手术病理结果比较<
作者: wawaquan 时间: 2006-2-9 05:51
非常感谢lz8320473医生,他把几例已经病理或临床证实的球形肺炎病例进行了整理和对照。同时也同意caihe 版主和听蝉观竹版主的观点,认为“球形肺炎、肺部炎性假瘤两者是有区别的”。但不太赞同“球形肺炎是以形态学命名,而炎性假瘤是以病理学上命名”的提法。
球形肺炎是大叶性肺炎的一种特殊表现[1],以肺的渗出实变为主。它的机理未明,可能是由于抗生素的广泛应用,大叶性或节段性肺炎发展受到限制而形成球形,其形成又与病缘菌的毒性数量及机体的免疫能力有关。病人多有感然症状,某些病人无明显感然症状。病变呈球形或椭圆形,大小不等,病灶密度多均匀,ct值稍低于软组织密度;或中央密度高,边缘密度低,显示晕圈状改变;有时可见空洞[2]。病灶边缘比较规则,也可不规则,有毛刺或呈锯齿状改变,但较模糊。位于肺周区,贴近胸膜,部分病栽表现为两侧缘垂直于胸膜,呈刀切样平直边缘。病灶周围血管纹理增多、增粗、常有局限性胸膜增厚。球形肺炎抗炎两周后,病灶即有缩小,最后能完全吸收。
炎性假瘤是肺内某些慢性炎症或慢性炎症的结局所致的肿瘤样病变[3],以肺的增殖性改变为主。一般为机化性肺炎局限化的结果[1,4,5]。其大体形态为肺实质内的球形肿块,压迫周围肺组织形成假包膜。病人大多有急性或慢性的肺部感然症状,约1/3的病人无临床症状,或症状轻微,多数仅有胸痛、胸闷、干咳;少数患者有痰带血丝。一般无发烧。组织学特征为多种细胞成份组成的肉牙肿。根据细胞及间质成份的不同,可分为多种组织类型,纤维组织细胞瘤型、黄色瘤样肉牙肿型、浆细胞肉牙肿型、纤维性黄色瘤型、硬化性血管瘤型、假性淋巴瘤型及肺泡上皮增生型等。
ct诊断要点:
(1)圆型、类圆型,边缘光滑的肿块。多单发,大小约3-5cm,密度均匀,边缘光滑锐利。多无分叶,偶有小切迹,肿块周围可有粗长条素血管纹理或棘状突起。
(2)局限性胸膜粘连肥厚。炎性假瘤大多位于肺的周变部,邻近胸膜常出现炎性反应。部分可显示肿块胸膜缘(包括叶间胸膜)有尖角样粘连带。
(3)增强扫描显著强化。部份病栽内可见边界清楚的低密度坏死区。
少见ct表现:
(1)钙化。少部份病灶内可见散在小钙化斑,但在硬化性血管瘤型的假瘤中,为较粗的不规则斑片状钙化,多位于肿块的中部。
(2)小空洞。
(3)巨大肿块。缓慢生长,肿块直径可达十几厘米,有明显份叶,但边缘清楚。
(4)同侧肺门淋巴结肿大。多小于1.5cm。
(5)恶变。极少,肿块生长加快,边缘出现分叶,毛刺等。
参考文献
1. 许大生,陈君禄,黄兆民,等。临床ct诊断学,广州:广东科技出版社,1998,123-125
2.曹丹庆,蔡祖龙。全身ct诊断学,北京:人民军医出版社,1996,376-377,382
3.孔庆德。临床x线诊断手册,上海:上海科技出版社,1989,76-774
4.上海第一医学院x线诊断学编写组。x线诊断学,上海:上海科技出版社,1983,68-69
5.陈星荣,沈天真,段承祥等。全身ct和mri,上海:上海医科大学出版社,1994,422-423
作者: 听蝉观竹 时间: 2006-2-9 06:33
与wawaquan 版主商榷:“球形肺炎是以形态学命名,而炎性假瘤是以病理学上命名”的观点是基于两点:1、球形肺炎是急性或亚急性期一种特殊类型的影像学表现,表现为类圆形、球形,故称“球形肺炎”,这是x线诊断上用的较多的一个“病名”。也正如您所说“球形肺炎是大叶性肺炎的一种特殊表现”,不管是x 线还是ct ,但它始终只是一种影像上形态学改变,虽然没有文献上的这样的提法,但并不能否认它是一种形态学命名或者说是影像学命名;
2、正如您所说"炎性假瘤是肺内某些慢性炎症或慢性炎症的结局所致的肿瘤样病变,以肺的增殖性改变为主。一般为机化性肺炎局限化的结果。其大体形态为肺实质内的球形肿块”它在病理本质上就是增值性病变,组织学特征为多种细胞成份组成的肉牙肿。它在病理学上是有此诊断的,它不仅仅局限于肺部炎症,还广泛应用于其它部位的慢性炎症。
