医影在线

标题: CT2840:腹部占位,请会诊? [打印本页]

作者: haogandian    时间: 2006-2-24 20:11
标题: CT2840:腹部占位,请会诊?
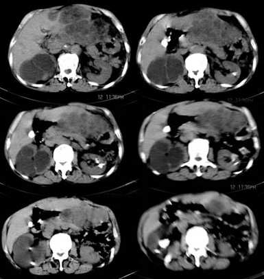
男,66岁,上腹部胀疼,无其他不适.





[本贴已被 jiajie 于 2006-2-24 21:50:04 修改过]

作者: duguo    时间: 2006-2-24 20:34
常规服造影剂后,行增强扫描。
作者: xiaoniu    时间: 2006-2-24 20:50
1胆管细胞癌
2右肾囊肿
作者: chinaboy_006    时间: 2006-2-24 21:21
考虑胆管细胞型肝癌可能性大,右肾囊肿,左肾结石
作者: sgl163    时间: 2006-2-24 21:47
建议增强扫描。
作者: wawaquan    时间: 2006-2-24 21:51
考虑胆管细胞型肝癌可能性大,胆结石,双肾结石。肝、肾血管平滑肌脂肪瘤不除外。
作者: 李亚军    时间: 2006-2-24 21:59
双肾结石,胆结石,肝内胆管扩张,肝左叶占位病变,请做增强ct.
作者: jiangjing    时间: 2006-2-24 22:02
考虑肝、肾血管平滑肌脂肪瘤可能,肾结石,右肾积水。
作者: fhy    时间: 2006-2-24 22:04
?
作者: sun123456    时间: 2006-2-24 23:33
考虑胆管细胞癌
作者: wz_lizhihong    时间: 2006-2-25 00:13
常规服造影剂后,行增强扫描。
作者: zhjzhong1968    时间: 2006-2-25 00:26
肝胆管细胞癌,右肾积水
作者: fxt2347    时间: 2006-2-25 01:14
考虑胆管细胞型肝癌可能性大,胆结石,双肾结石。右肾积水。 建议增强扫描及复部肠道准备
作者: 帅河马    时间: 2006-2-25 01:36
标题: 回复:腹部占位,请会诊?
以下是引用sun123456在2006-2-24 15:33:00的发言:[br]考虑胆管细胞癌

作者: zhouhansong    时间: 2006-2-25 01:54
肝左叶胆管细胞癌,胆囊结石,双肾结石,右肾积水。
作者: 不解    时间: 2006-2-25 03:03
胃肠道恶性肿瘤伴肝脏转移,腹膜转移。
  右肾结石,囊肿。
作者: 乡医    时间: 2006-2-25 03:47
1双肾结石,右肾积水。2、右肾囊肿?3,肝胆病变,建议增强后再看
作者: huangaiying1    时间: 2006-2-25 04:20
肾脏的结石中肾盂叫结石,在肾实质叫钙化。肝左叶胆管细胞癌可能,钙胆汁,右肾结石,左肾实质钙化
作者: 九头鸟    时间: 2006-2-25 04:56
不增强就发表意见,武断!!!
作者: kjgj    时间: 2006-2-25 05:07
考虑胆管细胞型肝癌可能性大,胆结石,双肾结石。肝、肾血管平滑肌脂肪瘤不除外。

请做增强ct.
作者: ysxyy    时间: 2006-2-25 06:37
标题: 回复:ct2840:腹部占位,请会诊?
以下是引用九头鸟在2006-2-24 20:56:00的发言:[br]不增强就发表意见,武断!!!

强烈建议口服对比剂后作增强。
作为对病人负责也为自己负责的态度,增强,增强,增强。
作者: jbhaaa111    时间: 2006-2-25 07:25
支持20楼
作者: 扬仪    时间: 2006-2-25 07:27
标题: 回复:ct2840:腹部占位,请会诊?
以下是引用九头鸟在2006-2-24 20:56:00的发言:[br]不增强就发表意见,武断!!!


支持!
作者: caihe    时间: 2006-2-25 17:52
支持8楼分析,肝、肾血管平滑肌脂肪瘤可能,肾结石,右肾积水。
作者: shibing    时间: 2015-6-2 14:43
考虑胆管细胞癌




欢迎光临 医影在线 (http://bbs.radida.com/bbs/) Powered by Discuz! X3.2