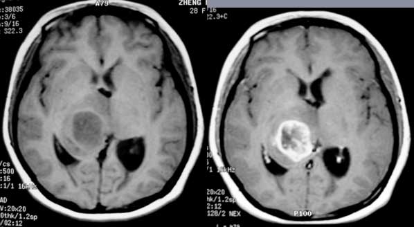
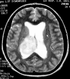
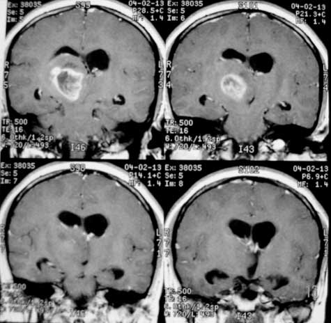
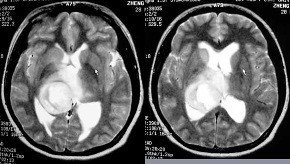
女性,28岁。头痛请会诊











[本贴已被 翁志蓬 于 2006-2-6 2:07:36 修改过]

作者: 小翟    时间: 2006-2-6 05:13
来源于丘脑,  交质瘤
作者: wawaquan    时间: 2006-2-7 04:49
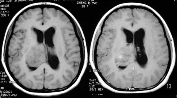
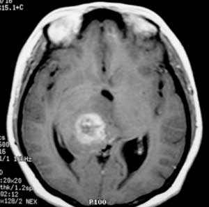
右侧丘脑类圆形等t1,长t2病灶,t1增强明显强化。
   女性,28岁。头痛请会诊。
考虑:①丘脑胶质瘤可能大。②脑积水。
作者: cyr7777    时间: 2006-2-7 05:35
胶瘤
作者: 576034755    时间: 2006-2-7 07:25
右丘脑胶质瘤3-4级
作者: 应项雪    时间: 2006-2-7 09:33
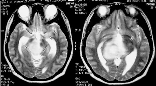
t1等信号内出现点状高信号,考虑为出血灶,肿块内侧可见弧形低信号,为脑积液影。长t2,其内有混杂信号,周壁强化明显,内不规则强化,生长位置似在右侧丘脑,又似在来源于侧脑室,故脉络丛乳头状瘤不排外。
作者: doone315    时间: 2006-2-7 16:24
来源于丘脑,胶质瘤。
作者: jiangjing    时间: 2006-2-8 06:53
考虑1丘脑胶质瘤可能。2室管膜瘤待排。其他可能不完全除外。
作者: huangaiying1    时间: 2006-2-8 17:03
右侧丘脑胶质母细胞瘤可能
作者: winner    时间: 2006-2-8 23:15
胶质瘤可能性大,请结合病史排除结核瘤的可能。
作者: lygxpygl    时间: 2006-2-16 07:11
同意胶母诊断
作者: zyx168    时间: 2008-7-22 14:52
右侧丘脑胶质母细胞瘤?
作者: dangjiancai    时间: 2015-2-5 10:44
右侧丘脑胶质母细胞瘤?
作者: jzp0434    时间: 2015-7-12 20:05
右侧丘脑胶质瘤?右侧脑室内的异常信号如何解释?不会是丘脑出血破入脑室?




欢迎光临 医影在线 (http://bbs.radida.com/bbs/) Powered by Discuz! X3.2