从wawaquan 版主上述的观点来看,应该说我们的观点主体上是一直的。
作者: caihe 时间: 2006-2-9 07:44
认为听蝉观竹版主讲的很透彻了,wawaquan 版主讲的也比较细,但是不可否认球形肺炎是从形态学上而命名的,虽然教材书上没有明确指出,但是在影像学上已用了这样的名词,从字面上解释,球是园形的,相信大家都认同这一点,其病理实质是肺的渗出实变为主(试想,“肺的渗出”是肺组织被炎性细胞浸润的结果),这一点我认为并不矛盾,再者球形肺炎并不一定完全是大叶性肺炎的一种特殊表现,认为节段性肺炎也可以形成球形肺炎,在工作中常碰到这种情况。“炎性假瘤是肺内某些慢性炎症或慢性炎症的结局所致的肿瘤样病变 ”,炎性假瘤是增殖性病灶,它的病理是肉芽组织,有时组织钙化、纤维化、或被包膜包绕。这是人体免疫能力战胜炎性病变趋向稳定的结果或用抗菌素的结果。这一点我认为也并不矛盾。总之方向是一致的。
作者: duguo 时间: 2006-2-9 20:40
肺部球形病变的鉴别诊断,确是影象学界的难点,多层螺旋ct问世对此问题的解决起到了很大的作用,增强扫描于肺动脉期、支气管动脉期、平衡期大部分病例可做出定性诊断。
作者: sxdongfang 时间: 2006-2-11 07:13
肺炎性假瘤和球形肺炎的诊断问题实际上是肺部球形病灶鉴别诊断的一个部分,在没有有力证据的情况下从影像上或临床上诊断都是有难度的。\"球形\"肺炎就是一个影像上的形态为球形的炎症,肺\"炎性\"假瘤是病理上为炎症改变的一个可以为球形的病变。
从影像角度定位、定量是不会有任何问题的,但一直困扰我们影像人的是它们的定性问题。
我见过一位自称诊断率可达98%的影像大家,当一个小医生拿张片子求解时连个可能、大概、差不多都没有给,可见面临实实在在问题的时候难度是可想的。
这样好的一个题目,讲不好也来讲几句:
球形肺炎:病变密度相对较淡,中央密度略高,ct图片上密度较为均匀,增强中央可出现无强化区。病变邻近胸膜反应较为显著,可表现为增厚、粘连(可以比较广泛),病变内可以见到大血管的贯穿,周围及近肺门侧可以见到血管纹理增多、增粗,可有支气管充气征象,两侧可垂直于胸膜或呈方形,边缘可为刀切征,它可以出现毛刺样的类似改变,短期内抗炎治疗有效。
炎性假瘤:病灶可呈圆形、椭圆形、三角形、亚铃形等,边缘多比较光滑,密度呈中或偏高密度,周围可有不规则条索影,周围一般无周围充血征象。肿块内可有空洞,可有钙化,但多密度均匀。假性淋巴瘤型可见支气管气相,多为单发,少见多发。肿瘤生长慢,可持续十余年,抗炎可有效果,但阴影不易消散。
在病理上,炎性假瘤正常肺组织结构消失,代之以纤维结缔组织的广泛增生,肺上皮增生形成的假腺泡结构。
实际上,这两种病变最容易误诊的应该是肺癌,当然肺癌自然也就成了必需鉴别的难点。
炎性假瘤病理上增生为著,而球形肺炎病理上以渗出为多。
从临床角度看,球形肺炎支持炎症的依据较炎性假瘤强。
作者: lz8320473 时间: 2006-2-12 02:43
标题: 回复:建议;站内肺部球型阴影讨论
补充部分结核病例,图象压缩较大,请参考连接。错误支出请指正
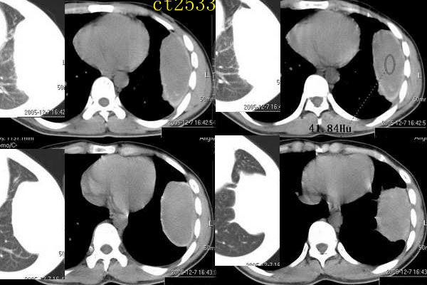
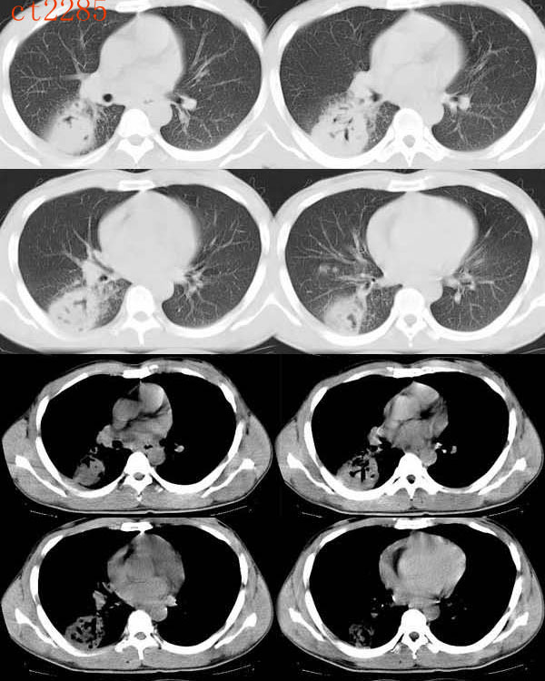
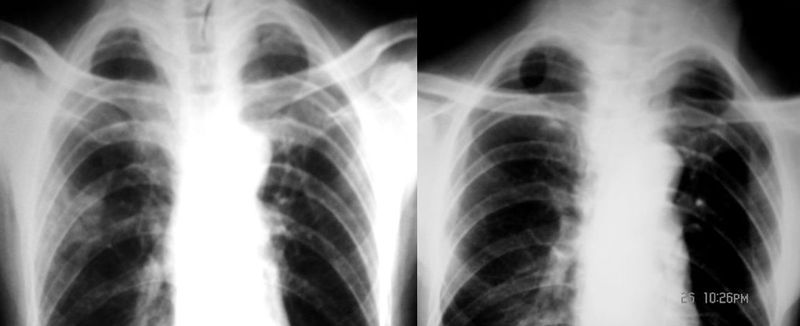
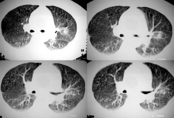
ct2533:张巍 提供 患男,24岁,胸痛数月.
穿刺活检为干酪坏死物.胸壁结核瘤!
http://www.radida.com/radinet/read.php?tid=9446

