医影在线
标题: CT2841:讨论.胸部外伤,是纵隔血肿还是心包积液? [打印本页]
作者: ssl1_1 时间: 2006-2-25 01:40
标题: CT2841:讨论.胸部外伤,是纵隔血肿还是心包积液?




[本贴已被 jiajie 于 2006-2-24 21:59:32 修改过]
作者: zhouhansong 时间: 2006-2-25 01:47
纵隔积液和心包积液
作者: tsxhfsk 时间: 2006-2-25 02:31
是纵隔血肿还有心包积液
作者: 乡医 时间: 2006-2-25 02:46
纵隔血肿和心包积液鉴别点是什么,请高手解密!
作者: huangaiying1 时间: 2006-2-25 04:12
纵隔血肿和心包积液都有
作者: lushijun 时间: 2006-2-25 04:26
支持上述意见
作者: ygdygd123a 时间: 2006-2-25 05:22
纵隔血肿
作者: ssl1_1 时间: 2006-2-25 05:31
请大家把诊断依据分析分析.
作者: ssl1_1 时间: 2006-2-25 07:13
纵隔血肿和心包积液鉴别点
作者: xn2ylwg 时间: 2006-2-25 07:26
考虑纵隔血肿和心包积液都有。
作者: jiangjing 时间: 2006-2-25 08:32
考虑纵隔血肿和心包积液都有。
作者: gaozhengyi 时间: 2006-2-25 20:05
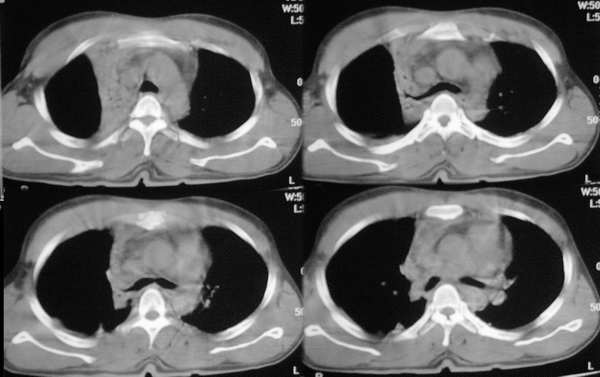
ssl1_1医生没有提供肺窗,从纵隔窗上看来似乎是右上纵隔增宽,但仔细观察发现病变边缘清楚锐利,右上叶支气管进入病灶内,病灶内可以见到残余气体密度影,所以必须要想到上叶肺不张的可能。在胸部外伤时,肺不张的发生原因是非常多而且复杂的,如支气管的断裂、管腔内血块或异物的阻塞、胸廓损伤导致呼吸肌无力、体位因素、脱水导致痰液不易咳出、胸腔积液的压迫等。心包和双侧胸腔均可见少量液体影,密度较高,应该考虑为少量积血。
作者: caihe 时间: 2006-2-25 20:54
标题: 回复
该病例认为心包积液>纵隔血肿可能,其理由有以下几点:
1、该病例ct平扫见上纵隔增宽,但见向内凹弧形影,而不是向外突张力增高影,试想如果上纵隔有积血,积血量大,那么纵隔内容量增多,压力大,且纵隔线应该向外突,而该病例是向内凹的。
2、该病例楼主没有上传肺窗像,但在纵隔窗像见右上肺主支气管开口有对称性狭窄,该区隐约见“空气支气管”征。认为右上肺不张或创伤性湿肺可能。
3、主动脉弓以下大血管及心脏周围见环形低密度影,而主动脉弓以上大血管周边未见环形影。
4、从解剖学上看,纵隔包括心脏、大血管、气管、食管,是左右纵隔胸膜间全部器官、结构与结缔组织的总称,前界为胸骨,后界为脊柱胸段,两侧为纵隔胸膜,向上达胸廓上口,向下至膈肌。而心包为锥形纤维浆膜囊,包裹心和出入心的大血管根部,分为内、外两层,外层称纤维心包,内层称浆膜心包。纤维心包是坚韧的结缔组织囊,上方与在血的外膜相续,下方与膈中心腱愈着。浆膜心包分为两层:紧贴心和大血根部表面的浆膜为脏层,它在大血管根部移行为壁层,贴衬于纤维心包内面。脏、壁二层之间的腔隙称心包腔。
5、复习了解剖后,可以看出该病例的低密度影,始终围绕大血管及心脏,而大血管以血管未见明显低密度影。
6、x线平片诊断外伤性纵隔积血主要与心包积液相鉴别:立、卧位摄片时纵隔形态变化有参考价值,前者立、卧位时上纵隔变化较大,而后者上纵隔增宽主要是腔静脉回流受阻所致,随体位变化不大。
7、纵隔血肿与心包积液ct书上的鉴别诊断,目前没有查到,如果那位战友有这方面的资料请上传,在此谢谢了!
[本贴已被 caihe 于 2006-2-25 12:58:54 修改过]
作者: zsxzsx1977 时间: 2006-2-26 01:54
caihe分析的太好了,请继续发言
作者: ssl1_1 时间: 2006-2-26 03:29
看了12,13楼的分析受益非浅,肺窗右肺上叶不张.左下肺挫伤.
作者: deahndx 时间: 2006-2-26 03:41
心包积液和纵隔血肿
作者: shibing 时间: 2015-6-2 14:43
纵隔血肿和心包积液鉴别点
| 欢迎光临 医影在线 (http://bbs.radida.com/bbs/) |
Powered by Discuz! X3.2 |