医影在线
标题: CT2729:[原创]胸部CT [打印本页]
作者: zxd95 时间: 2006-2-11 06:48
标题: CT2729:[原创]胸部CT
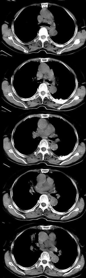
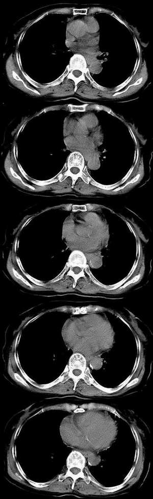
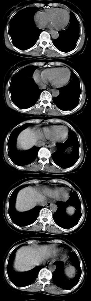
f73.反复胸痛、咳嗽5个月,加重1周入院。双肺呼吸音粗,闻及干湿性罗音。
慢支、肺部感染。






[本贴已被 jiajie 于 2006-2-11 7:52:01 修改过]
作者: guzhongliangddd 时间: 2006-2-11 06:51
从病灶的分布应该考虑是炎症。
作者: xiaoniu 时间: 2006-2-11 07:11
标题: [讨论]
慢支合并感染,肺间质纤维化,肺气肿。右肺斑片阴影还是考虑慢性感染性病变---结核不除外,因为支气管分叉下淋巴结增大。
[本贴已被 xiaoniu 于 2006-2-10 23:50:36 修改过]
作者: cefcmj 时间: 2006-2-11 09:00
慢支合并两肺感染。
作者: lushijun 时间: 2006-2-11 13:12
支持间质性肺炎
作者: 东北 时间: 2006-2-11 16:34
炎症
作者: li801028 时间: 2006-2-11 18:25
明显肺炎
作者: kbzyycm 时间: 2006-2-11 20:45
炎症
作者: zhuming943066 时间: 2006-2-11 21:03
考虑炎症
作者: wawaquan 时间: 2006-2-11 21:08
l老年肺;两肺感染。
作者: 王小鸭 时间: 2006-2-11 21:29
慢支合并感染,肺纤维化。
作者: xueshaojun 时间: 2006-2-12 01:17
肺炎
作者: gaoxiao 时间: 2006-2-12 01:24
右肺中叶炎症,肺气肿。抗炎后复查。
作者: juwen73 时间: 2006-2-12 01:48
肺炎
作者: 山野樵夫 时间: 2006-2-12 01:54
支持炎症
作者: huangaiying1 时间: 2006-2-12 02:20
慢支,肺气肿,肺部感染
作者: 一棵树 时间: 2006-2-12 02:36
双肺间质性肺炎
作者: haojingjun 时间: 2006-2-12 03:54
炎症
作者: 乡医 时间: 2006-2-12 04:03
支持炎症,炎症纵隔淋巴结也可增大。建议短期抗炎后复查较为妥当。
作者: 国王 时间: 2006-2-12 04:20
考虑炎症
作者: yunhong 时间: 2006-2-12 04:43
慢支伴两肺炎症。
作者: xujiaan 时间: 2006-2-12 04:48
图片上显示似乎右上支气管有阻塞,应倾向于肺癌。
作者: ygdygd123a 时间: 2006-2-12 06:29
支持炎症
作者: chenjunbo 时间: 2006-2-12 06:51
间质性肺炎
作者: 不解 时间: 2006-2-12 16:12
1:慢支。
2:右肺中叶肺癌伴左侧肋骨转移可能性大。
作者: jiangjing 时间: 2006-2-12 20:55
慢支炎,肺部感染,非局限性间质纤维改变,舌段可疑支气管扩张。中叶病变肿瘤待排。
作者: shibing 时间: 2015-6-1 11:14
两肺感染。
| 欢迎光临 医影在线 (http://bbs.radida.com/bbs/) |
Powered by Discuz! X3.2 |