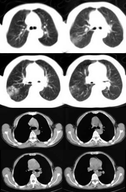
ct1240:song7715
病人24岁,身体偏瘦,半月前曾有高烧,现无阳性体征,血项不高。透视时无意发现。
右肺结节病理结果:结核球http://www.radida.com/radinet/read.php?tid=3611

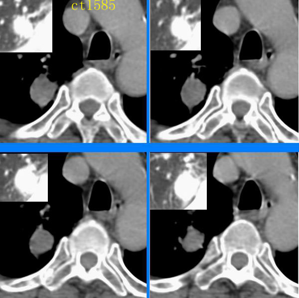
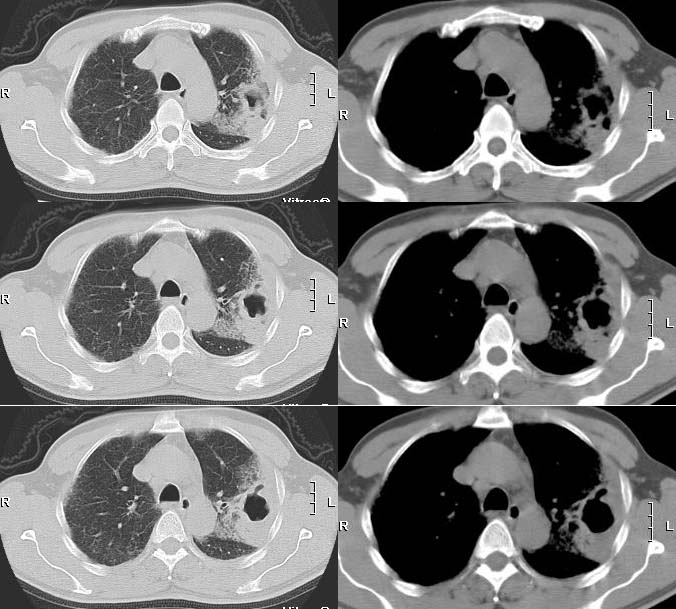
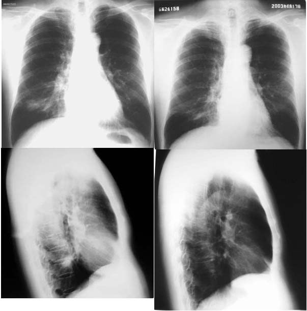
ct1585:liuwensi 提供
m,64y,体检发现右肺上叶后段孤立性结节,纵隔内未见肿大淋巴结影右肺病理是结核球
http://www.radida.com/radinet/read.php?tid=4599

作者: pp 时间: 2006-2-12 19:58
标题: 炎性假瘤
首先,我们了解一下慢性肺炎(chronic pneumonia) 的定义:又称为慢性非特异性肺炎,系指除结核、真菌病、寄生虫病、职业病、结缔组织疾病及并发症以外的肺内慢性炎症性病变。可由急性肺炎演变而来,也可原发即为慢性,无急病发病过程。基本病理变化包括变性、增生和渗出,一般渗出比较轻微。分为弥漫型慢性肺炎和局限性慢性肺炎。
在概念上炎性假瘤与机化性肺炎和慢性肺炎有些不同。
炎性假瘤是肉眼观察呈肿瘤样的增生性炎性症,是慢性炎症的一种特殊大体形态。
机化性肺炎是指炎症区域为增生的纤维结缔组织所代替,即是一种炎症的转归,在大体标本上为不规则的实变区。
慢性肺炎是根据临床病史的长短来划分的,以增生变化为主。
肺炎性假瘤
〔病理表现〕
肺炎性假瘤是成纤维细胞.淋巴细胞.浆细胞.异物巨细胞.组织细胞及泡沫细胞等组成的肉芽肿。
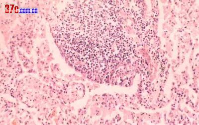
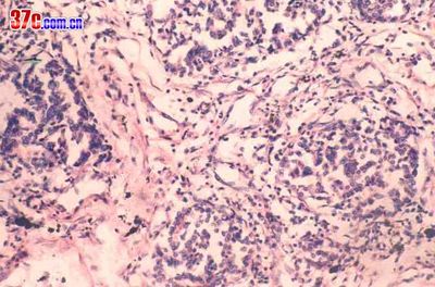
肺炎性假瘤(inflammatory pseudotumor)①:胆固醇肺炎,示肺泡间隔内由淋巴细胞增生聚集而成的小团块,像花蕾样突入肺泡道内,略似淋巴滤泡,但无生发中心。he×200。

肺炎性假瘤(inflammatory pseudotumor)②:示肺泡腔内的泡沫细胞。he×400。

肺炎性假瘤(inflammatory pseudotumor)③:示巨噬细胞、泡沫细胞、淋巴细胞及浆细胞。有些巨噬细胞胞浆含有含铁血黄素颗粒。he×400。

肺炎性假瘤(inflammatory pseudotumor)④:肺浆细胞肉芽肿,肉芽组织内主要为成熟性浆细胞,此外,还可见淋巴细胞及泡沫细胞等。he×200。

肺炎性假瘤(inflammatory pseudotumor)⑤:正常组织结构消失,纤维结缔组织广泛增生,肺泡上皮细胞增生形成假腺腔样结构。

肺炎性假瘤(inflammatory pseudotumor)⑥:肺泡及支气管结构消失,而呈炎性肉芽组织构像。he×100。

大体形态呈肿瘤样,形态不一,可呈圆形、椭圆形或类圆形,也可呈驼峰状或不规则图形。其直径多为1-7cm。
炎性假瘤与肺的境界是否清楚取决于病变周围的病理变化。
①境界清楚者在炎性假瘤周围有假性包膜;

