医影在线
标题: CT2718:[转帖]如此经典病历!(无病理!可惜!!!) [打印本页]
作者: yangyang841012 时间: 2006-2-9 19:00
标题: CT2718:[转帖]如此经典病历!(无病理!可惜!!!)
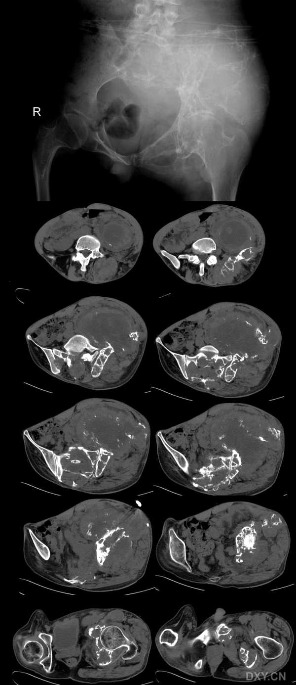
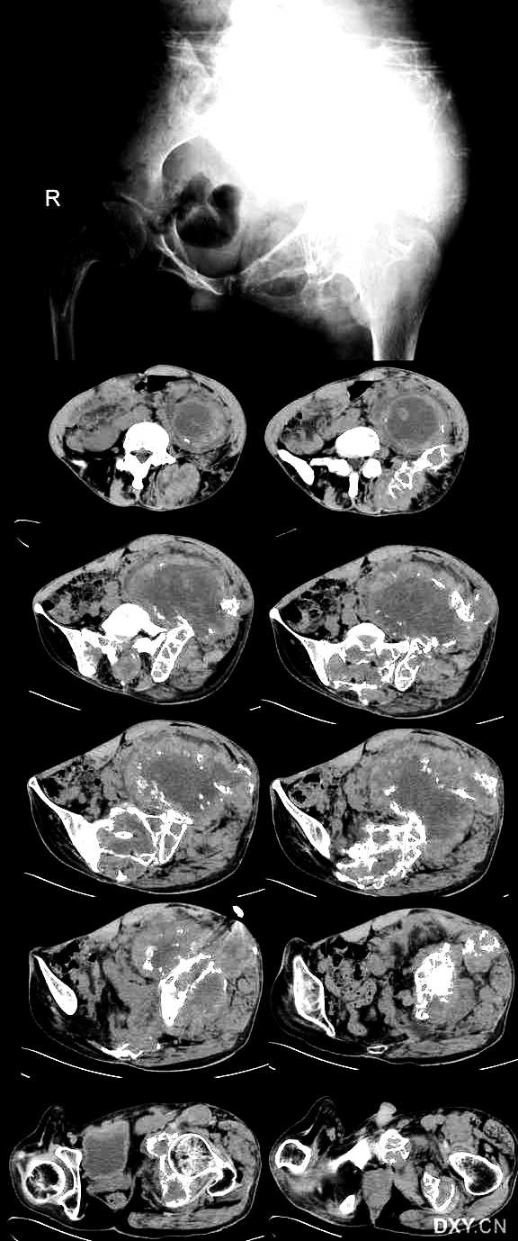
病史:男性,45岁,左髋部疼痛一年余
大家多多观察!多多发表意见!抛块砖!呵呵!

[本贴已被 jiajie 于 2006-2-9 11:11:30 修改过]

[本贴已被 jiajie 于 2006-2-9 13:39:15 修改过]
作者: 东北 时间: 2006-2-9 20:35
1软骨肉瘤
2转移瘤
作者: 8314337 时间: 2006-2-9 21:05
左侧髂骨见溶骨性股指破坏,边缘模糊,钙化点增多,肿瘤膨胀生长、肿瘤侵入周围软组织中,形成巨大软组织肿块,其内可见散在钙化点。骶骨、左侧髋臼破坏。
意见:软骨肉瘤。
作者: 同 时间: 2006-2-9 21:26
左髂骨溶骨性破坏,边界模糊,肿瘤呈膨胀性生长,可见散在钙化影,并侵犯周围软组织。考虑软骨肉瘤可能性大。
作者: jiajie 时间: 2006-2-9 21:59
左侧髂骨及骶骨溶骨性破坏,局部形成软组织肿块,以坏死为主夹杂斑点状钙化,残存骨质显示硬化,周围髋部软组织明显肿胀,考虑骶、髂骨结核。
作者: cefcmj 时间: 2006-2-9 22:54
临床资料:男性,45岁,左髋部疼痛一年余。
影像表现:左侧髂骨、左侧髋臼及骶骨见溶骨性骨质破坏,其中左髂骨肿瘤呈膨胀性生长,瘤周巨大软组织形成,其内可见散在破坏骨质碎片或钙化点,中间可见液化坏死。
影像诊断:左侧髂骨、左侧髋臼及骶骨恶性骨肿瘤,软骨肉瘤可能性大。
作者: huangaiying1 时间: 2006-2-10 00:12
左髂骨,左髋臼,骶骨均可见囊状骨质破坏区,以髂骨为重,周围见明显软组织肿胀,其内见多发小的碎骨片,增强后软组织呈边缘强化,结合病史,考虑转移瘤可能
作者: frzh 时间: 2006-2-10 00:53
左侧髂骨、左侧髋臼及骶骨恶性骨肿瘤,软骨肉瘤可能性大。
作者: 心声 时间: 2006-2-10 01:02
考虑骨肉瘤病可能大。
作者: ys139 时间: 2006-2-10 01:24
支持恶性骨肿瘤,考虑左髂骨处为原发瘤其它处为转移瘤;软骨肉瘤可能性大。
作者: 光线 时间: 2006-2-10 03:18
同意楼上
作者: 一棵树 时间: 2006-2-10 03:49
左侧髂骨溶骨性破坏,恶性骨肿瘤。
作者: 影象王 时间: 2006-2-10 04:40
支持软骨肉瘤诊断!
