医影在线

标题: CT2842:盆腔肿块,请会诊. [打印本页]

作者: 中山医    时间: 2006-2-25 02:23
标题: CT2842:盆腔肿块,请会诊.
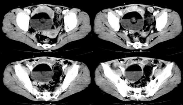
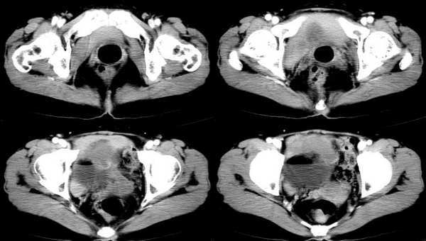
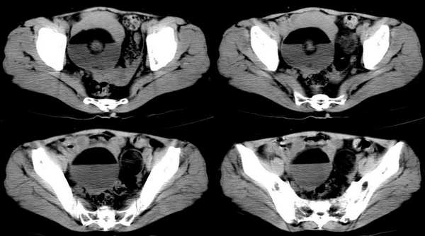
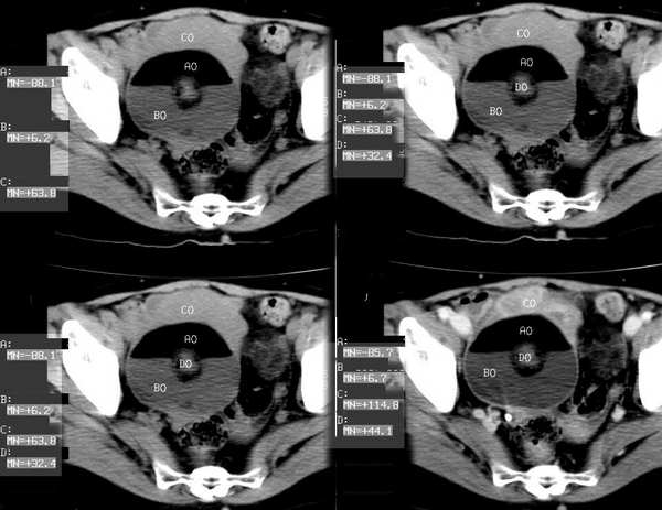
女,55岁,因下腹胀痛2月,b超发现盆腔包块7天,而入院,检查:右侧附件如女拳头大小包块,活动差,轻压痛,质中,子宫稍正常缩小,彩超示子宫4.9cmx2.6cmx2.3cm ,右侧附件包块示:8.7cmx9.1cmx6.3cm 的混合性回声,脂质分层征












[本贴已被 jiajie 于 2006-2-24 22:29:13 修改过]

作者: 乡医    时间: 2006-2-25 02:49
囊性畸胎瘤的液-液征,增强瘤结节强化。
作者: duguo    时间: 2006-2-25 03:05
畸胎瘤伴瘤内出血。
作者: liuyongbinking    时间: 2006-2-25 03:20
支持
畸胎瘤
作者: lyb999    时间: 2006-2-25 03:31
畸胎瘤
作者: 好大夫    时间: 2006-2-25 03:42
我刚见了一个,和这差不多
作者: zhuming943066    时间: 2006-2-25 03:47
标题: 回复:盆腔肿块,请会诊.
以下是引用lyb999在2006-2-24 19:31:00的发言:[br]畸胎瘤

作者: yunhong    时间: 2006-2-25 03:58
支持良性畸胎瘤。
作者: huangaiying1    时间: 2006-2-25 04:02
双侧卵巢畸胎瘤,右侧为著
作者: lhp    时间: 2006-2-25 04:38
畸胎瘤(两侧)
作者: ygdygd123a    时间: 2006-2-25 05:33
双侧卵巢畸胎瘤
作者: 中山医    时间: 2006-2-25 06:08
请问各位高手,右侧肿块前壁的带状软组织密度是否肿瘤组织成分?
作者: ysxyy    时间: 2006-2-25 06:24
双侧畸胎瘤?????????!!!!!!!!!
就那么的巧吗?
双侧都有?
难道我们看见脂肪密度就要诊断畸胎瘤吗?
而不用考虑别的吗?
不解,不解!
作者: xiaoniu    时间: 2006-2-25 06:39
畸胎瘤伴瘤内出血。
作者: 光线    时间: 2006-2-25 07:10
畸胎瘤,可见典型脂肪-液体征象。
作者: zhangchunxi    时间: 2006-2-25 07:21
同意大家畸胎瘤的诊断,但不能排除恶变的可能.
作者: jiangjing    时间: 2006-2-25 08:29
支持畸胎瘤
作者: gaozhengyi    时间: 2006-2-25 20:57
右侧肿块前壁的带状软组织密度影我认为是肠管所致,该部位的小肠肠襻由于受到肿瘤的推移呈水平样排列,这样在ct扫描时相邻的肠壁在某些层面上可以呈现宽带状软组织密度影。
作者: deltoid    时间: 2006-2-25 21:05
良性畸胎瘤伴出血。
作者: 同    时间: 2006-2-25 21:07
畸胎瘤伴瘤内出血
作者: lanlan    时间: 2006-2-25 21:27
畸胎瘤,脂-液分层
作者: tsxhfsk    时间: 2006-2-25 23:41
双侧卵巢畸胎瘤
作者: 李亚军    时间: 2006-2-26 06:50
占位病变,畸胎瘤可能性大.
作者: ssl1_1    时间: 2006-2-27 01:16
畸胎瘤
作者: shibing    时间: 2015-6-2 14:43
畸胎瘤(两侧)




欢迎光临 医影在线 (http://bbs.radida.com/bbs/) Powered by Discuz! X3.2