②无假性包膜的炎性假瘤周围可有增殖性炎症和轻微的渗出性炎症,因而病变与肺之间无明显得很界。

根据炎性假瘤的组织成分可将其分为5型:
(1)组织细胞增生型:以组织细胞的增生为主;
(2)乳头状增生型:以肺泡上皮的乳头状增生为主;
(3)硬化血管瘤型:主要成分是血管增生和上皮乳头状增生;
(4)淋巴细胞型:以淋巴细胞为主;
(5)浆细胞型:以浆细胞为主。
(参考吴恩惠主编《中华影像医学》)
现在随着研究深入,目前认为假性淋巴瘤型实际上是非何杰金淋巴瘤中的粘膜相关淋巴瘤;硬化性血管瘤型为2型肺上皮细胞起源的肿瘤,属于一单独疾病。
[本贴已被 pp 于 2006-2-12 23:43:24 修改过]
作者: pp 时间: 2006-2-12 19:59
标题: 炎性假瘤
临床表现
苏祖栋等报道的36例肺炎性假瘤中:男30 例,女6 例。
年龄在20~76 岁,平均48.16 岁。
发现病变时间多在半个月到1个月,短者1 d ,长者2 年多。
多有不同程度咳嗽、咳痰、胸痛、发热等症状。10 例有咳血丝痰,其中4例咯血量达50~100 ml 。6 例无任何症状,系体检发现。临床诊断多为肺部肿块性质待查。依其第一可能诊断,肺癌26 例,肺结核球6 例,肺炎性假瘤4 例。纤支镜检查16 例,其中12 例有叶、段支气管粘膜充血、肿胀,部分有管腔狭窄,4 例完全正常。
①苏祖栋等。肺炎性假瘤36 例临床分析。中国实用内科杂志2002 年6 月第22 卷 第6 期p342
陈 旭等报道的41例肺炎性假瘤中,男37 例,女4 例;
20 岁1例,24 岁1 例,35 岁1 例,40 - 49 岁8 例,50 - 60 岁26 例,60 岁以上4 例。平均年龄45.15 岁。
肺的炎性假瘤病程进展缓慢。自发现至手术时间为2 月- 5 年,平均10.12 个月。
主要症状与体征:7 例无明显症状,体检时因胸部平片或x 线透视发生肿块影而入院;34 例表现为不同程度的呼吸道感染症状。咳嗽31 例,咳痰21例,咯血或痰中带血9 例,胸痛14 例,胸闷气短6例,发热6 例,但发热程度并不严重。
39 例在发现肺部阴影之后接受过三周以上的抗炎抗结核治疗,其中3 例临床症状有明显改善,36 例疗效不明显。
34 例行纤维支气管镜检查,仅6 例发现支气管口经肿块并呈外压性改变,活检病理报告: 慢性炎症。36 例接受肺穿刺活检,34 例有成纤维细胞增生,慢性炎症肉芽肿,2 例有多个小脓肿,均未发现肿瘤细胞。全部病例均行晨痰病理检查(均连续7次) ,也未发现肿瘤细胞。
②陈 旭等。川北医学院学报。第17 卷 第1 期 2002年3月
戚跃勇等报道的48例肺炎性假瘤中,男27 例,女11 例,年龄7~68 岁,平均(33. 5 ±17. 4) 岁,40 岁以下者31 例(64. 6 %) 。
主要症状为咳嗽者28 例, 咳痰18 例,咯暗红色血痰或痰中带血丝15 例,低热9 例, 胸闷、胸痛8 例,消瘦3 例,疲乏2 例, 11 例无症状者为体检发现。
21 例患者有呼吸道感染史及不规则抗生素治疗史。
所有患者均行痰细胞学检查,26 例行纤支镜检查,均未查见癌细胞。43 例行ct 或模拟机下经皮肺穿刺活检,其中行2 次以上穿刺活检者24 例,查见炎性细胞者31 例,病理诊断为ipl 者仅4 例。
③戚跃勇,戴书华,邹利光,孙清荣,易习之.肺炎性假瘤的ct诊断.实用放射学杂志2004 年6 月第20 卷第6 期p503
[本贴已被 pp 于 2006-2-17 17:32:46 修改过]
作者: pp 时间: 2006-2-12 20:00
标题: 炎性假瘤
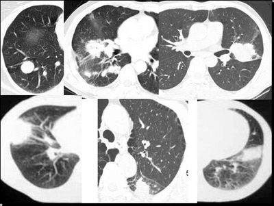
影像表现
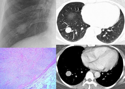
(1)发生部位:炎性假瘤可发生在两肺的任何部位,但多位于肺的表浅部位,邻近胸膜处或者靠近叶间裂。可以跨叶生长,原因可能是跨叶浸润的炎症使得假瘤跨叶融合的结果。
(2)假瘤形态:炎性假瘤的形态不一,可呈圆形.椭圆形或类圆形,也可呈驼峰状或不规则图形。
(3)假瘤大小:多数假瘤的直径在2-4cm,也可大于5cm,少数甚至大于10cm.

(4)假瘤密度:炎性假瘤一般为中等密度,密度均匀。而脓性炎症形成的假瘤则有时可见小空洞。空洞可以单发也可多发。少数瘤体切开时可见脓性物。

(5)假瘤边缘:
①有假无假性包膜者边缘清楚。有的由于肿块不规则可表现分叶状。

② 无假性包膜者,假瘤周围有纤维化和多种细胞成分侵润,表现为片状、边缘模糊的团块状影。或有轻度的渗出性病变,边缘模糊,以组织细胞围增生型多见。有的假瘤周围还可以出现类似周围型肺癌的放射冠状表现。

