医影在线
标题: MRI0302::我也发个病例,请共同欣赏(有病理结果) [打印本页]
作者: wysh 时间: 2006-2-15 03:49
标题: MRI0302::我也发个病例,请共同欣赏(有病理结果)




















[本贴已被 jiajie 于 2006-2-15 8:26:13 修改过]
作者: xiaoniu 时间: 2006-2-15 04:18
标题: [讨论]
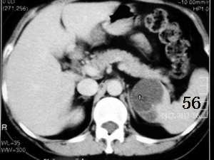
肾上腺脂肪瘤。错了!!!
应该是肾上腺腺瘤。
[本贴已被 xiaoniu 于 2006-2-14 20:27:31 修改过]
作者: wysh 时间: 2006-2-15 04:21
肾上腺脂肪瘤不像?
作者: xiaoniu 时间: 2006-2-15 04:47
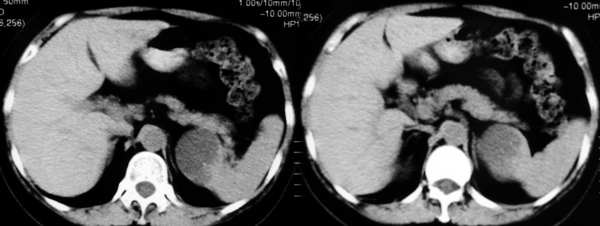
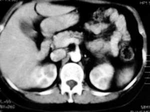
经过认真观察图片,发现刚才搞错了,病变应该位于脾脏,而且未见强化,边缘清晰,如果没有猜错的话应该是:脾脏囊肿。
作者: wysh 时间: 2006-2-15 04:58
也不对,呵呵
作者: sdqzwyx 时间: 2006-2-15 06:39
病例很好,图片也很全,遗憾的是缺少临床情况,病人年龄、症状、体征为何?期待楼主发布。
作者: chinaboy_006 时间: 2006-2-15 07:10
是不是附脾囊肿?
作者: 西北狼 时间: 2006-2-15 08:07
脾脏囊性肿瘤可能,但肾上腺肿瘤也不能除外.不知道临床情况如何?
作者: 576034755 时间: 2006-2-16 03:36
脾脏囊肿
作者: lygxpygl 时间: 2006-2-16 05:30
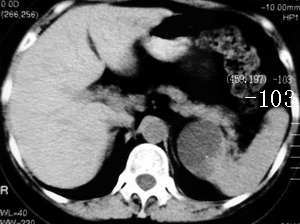
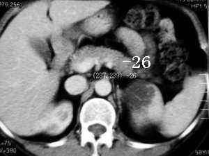
应该为脾脏来源的,囊性肿瘤,从前后ct片显示,有轻度强化改变(ct值),但好像有快速消退的感觉???
作者: lhl169 时间: 2006-2-16 08:09
脾脏来源的,囊性
作者: 3288161 时间: 2006-2-16 09:57
脾脏血管内皮瘤。
作者: sn4187189 时间: 2006-2-16 16:42
请提供临床病史,有无外伤史.
作者: huangaiying1 时间: 2006-2-16 18:17
mr示脾内缘类圆形长t1长t2信号影,边界清楚
ct示脾内缘囊性低密度影,强化后其边缘实质部分与脾同步,且强化程度一样,
考虑脾囊肿
作者: wawaquan 时间: 2006-2-17 06:19
脾脏来源的,低密度,边界清,有分隔,有强化。
考虑:脾脏血管内皮瘤。
作者: jiangjing 时间: 2006-2-17 15:31
支持脾脏来源的肿瘤[以血管内皮细胞瘤可能性大]
作者: 龙在野 时间: 2006-2-18 00:26
脾曩实性占位
作者: wenyuankai 时间: 2006-2-18 01:34
我看它像副脾囊肿
作者: zhouhansong 时间: 2006-2-18 03:11
来源脾,肿瘤或囊肿
作者: 激情MRI 时间: 2006-2-18 03:42
考虑肾上腺嗜铬细胞瘤囊变可能性大,病灶呈囊实性,边界清楚,结节强化。
作者: 张耀森 时间: 2006-2-22 04:30
脾囊肿
作者: 沈谦 时间: 2006-2-22 05:57
标题: 回复:mri0302::我也发个病例,请共同欣赏(有病理结果)
以下是引用jiangjing在2006-2-17 7:31:00的发言:[br]支持脾脏来源的肿瘤[以血管内皮细胞瘤可能性大]
作者: liufeng 时间: 2006-2-24 02:25
脾脏囊性转移瘤。脾脏囊肿。
作者: 山佳 时间: 2006-2-25 03:38
象脾脏囊肿 但是缺少一点临床资料
作者: ludeqi2006 时间: 2006-6-7 07:19
脾脏血管瘤(静脉型)只怕不能排除。
作者: gaoqiang1971092 时间: 2006-6-9 16:27
脾脏囊性转移瘤。脾脏囊肿
作者: gaoqiang1971092 时间: 2006-6-9 16:28
脾脏囊肿
作者: 豫章 时间: 2006-6-23 07:34
脾脏囊性占位
作者: doc张 时间: 2006-6-24 03:50
脾脏囊肿。
作者: zjwxjh 时间: 2006-7-3 21:32
肾上腺腺瘤
作者: dzm 时间: 2006-7-12 07:19
附脾囊肿
作者: 医影先锋 时间: 2006-7-24 23:19
做mr反脂成像
作者: mprmyy 时间: 2006-7-26 05:56
左侧肾上腺受压,病变不是来源于肾上腺,mri脂肪抑制病变为高信号,除外脂肪瘤,考虑来源于脾脏可能性大,强化后壁与脾脏强化基本相似,其内见分隔,囊腺瘤,血管瘤不除外。
作者: sdpyhft 时间: 2006-8-4 16:36
cor上显示病灶与肾上腺无关,stir仍呈高信号,增强ct扫描各期均为低密度,且感觉张力较高,还是符合脾脏囊肿性病变的表现。
作者: 实话实说 时间: 2006-8-4 17:21
首先病灶的部位位于脾脏,这一点应该可以达成共识,因为它相邻的实质部分与脾脏同期.同时强化,并可见“鸟嘴”征象。第2:囊性病灶没有明显强化,在延期扫描的时候也是一样。也无病灶缩小的特征。所以我感觉应该考虑:脾脏囊性占位(脾脏囊肿可能性大)
作者: lzdyjg 时间: 2006-8-27 02:00
同意大多数同仁意见,关键在于+c上明显显示脾动脉一分支走向囊肿边缘,同时与肾上腺无关.
作者: lzdyjg 时间: 2006-8-27 02:04
也该到报告结果的时间了吧
作者: stronger16 时间: 2006-8-27 18:51
对,就是个脾脏囊肿!
作者: zyx168 时间: 2008-7-20 08:27
附脾囊肿
作者: dangjiancai 时间: 2015-2-6 10:58
支持脾脏来源的肿瘤[以血管内皮细胞瘤可能性大]。
作者: renming 时间: 2015-2-6 15:29
学习了,谢谢
| 欢迎光临 医影在线 (http://bbs.radida.com/bbs/) |
Powered by Discuz! X3.2 |