医影在线

标题: MRI0293:[原创]腰椎肿瘤 [打印本页]

作者: doone315    时间: 2006-2-7 04:37
标题: MRI0293:[原创]腰椎肿瘤
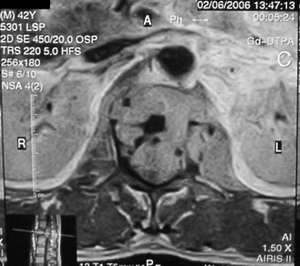
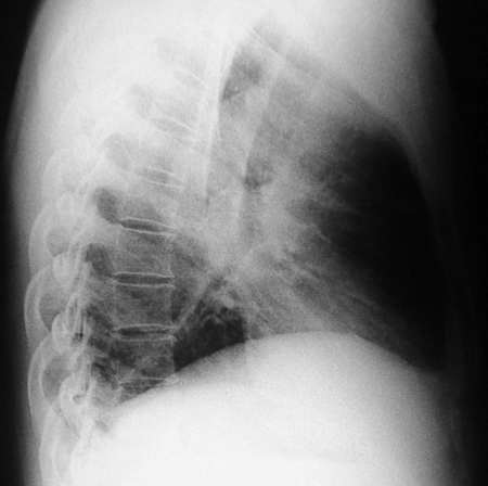
男,42岁。半年前体检发现右侧肺门肿大,mri示右侧肺门淋巴结肿大。腰背部疼痛伴右腿麻木1月入院。腹部b超示肝、胆、胰腺、脾、肾、前列腺及膀胱未见异常。afp、cea、ca199均正常。















[本贴已被 jiajie 于 2006-2-7 8:07:55 修改过]

作者: xiaoniu    时间: 2006-2-7 05:18
应该是;腰椎结核。
作者: qinwei260    时间: 2006-2-7 06:58
支持椎体结核。
作者: ZHWW    时间: 2006-2-7 20:35
考虑结核。
作者: wawaquan    时间: 2006-2-7 21:44
中央性肺癌;腰椎结核。
作者: 尚峰    时间: 2006-2-8 01:40
典型的肺癌椎体转移。
作者: doone315    时间: 2006-2-8 03:24
典型的肺癌????
补充一下:
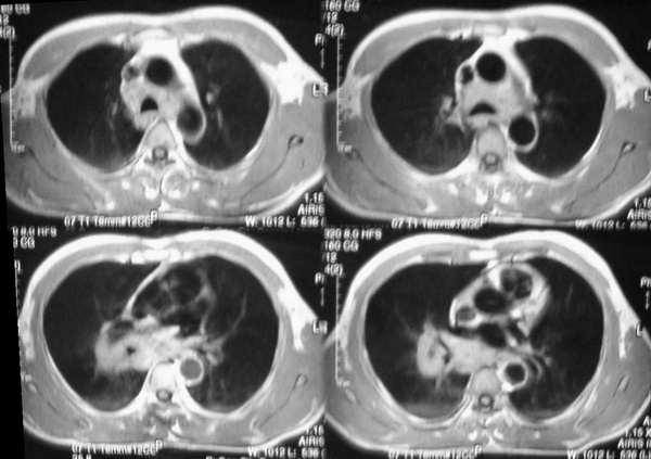
    胸部mri是半年前的,而胸部 增强ct是目前的,二者变化不大,肺部好像也没啥。
作者: jiangjing    时间: 2006-2-8 06:44
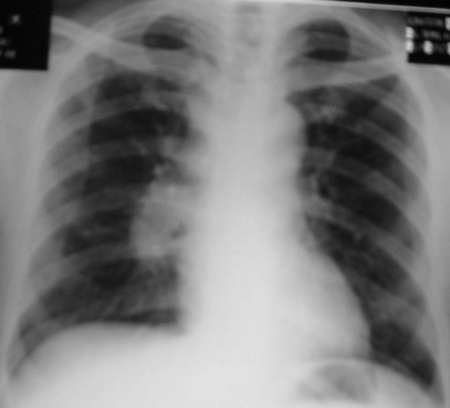
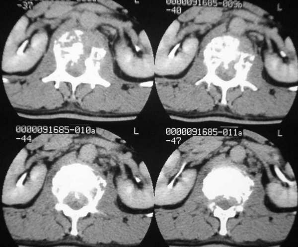
增强图像显示不清,好像有肺门及纵隔与腋下淋巴结肿大,右侧胸腔积液,腰1椎体骨质破坏,椎旁软组织肿块形成,其后硬脊膜囊明显受压。考虑淋巴瘤可能。其他待排。
作者: huangaiying1    时间: 2006-2-8 17:08
腰椎骨质破坏,但未侵及椎间盘,椎前软组织肿胀,考虑腰椎转移瘤可能
作者: 影象王    时间: 2006-2-9 06:07
胸部淋巴结肿大及腰椎改变,均考虑为转移性病变。
作者: 576034755    时间: 2006-2-9 18:39
肺癌转移
作者: qq123qq    时间: 2006-2-12 04:30
腰椎骨质破坏,但未侵及椎间盘考虑腰椎转移瘤可能
作者: 老林    时间: 2006-2-12 06:35
还应考虑淋巴瘤
作者: lygxpygl    时间: 2006-2-16 07:03
请问腰椎ct有没有平扫的,有没有骨窗位的,怎么在mri上有条片状信号缺失区,所以,结合平片我认为椎体血管瘤也无法排除????
作者: zyx168    时间: 2008-7-22 14:49
腰椎转移瘤
作者: dangjiancai    时间: 2015-2-5 11:22
肺癌腰椎转移




欢迎光临 医影在线 (http://bbs.radida.com/bbs/) Powered by Discuz! X3.2