(6)邻近改变:位于肺周边部的假瘤,其邻近胸膜可见局限性粘连增厚。位于近肺门区的假瘤,偶可阻塞支气管,形成肺叶不张而将假瘤包裹,甚似中央性肺癌,但不出现肺门或纵膈淋巴结肿大。
(7)王学成等指出肺炎性假瘤胸腔无胸水出现,有利于与肺癌、肺结核鉴别。
(①肺炎性假瘤的ct 分析 医学影像学杂志2004 年第14 卷第7 期 王学成
②肺炎性假瘤的ct 诊断王索宇,方常练 实用放射学杂志2002 年5 月第18 卷第5 期)
(8)动态观察:假瘤可在数年之内无明显增大,当并发急性炎症时,可以使“瘤”体增大,少数炎症可以发生癌变。
(9)增强检查大多数肿块可见较显著的均匀强化,少数仅见肿块周围部强化甚或肿块不强化,这与肿块的组织结构成分,特别是血管成分有关。少数病人可见同侧肺门及纵隔淋巴结肿大,其直径常小于1.5cm.
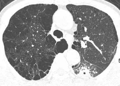
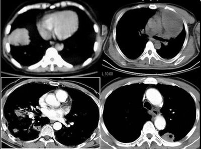
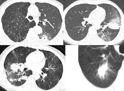
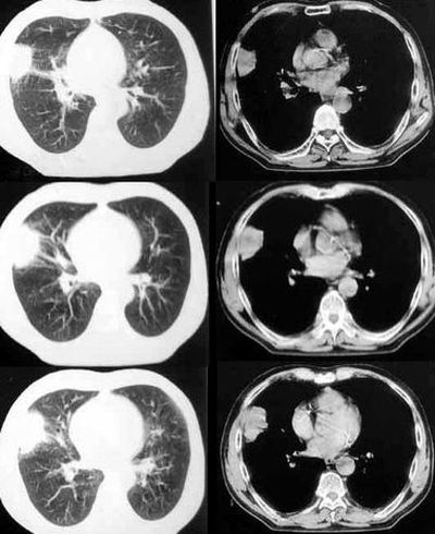
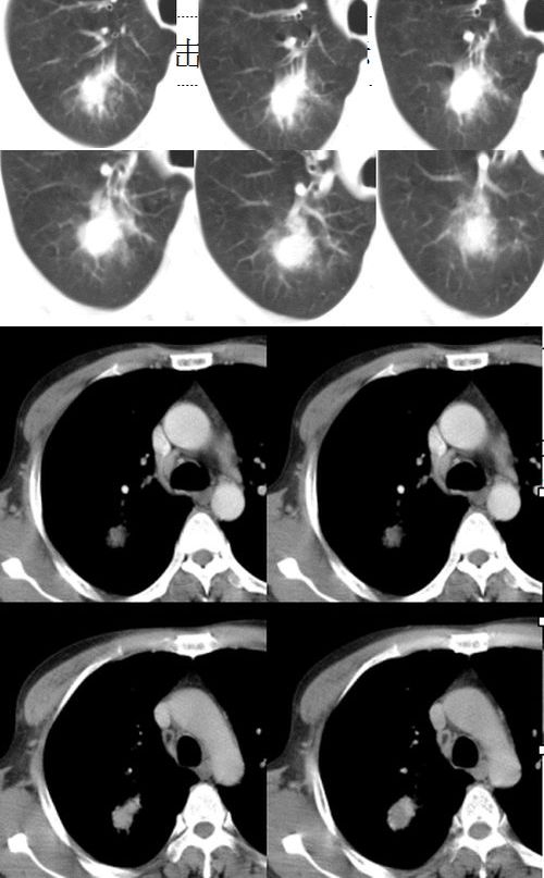
肺炎性假瘤相关病例
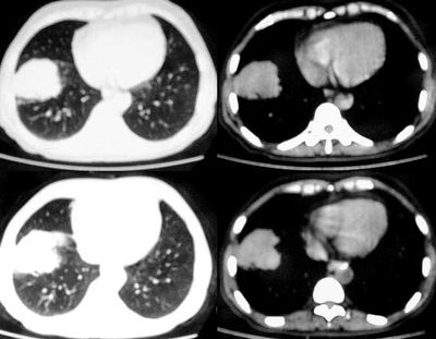
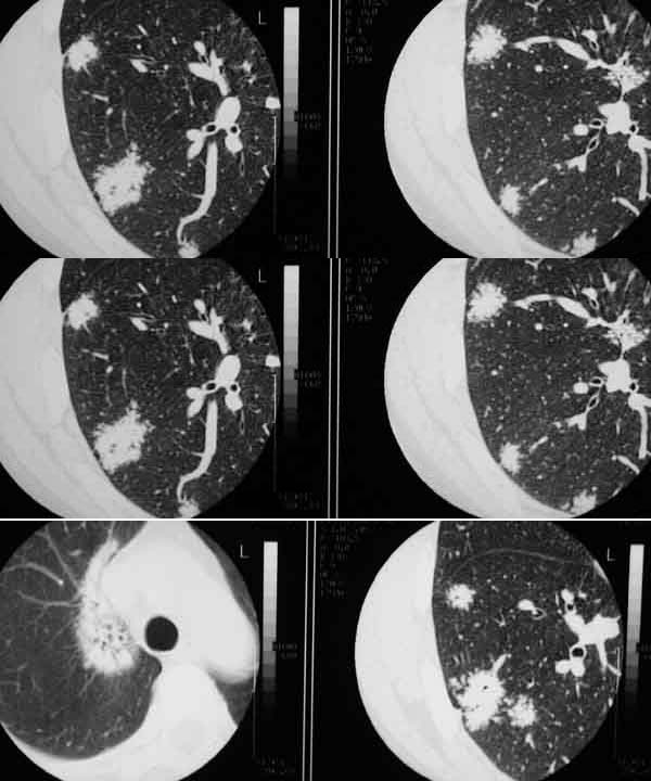
①cl0046:两例肺炎性假瘤 由向版主提供
http://www.radida.com/radinet/read.php?tid=1136
病例一,男,58岁,胸痛半月余

病例二,男,63岁,咳嗽、低热月余。

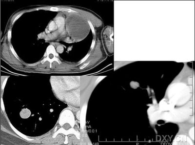
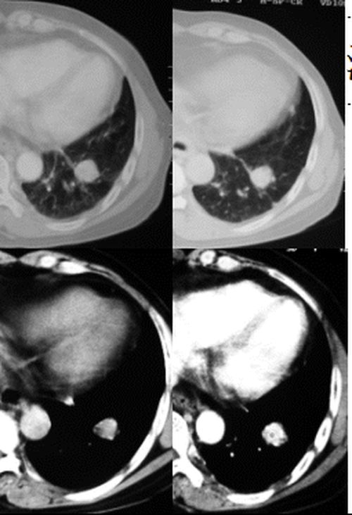
②ct249:由gaozhengyi版主提供
http://www.radida.com/radinet/read.php?tid=654&page=1
患者女,65岁,主因低热、咳嗽、痰中带血丝一周多来院。
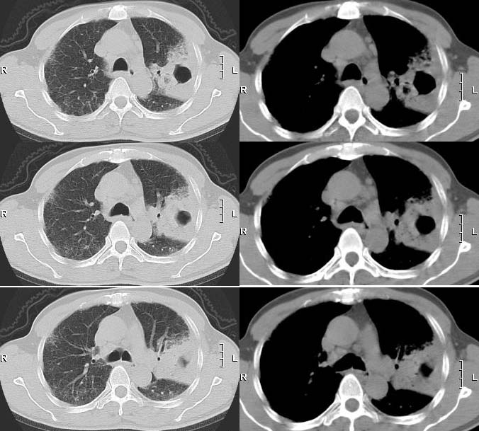
继续抗炎治疗后复查病变进一步缩小。可惜未留下图片。但抗炎前后的片子对比已能证实为炎性病变。

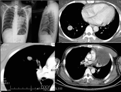
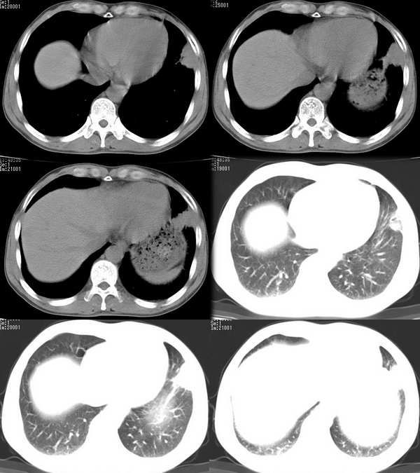
③35岁女性,因颈部包块术前检查发现右下肺圆形结节。

