医影在线

标题: CT2872:肝脏典型病例。 [打印本页]

作者: 九头鸟    时间: 2006-2-28 19:34
标题: CT2872:肝脏典型病例。
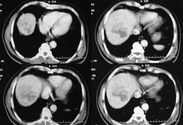
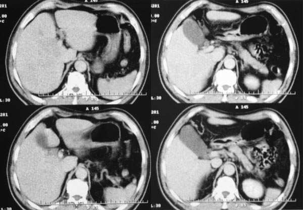
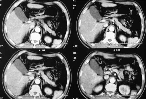
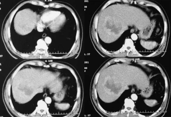
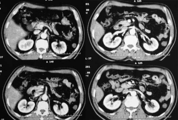
患者,m,71y,乏力、纳差、巩膜黄染两月余,b超示肝内占位性病变。
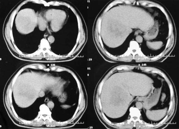
平扫



动脉期




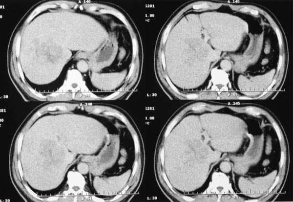
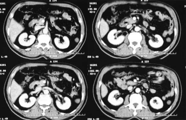
门脉期





延时期







[本贴已被 jiajie 于 2006-2-28 12:52:22 修改过]

作者: liuyongbinking    时间: 2006-2-28 20:02
血管瘤!
作者: duguo    时间: 2006-2-28 20:43
结合临床首先考虑肝癌。
作者: 乡医    时间: 2006-2-28 21:10
从动脉期到延时期可见病灶内有星芒样不强化裂隙,考虑fnh。鉴别:1血管瘤,逐渐强化,延时期造影剂填充呈高密度。2肝癌,早进早出。
作者: honghuqitian    时间: 2006-2-28 21:14
标题: 回复:ct2872:肝脏典型病例。
以下是引用duguo在2006-2-28 12:43:00的发言:[br]结合临床首先考虑肝癌。

