医影在线

标题: X0548:大家帮忙看看 [打印本页]

作者: wxy7406    时间: 2006-2-15 06:03
标题: X0548:大家帮忙看看
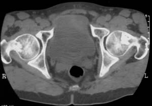
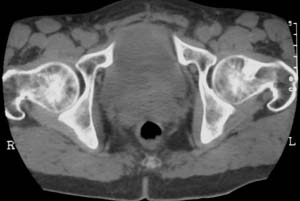
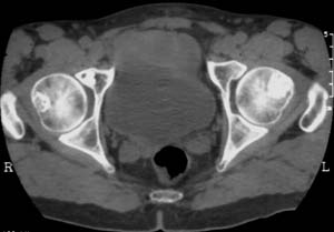
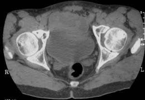
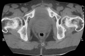
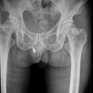
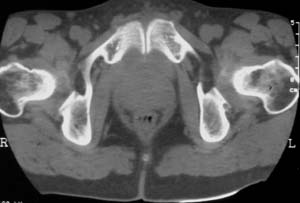
男,61岁,左侧髋关节疼痛,负重后更明显

现上传ct片










[本贴已被 wxy7406 于 2006-2-17 22:05:48 修改过]

作者: jiangjing    时间: 2006-2-15 06:14
左侧股骨头增密,其内见有囊变密度减低区,关节面骨质硬化,关节间隙及髋臼无异示。考虑股骨头缺血坏死可能。建议mri检查。
作者: 湘水人家    时间: 2006-2-15 07:15
支持股骨头缺血坏死(慢性劳损性)。
作者: 清风无痕    时间: 2006-2-15 07:26
考虑股骨头缺血坏死.
作者: yzh9939    时间: 2006-2-15 07:39
我觉得股骨头未见到明显的问题,左侧股骨颈有卵圆形高密度影,考虑骨岛或骨梗死。
作者: liuyongbinking    时间: 2006-2-15 07:50
支持yzh9939
作者: zhaochen    时间: 2006-2-15 14:38
1\\左侧股骨颈有卵圆形高密度影,考虑骨岛或骨梗死。2\\由于临床症状疼痛,应该mri检查排除早期股骨头缺血坏死
作者: bxeyljz    时间: 2006-2-15 19:54
支持赵臣的看法,也有可能是一肿瘤样变。
作者: X线    时间: 2006-2-15 20:07
加照左髋关节正位片或ct检查。
作者: yczzq    时间: 2006-2-15 23:34
左侧股骨颈有卵圆形高密度影,考虑骨岛或骨梗死。
作者: 501959462    时间: 2006-2-16 03:37
支持6楼意见
作者: 光线    时间: 2006-2-16 06:18
建议进一步检查
作者: pnx5739    时间: 2006-2-17 03:01
左侧股骨颈处一卵圆形密度增高影,边界清,临近骨组织未见明显破坏.考虑为骨梗死,骨岛?
作者: 针灸师    时间: 2006-2-17 05:43
若无其它临床表现配合,暂可不考虑股骨头坏死,同意yzh9939观点
作者: wawaquan    时间: 2006-2-17 05:56
考虑骨岛.
作者: 流星1234    时间: 2006-2-17 06:23
考虑骨岛,建议ct更清楚
作者: 网上走一下    时间: 2006-2-18 01:47
考虑股骨头缺血坏死可能性大。
作者: 刘静    时间: 2006-5-5 17:52
股骨头却血坏死
作者: 实习医生    时间: 2006-5-7 03:33
支持股骨头缺血坏死
作者: jinguoji    时间: 2006-11-14 17:48
1.左侧股骨颈有卵圆形高密度影,考虑骨岛或骨梗死。2.由于临床症状疼痛,应该mri检查排除早期股骨头缺血坏死
作者: rf    时间: 2006-11-14 17:58
考虑骨岛
作者: real520    时间: 2006-11-15 02:36
支持1楼
作者: shibing    时间: 2012-10-5 14:29
支持股骨头缺血坏死




欢迎光临 医影在线 (http://bbs.radida.com/bbs/) Powered by Discuz! X3.2