④男性,65岁,咳嗽、咳痰3月。

⑤男性,45岁,咳痰,痰中带血。
⑥男性,45岁。一个月前开始咳嗽。

⑦女性36y,胸痛2周住院。 手术后病理为:炎性假瘤。

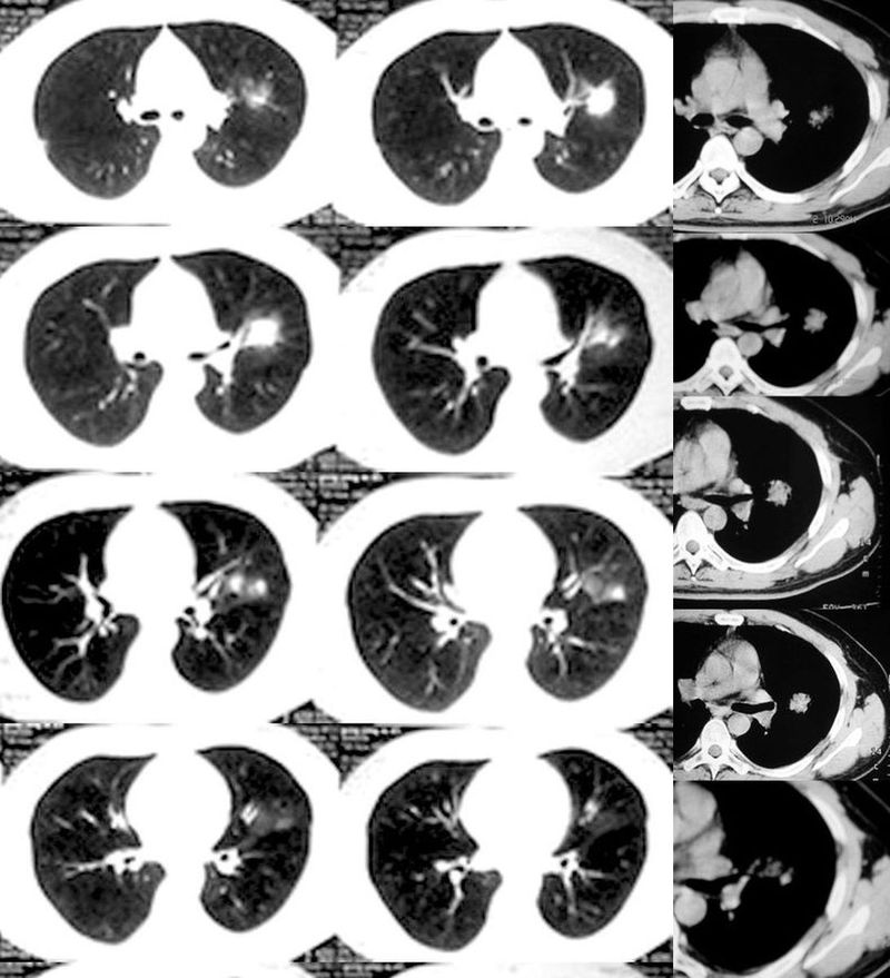
⑧患者,男,48岁,于2001年因“反复声嘶9个月”在外院确诊为喉鳞状上皮癌,行手术切除。10天前患者无明显诱因出现左侧背部疼痛,进行性加重,患者无咳嗽、咳痰、发热。
实验室检查:ce125:128uml ly:0. 6x109/l wbc:10.1x109/l ne:8.3x109/l
左上肺炎性假瘤:
细支气管上皮增生、纤维母细胞增生及纤维化,间质有炎细胞浸润及淋巴滤泡形成,边缘有坏死组织。

