医影在线

标题: MRI0310:14岁女孩股骨低毒感染、肿瘤? [打印本页]

作者: xfspine    时间: 2006-2-27 04:44
标题: MRI0310:14岁女孩股骨低毒感染、肿瘤?
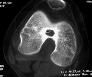
14岁女孩,7月前右膝关节疼痛,进行性加重,无外伤,无潮热盗汗,无高热,未治疗。1周前入院,下肢皮肤牵引,抗炎治疗,症状减轻。入院查右膝关节轻肿,浮膑(-),碱性磷酸酶140,余(—)。如何诊治?1周前ct 见关节面破裂,关节腔穿刺少量血性液:细胞学检查示滑膜炎改变,培养未见细菌生长。 7月前ct







[本贴已被 翁志蓬 于 2006-2-26 23:43:41 修改过]

作者: xfspine    时间: 2006-2-27 04:46
6月前mri,1周前ct
作者: 小翟    时间: 2006-2-27 05:12
tb   or
作者: 流星1234    时间: 2006-2-27 05:37
考虑骨tb
作者: lm117f    时间: 2006-2-27 05:59
考虑骨tb
作者: wubin    时间: 2006-2-27 05:59
低毒感染
作者: 张耀森    时间: 2006-2-27 06:11
病变特点:股骨的非负重区的破坏病灶,是结核的特点,病灶边沿的硬化又是细菌性感染的特点,建议检查一下肺部有无结核。
作者: 龙在野    时间: 2006-2-27 15:17
末见坏骨支持感染
作者: 576034755    时间: 2006-2-27 17:03
骨样骨瘤
作者: 金导泉    时间: 2006-2-27 18:58
tb是应该考虑的。
作者: 影象王    时间: 2006-2-28 03:12
考虑结核可能性大,骨样骨瘤待排;结核单关节病变好发于承重关节,髋关节、膝关节病变占80%左右,关节局部疼痛、肿胀,活动受限,起病缓慢。骨样骨瘤多发生在长骨的骨皮质,很少部分发生在骨松质,以股骨、胫骨最常见,病灶周围有显著的反应性硬化环,局部疼痛,夜间较重,近关节的病灶有关节积液。本病例应进一步做其他检查。
作者: jiangjing    时间: 2006-2-28 07:58
考虑结核可能性大,骨样骨瘤待排
作者: xuli20    时间: 2006-2-28 18:53
低毒感染,骨样骨瘤待排,mri表现整个骨够信号异常并跨够线,良性肿瘤基本排除,(但骨样骨瘤与骨母与感染有关),病灶周边硬化不是tb表现。
作者: xuli20    时间: 2006-2-28 18:57
标题: 回复:mri0310:14岁女孩股骨低毒感染、肿瘤?
骨质硬化如何解释?
作者: jyhe    时间: 2006-2-28 19:10
病变骨质增生硬化,不支持结核。mri示病变中心内短t1、长t2信号,考虑为骨样骨瘤并瘤巢内出血。
作者: 徐大夫    时间: 2006-3-1 05:50
考虑骨样骨瘤
作者: 同    时间: 2006-3-1 06:07
标题: 回复:mri0310:14岁女孩股骨低毒感染、肿瘤?
以下是引用jiangjing在2006-2-27 23:58:00的发言:[br]考虑结核可能性大,骨样骨瘤待排

作者: qinys    时间: 2006-3-2 07:39
低毒感染.
作者: guizi    时间: 2006-3-5 03:28
结核病应有骨质疏松的,低毒感染可能大,骨瘤不象。
作者: laotongzhi    时间: 2006-3-7 19:30
tb或其他低毒感染
作者: linzhijun    时间: 2006-3-22 06:45
考虑膝关节结核
作者: 李小光    时间: 2006-3-23 05:56
此患者抗炎治疗症状减轻,无结核中毒症状,有骨质硬化,无死骨,还是考虑低毒力感染合适!
作者: 常文浩    时间: 2006-3-23 07:22
查看别的部位是否有结核史,我考虑为结核!也不能排除低毒感染!
作者: tzw136    时间: 2006-3-23 19:10
brodie骨脓肿可能性大.
作者: ZHWW    时间: 2006-4-1 04:30
骨样骨瘤可能大。
作者: MYF    时间: 2006-4-2 07:59
病变特点:股骨的非负重区的破坏病灶,病灶边沿的硬化明显,ct mri均显示病变为慢性过程,关节积液不明显,考虑低毒感染可能性大,请继续抗炎治疗,不除外骨样骨瘤
作者: lihaixue800    时间: 2006-4-2 17:37
病变特点:病灶较小,周围硬化环厚/明显,中心ct呈透光区,mr可见液性成分;14岁小孩,骺端关节面的病变,可考虑的病变有:1/低毒力感染,嗜酸性肉呀肿,2/软骨母细胞瘤,年龄/好发部位/信号/密度均可符合诊断,唯一不支持的是病灶中心未见点状钙化或骨化影3/腱鞘囊肿4/巨细胞瘤和骨囊肿可以不考虑。
作者: 冰蛋儿    时间: 2006-4-9 04:53
骨tb是什么啊?
作者: flyingtiger    时间: 2006-4-9 06:38
病史简单,分析更简单,同志们能再认真负责点吗?
作者: ludeqi2006    时间: 2006-5-23 07:38
骨囊肿要考虑,加一个stir序列如何?
作者: 风雨飘摇    时间: 2007-3-10 17:27
低毒感染可能大
作者: xiaoqvnmin    时间: 2007-3-12 02:49
骨骺轻度水肿,近髁间凹关节面侧骨局灶性破坏,病灶边缘有较多的环形硬化,骨显著硬化是细菌性感染的特点,关节积液不明显...抗炎治疗症状减轻,考虑为低毒感染可能性大(brodie骨脓肿可能).请继续抗炎治疗
作者: zyx168    时间: 2008-7-18 08:46
brodie骨脓肿
作者: dangjiancai    时间: 2015-2-7 15:03
brodie骨脓肿




欢迎光临 医影在线 (http://bbs.radida.com/bbs/) Powered by Discuz! X3.2