作者: wxy7406 时间: 2006-2-10 04:58
双侧髂骨及骶骨均见溶骨形骨破坏伴软组织肿块,软组织中块内见不规则小的钙化影并可见大范围水样低密度灶。骨质破坏为跳跃性及膨胀性,骨破坏区内及软组织中块内均未见明显环形骨化影(钙化影),软组织肿块对其周围组织推移并可见水肿影。临床提示病程1年。软骨肉瘤不是,因为未见瘤骨及环形软骨钙化影。我考虑骨结核可能性大。
作者: wawaquan 时间: 2006-2-10 04:59
骶骨、左侧髋骨见不规则膨胀性溶骨性破坏;肿瘤侵入周围软组织中,累及盆壁肌及左侧脊竖肌,形成巨大软组织肿块;中央呈低密度,周围呈软组织密度,内见多发小的残存碎骨片;增强后软组织呈轻度强化,中央低密度无强化。
病史:男性,45岁,左髋部疼痛一年余。
考虑:大块骨质溶解症可能大。骨血管瘤不除外。
作者: qinwei260 时间: 2006-2-10 05:12
支持恶性骨肿瘤,软骨肉瘤可能性大。
作者: 向武昌 时间: 2006-2-10 05:57
1.韧带样纤维瘤;2.血管瘤(鬼怪骨)3.脊索瘤4mfh.
作者: cefcmj 时间: 2006-2-10 07:21
骨质溶解症(鬼怪骨)?
我认为不像。
作者: 听蝉观竹 时间: 2006-2-10 09:47
影像特点:
1、骨盆多处扁平骨溶骨性破坏并累及左侧股骨上段,无肿瘤骨及钙化;
2、形成巨大软组织肿块;
3、骨破坏区有不规则骨性分隔。
4、临床:男性,45岁,表现左髂部疼痛、肿块一年。
考虑:网状细胞肉瘤。
鉴别:尤文氏瘤:虽然骨质破坏有相似之处,但一般年纪青,10-25岁多见,发病快,临床伴有全身症状,多有发热,骨破坏还伴有葱皮样骨膜反应。
骨髓瘤:也有相似的地方,但没有很少出现膨胀性改变,很少出现软组织肿块。临床伴有全身症状。
作者: yemin92007 时间: 2006-2-10 18:21
多发骨质破坏伴软组织肿胀(脓肿?),考虑结核可能性大,需要鉴别软骨肉瘤。
作者: ssl1_1 时间: 2006-2-11 00:12
标题: 回复:ct2718:[转帖]如此经典病历!(无病理!可惜!!!)
以下是引用wxy7406在2006-2-9 20:58:00的发言:[br]双侧髂骨及骶骨均见溶骨形骨破坏伴软组织肿块,软组织中块内见不规则小的钙化影并可见大范围水样低密度灶。骨质破坏为跳跃性及膨胀性,骨破坏区内及软组织中块内均未见明显环形骨化影(钙化影),软组织肿块对其周围组织推移并可见水肿影。临床提示病程1年。软骨肉瘤不是,因为未见瘤骨及环形软骨钙化影。我考虑骨结核可能性大。
作者: yang4132 时间: 2006-2-11 00:29
髂骨骶骨容骨性破坏伴硬化,周围软组织以坏死为主伴斑点壮钙化,支持结核。
作者: 西北狼 时间: 2006-2-11 01:01
首先定为恶性病变,考虑为肉瘤并转移.
作者: 勤志恒 时间: 2006-3-7 09:51
右髂骨及骶骨溶骨性破坏,但骨质有明显膨胀,恶性巨细胞瘤不能排出
作者: 影像同路人 时间: 2006-3-7 18:29
我认为是典型的软骨肉瘤。
作者: zhjzhong1968 时间: 2006-3-7 18:34
左侧髂骨、左侧髋臼及骶骨见溶骨性骨质破坏,其中左髂骨肿瘤呈膨胀性生长,瘤周巨大软组织形成,其内可见散在破坏骨质碎片或钙化点,中间可见液化坏死。
诊断:左侧髂骨、左侧髋臼及骶骨恶性骨肿瘤,软骨肉瘤可能性大。
作者: 私语 时间: 2007-9-24 04:38
标题: 回复:ct2718:[转帖]如此经典病历!(无病理!可惜!!!)
我爸爸现在就是得了这种病,左髂骨软骨肉瘤,救救啊,该怎么办?换了骨盆,现在还是走不了,天天躺在床上5555555555
作者: shibing 时间: 2015-6-1 11:17
软骨肉瘤。
| 欢迎光临 医影在线 (http://bbs.radida.com/bbs/) |
Powered by Discuz! X3.2 |