⑨男,52岁,痰中带血两天。无明显发热,化验室检查正常。

⑩女,58岁。无不适,体检发现胸部肿物,行ct检查。

(11)女30岁,查体发现右肺上叶肿块
[img]upload/forum/20
作者: pp 时间: 2006-2-12 20:03
标题: 炎性假瘤
部分学者关于 《肺炎性假瘤的影像学表现与鉴别诊断》 文章部分摘要
①肺炎性假瘤的影像学表现与鉴别诊断
江苏医药2004 年1 月第30 卷第1 期 奚日泉 谢道海 郭亮
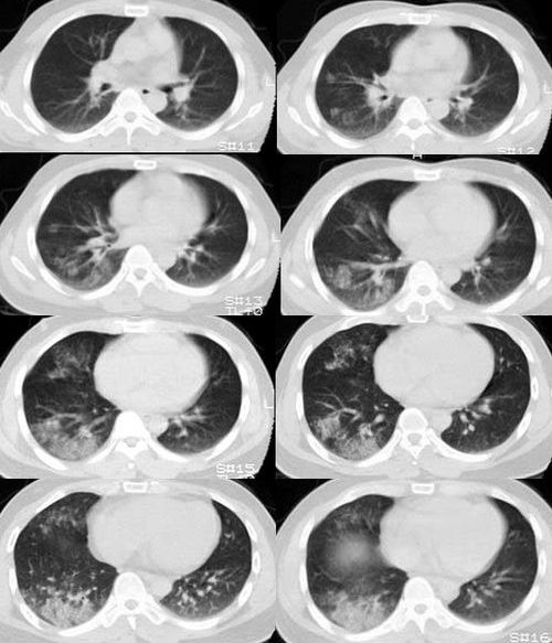
病程处于慢性阶段时,瘤周可有假性包膜。处于急性炎症阶段时,一般没有假包膜或包膜不完整。3例跨叶生长的原因可能是跨叶浸润的炎症使得假瘤跨叶融合的结果。若病程处于炎症阶段时,瘤周多无包膜或包膜不完整,x线表现为片状、边缘模糊的团块状影。病程处于慢性阶段时,假瘤可形成假性包膜,空洞可以单发也可多发。少数瘤体切开时可见脓性物。
②肺炎性假瘤的ct 分析
医学影像学杂志2004 年第14 卷第7 期 王学成
对28 例结合相关文献分析,肺炎性假瘤在ct上具有一定的特征性,对诊断有一定的帮助:
①病灶边缘呈尖角状突出;
②病灶可有垂直于胸膜的刀切样边缘;
③胸膜局部增厚粘连,无胸水及胸膜钙化,病灶与胸壁间有浅淡条状低密度影;
④孤立圆形类圆形影多邻近胸膜;密度较均匀,边缘光滑,可有粗长的毛刺或呈锯齿状;
⑤肺门及纵隔内无肿大的淋巴结。
结合临床有发热2 周以上,并有呼吸道症状,痰中带血少见,可首先考虑肺炎性假瘤的诊断。
鉴别诊断:
①周围型肺癌:边缘可有较深分叶,细短毛刺、血管集束征,邻近胸膜凹陷征,胸水、肺门、纵隔淋巴结肿大,痰细胞学检查发现癌细胞。
②结核球:密度较高可见斑点钙化或边缘性腔洞,周围有卫星灶,胸膜钙化,增强扫描不强化或边缘强化。
③球型肺炎:中央密度高边缘较淡,呈晕样改变;广泛胸膜增厚;病灶呈方形,周围可见斑状、薄片影,周围血管纹理多、增粗,无僵直和牵拉;临床上有起病急变化快,抗炎治疗效果明显,病程短等特征。
③肺炎性假瘤影像学征象分析
杨学东1 ,张在建2 ,朱景润
临沂医学专科学校学报2004 ,26 (4) :2952296
3. 3. 1 发病部位 肺炎性假瘤可发生在肺的任何部位,以中下叶为多,大多位于靠近胸膜的表浅部位,病灶基底较广泛贴近周围胸膜和叶间胸膜,伴有局部胸膜增厚,个别病例病变可跨肺叶生长,但无胸腔积液和肋骨的破坏。本组病例中有2 例显示病变基底贴近胸膜,伴有局部胸膜增厚情况,1 例病变跨叶生长。
3. 3. 2 桃尖征 桃尖征系肺的炎症在吸收与局限过程中邻近肺组织或胸膜与炎性假瘤的假包膜粘连牵拉所致,此种征象在体层摄影上易于显示。
3. 3. 3 圆形或类圆形结节 此种征象是肺炎性假瘤形成过程中部分炎症尚未吸收或已机化,而部分已形成假瘤的表现。
3. 3. 4 单个或多个小空洞甚至呈蜂样改变 是由于假瘤在形成过程中病变组织坏死所致,大的空洞在平片上就能显示,但较小的空洞只有在ct 扫描时才被发现。
3. 3. 5 分叶和毛刺 肺炎性假瘤的分叶多为浅小分叶,多数病变显示轮廓光滑锐利,靠近胸膜侧常伴有粗长毛刺与胸膜相连,局部胸膜可有不同程度的肥厚粘连,或由于假瘤周围多
次炎症而致边缘毛糙。
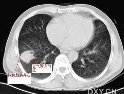
3. 3. 6 充气支气管征 在肺的炎性假瘤内可见充气支气管征[ 1 ] ,多为肺部炎性病变的一个重要特征,ct 扫描病变较易显示,必要时薄层扫描。
3. 3. 7 炎性假瘤内钙化 病变内钙化多是良性病变的特征,钙化灶较大时平片可以显示,但在病变内的不规则钙化或较小的沙粒样钙化通过ct 扫描显示较好,对本病的诊断有参考价值。
3. 3. 8 病变周围强化 炎性假瘤常表现为病变周围强化,不均匀强化,个别病例可无强化,这与肺部炎性病变的强化相似。由于病变中心血供较差,ct 增强扫描强化亦较肺癌的强
化程度差。ct 增强扫描对诊断本病有帮助。
④肺炎性假瘤的ct 诊断
王索宇,方常练
实用放射学杂志2002 年5 月第18 卷第5 期
本组炎性假瘤病例有20 例贴近于胸膜,其中17 例有胸膜局限性肥厚粘连,但无1 例有明确胸水,这一点与肺癌及结核瘤相反,也是具有实际诊断意义的。
⑤多发性肺炎性假瘤误诊为肺泡细胞癌
胡汛,张志豪,杜开齐
临床误诊误治2004 年2 月第17 卷第2 期
ct 及x线胸片检查示:两肺野可见多发散在结节状密度增高影,直径015~110 cm大小,边界模糊,密度不均,ct 值21.04~33.85 hu。支气管镜检查未见异常,结核菌素试验及痰找结核杆菌3 次均为阴性。。入我院后行胸腔镜下左肺活检术,术中见左肺内多个结节病灶,质地硬,胸膜表面光滑,切取一结节送病理检查。病理检查镜下见病灶区肺泡上皮明显增生,呈腺样结构及乳头状,纤维组织增生形成纤维小结节,呈机化性肺炎改变。病理诊断:肺炎性假瘤伴肉质变,肺泡上皮乳头状增生型。确诊后予地塞米松治疗,复查x线胸片示两肺病灶明显吸收好转
作者: lz8320473 时间: 2006-2-13 05:10
标题: 回复:建议;站内肺部球型阴影讨论
由于图片压缩较大,请参考连接,错误之处请大家指正
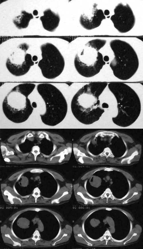
感想:收集了一些本站以孤立结节为主的炎症,结核,肺癌的资料。说实话,即使现在把这些不典型结节混合到一块,不敢保证诊断全部正确,能够以后少犯错就感到达到目的了。其中有那些共性和特异性,有什么需要注意和借鉴的地方,想请大家点评,总结。
肺癌--腺癌
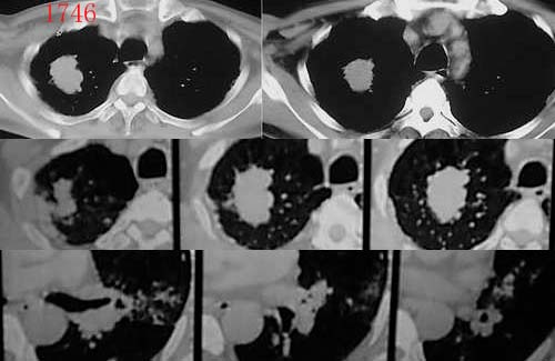
ct1746 pingfanjun提供 结果右上肺腺癌
76岁;咳嗽、咯血、气短、呼吸困难一年余
http://www.radida.com/radinet/read.php?tid=5255
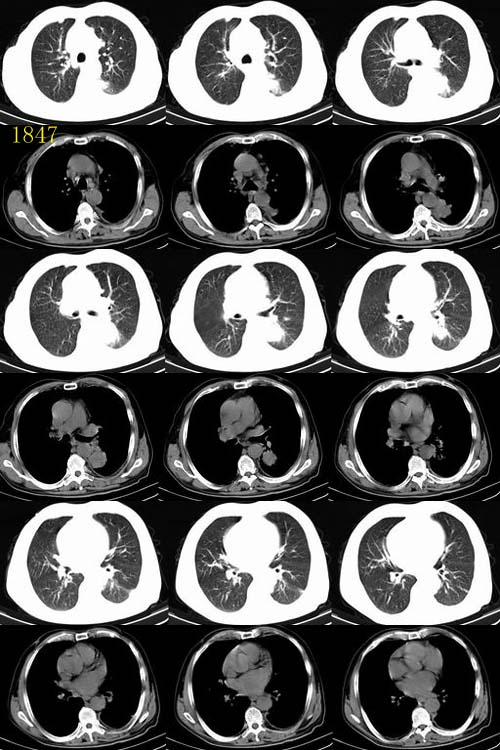
ct1847 九目段提供
m/71y,咳嗽咳痰,痰中带血,低热。
http://www.radida.com/radinet/read.php?tid=7356