支持肝细胞癌。
1.临床资料:71y,乏力、纳差、巩膜黄染两月余。
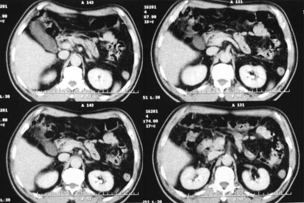
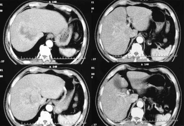
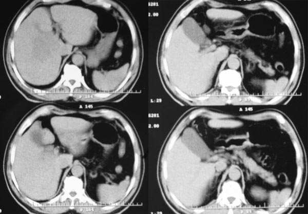
2.病灶特点:平扫呈低密度,密度不均,中央呈更低密度;动脉期病灶周围强化较明显,高于正常肝组织,低于同层主动脉密度,中央坏死区未见明显强化;门静脉期,病灶呈低密度,低于正常肝组织密度。
3.诊断:符合肝细胞癌。
作者: frzh    时间: 2006-2-28 21:36
肝癌
作者: gaozhengyi    时间: 2006-2-28 21:50
肿瘤实质的强化特点符合肝癌表现,需要注意的地方还有患者可能存在门脉右支和下腔静脉内癌栓形成,这更加支持肝癌的诊断。
作者: huangaiying1    时间: 2006-2-28 22:42
肿瘤的生长特点和强化特点符合纤维板层样肝细胞癌,下腔静脉内在动脉期有充盈缺损,而在静脉期内未见充盈缺损,故不考虑下腔静脉瘤栓形成
作者: ygdygd123a    时间: 2006-2-28 23:00
肝癌
作者: judc    时间: 2006-2-28 23:17
考虑段8的hcc
作者: 一棵树    时间: 2006-2-28 23:24
血管瘤的增强表现,不能排除肝癌。
作者: 同    时间: 2006-3-1 00:25
支持肝癌诊断
作者: chen123    时间: 2006-3-1 00:28
肝癌
作者: 3288161    时间: 2006-3-1 00:42
比较典型的fnh
作者: fumaogui    时间: 2006-3-1 00:47
肝癌。
作者: 我爱影像    时间: 2006-3-1 00:54
强化特点符合肝血管瘤。鉴别:1 hcc:患者年龄较大,且无肝硬化表现,门、腔静脉未见癌栓形成,肝门结构清晰,因此hcc可不予考虑;2  胆管细胞癌:病灶较大,远端未见胆管扩张,肝外未见明显转移征象;3 fnh 强化特点不符合,且其内的星芒状裂隙也不典型。
作者: 西北狼    时间: 2006-3-1 01:16
支持肝癌
作者: kbzyycm    时间: 2006-3-1 01:39
肝癌
作者: ssl1_1    时间: 2006-3-1 03:20
符合肝癌表现
作者: 好大夫    时间: 2006-3-1 03:25
肝癌!!!!!!!!!!
作者: lnjz4545wq    时间: 2006-3-1 03:26
符合血管瘤强化特点
作者: 热河    时间: 2006-3-1 03:31
根据三期不同的增强表现,首先应考虑胆管细胞癌可能性大。
作者: 绿水青山    时间: 2006-3-1 03:48
标题: 回复:ct2872:肝脏典型病例。
以下是引用honghuqitian在2006-2-28 13:14:00的发言:[br][quote]以下是引用duguo在2006-2-28 12:43:00的发言:[br]结合临床首先考虑肝癌。
[br]支持肝细胞癌。[br]1.临床资料:71y,乏力、纳差、巩膜黄染两月余。[br]2.病灶特点:平扫呈低密度,密度不均,中央呈更低密度;动脉期病灶周围强化较明显,高于正常肝组织,低于同层主动脉密度,中央坏死区未见明显强化;门静脉期,病灶呈低密度,低于正常肝组织密度。[br]3.诊断:符合肝细胞癌。[br][/quote]
作者: yaozhimin    时间: 2006-3-1 04:02
肝癌
作者: yunhong    时间: 2006-3-1 05:36
快进快出,典型的hcc。
作者: caihe    时间: 2006-3-1 05:38
认为肝癌的诊断可以成立。支持gaozhengyi版主 的分析。
作者: chinaboy_006    时间: 2006-3-1 05:47
临床:患者,m,71y,乏力、纳差、巩膜黄染两月余,b超示肝内占位性病变。
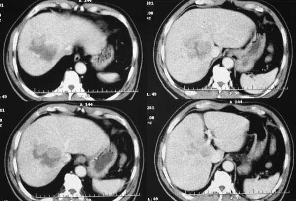
病灶特点:1、平扫:肝右叶大片状低密度影,内见更低密度影,边界不清
          2、动脉期:病灶边缘强化明显,明显高于肝实质,中间未强化为坏死区
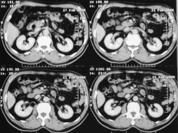
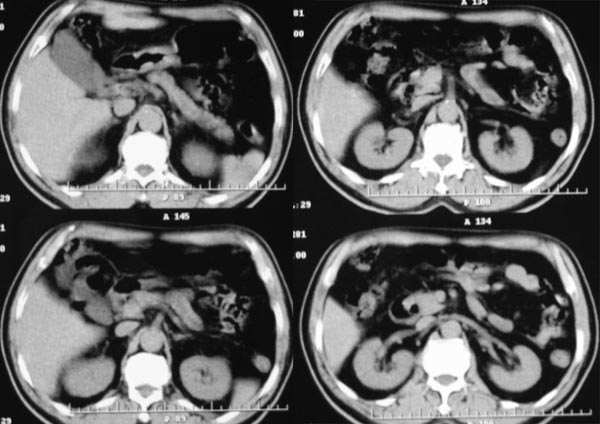
          3、门脉期:病灶呈低密度,低于肝实质,下腔静脉见充盈缺损,说明癌栓形成
综上所述,符合肝癌伴下腔静脉癌栓形成
鉴别诊断:1、血管瘤,快进慢出;2、fnh
作者: limmm    时间: 2006-3-1 06:32
血管瘤
作者: xjw755499    时间: 2006-3-1 06:56
支持
作者: 渔樵    时间: 2006-3-1 06:57
同意gaozhengyi说,肝癌
作者: jiangjing    时间: 2006-3-1 07:09
kaolv 肝癌。
作者: jiajie    时间: 2006-3-1 17:38
早期强化不是很明显,血供不是很丰富,与肝实质相比还是呈快进快出的特点,中心裂隙样坏死,支持原发性肝癌。
作者: 小道    时间: 2006-3-2 03:43
肝血管瘤很像的呀
作者: wwg65578302    时间: 2006-3-3 01:03
平扫:团块状低密度灶,动脉期:边缘环形强化,门脉期:增强逐步向中心推进,实质期:强化进一步明显,中心呈裂隙样无强化影。所以首先考虑血管瘤
作者: shibing    时间: 2015-6-2 15:01
肝癌
作者: Zhxp    时间: 2015-6-2 16:32
门脉期下腔静脉内可見充盈缺损,考虑栓塞,应考虑为恶性病变,旰癌可能性大

作者: 老爱克斯新网客    时间: 2015-6-2 17:29
支持肝癌诊断的为什么不说延迟期病灶的表现呢?
作者: 摘星空竹子    时间: 2015-6-2 22:40
支持肝癌
作者: xiaobo126123    时间: 2015-6-3 00:28
血管瘤
作者: fylzm    时间: 2015-6-3 06:11
血管瘤





欢迎光临 医影在线 (http://bbs.radida.com/bbs/) Powered by Discuz! X3.2