ct1962:mzjctmr提供 肺穿病理结果为腺癌
女性,43岁,刺激性干咳4个月,血象血沉正常,无发热
http://www.radida.com/radinet/read.php?tid=7602

ct2060 liuzhiguang 提供 病理中分化型腺癌
http://www.radida.com/radinet/read.php?tid=8557

ct2240 mzjctmr提供 病理结果为高分化腺癌并支气管淋巴转移
女性,60岁,夜间发热一周余就诊。体温38度,血沉35mm/h
http://www.radida.com/radinet/read.php?tid=8574

ct1154 听蝉观竹提供 结果-------肺小细胞癌
http://www.radida.com/radinet/read.php?tid=3361

ct1649:guzhongliangddd提供 胸部腺癌
http://www.radida.com/radinet/read.php?tid=4865

ct2209:guzhongliangddd提供 病理结果腺癌
男,42。体检偶然发现。纵隔肺门无增大淋巴结
http://www.radida.com/radinet/read.php?tid=8397

ct2182 丁海岸提供 穿刺,结果为肺鳞腺癌http://www.radida.com/radinet/read.php?tid=8348

ct2607 jiajie提供 手术肺叶切除,病灶大小约6x5cm,边缘有小溃口。
病例结果:未分化癌(巨细胞癌?),肺门两枚淋巴结查到癌细胞。
男性,37岁,咳嗽、胸闷,无咳血,无明显发热病史。体形消瘦。
http://www.radida.com/radinet/read.php?tid=9732

[本贴已被 pp 于 2006-2-14 19:57:43 修改过]
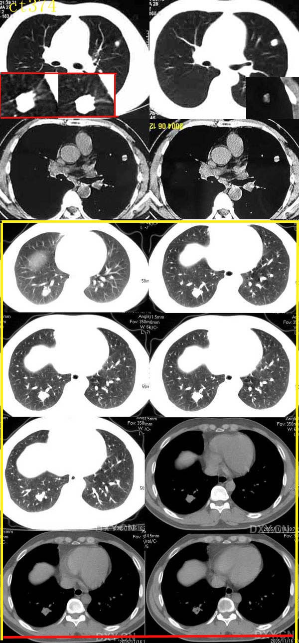
作者: lz8320473 时间: 2006-2-14 15:06
标题: 回复:建议;站内肺部球型阴影讨论
错构瘤
ct2320 cefcmj 提供 病理结果是错构瘤
m 30岁,查体发现病变,无症状
http://www.radida.com/radinet/read.php?tid=8841
ct0374向医生提供:肺错构瘤。
男,47岁,无明显症状,体检时胸片发现左肺小结节影.
http://www.radida.com/radinet/read.php?tid=1069

作者: hong630104 时间: 2006-2-21 15:21
标题: 回复:建议;站内肺部球型阴影讨论
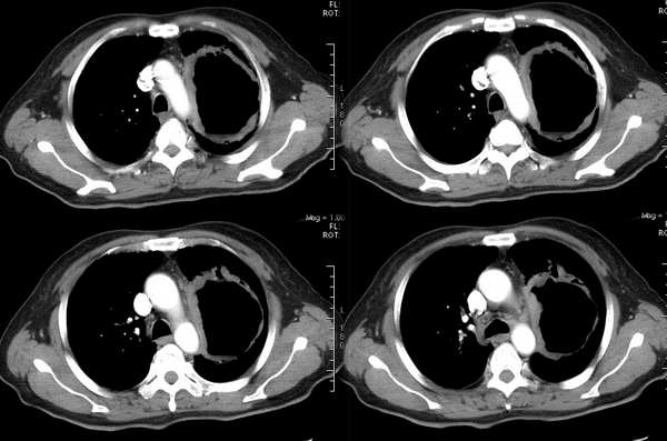
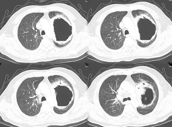
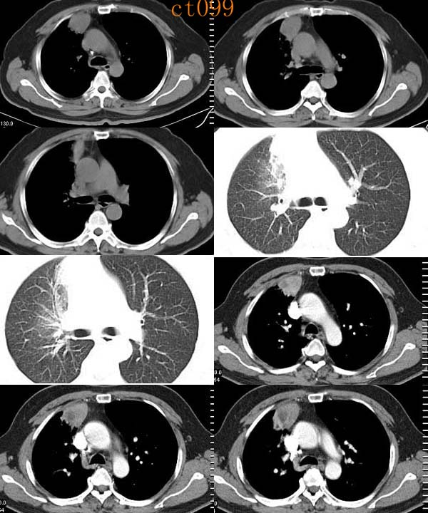
再来个空洞性肺癌,男,58岁,有咳嗽,咳痰,咯血,我看到片子时已经是治疗后复查了,第一次片子,空洞里充满了积液。







[本贴已被 jiajie 于 2006-3-8 19:19:06 修改过]
作者: 听蝉观竹 时间: 2008-9-10 01:33
球形肺炎、肺部炎性假瘤和机化性肺炎的区别
http://www.radida.com/radinet/read.php?tid=38027
作者: yuhongjun 时间: 2008-11-14 18:03
图那
作者: qc80012345 时间: 2008-12-13 01:26
球形病灶比较常见,同时看是简单的事情,实际工作中困难很大。因此,影像学检查;不能单一的就影论影,必须密切结合临床体征,这就要求临床医生与我们密切联手,这是必须的。
作者: 阿宽 时间: 2008-12-31 03:35
非常支持这种讨论方式!
作者: yangzongshan 时间: 2010-4-16 05:20
非常支持这种讨论方式!
作者: dangjiancai 时间: 2015-2-5 14:12
非常支持这种讨论方式!
| 欢迎光临 医影在线 (http://bbs.radida.com/bbs/) |
Powered by Discuz! X3.2 |