医影在线

标题: CT2875:左下肺占位,请分析。 [打印本页]

作者: haogandian    时间: 2006-2-28 23:47
标题: CT2875:左下肺占位,请分析。
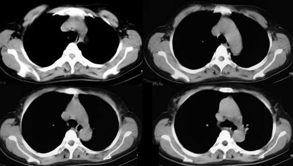
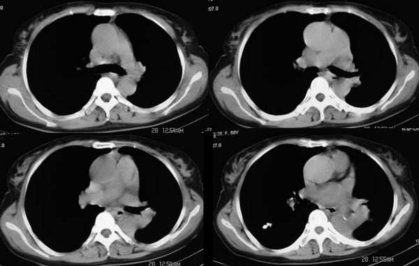
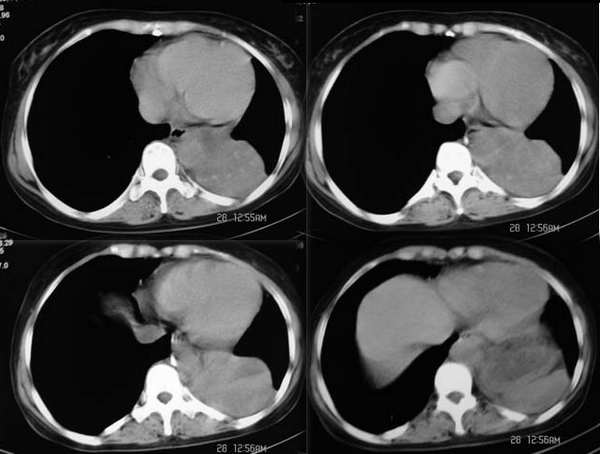
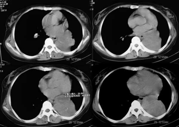
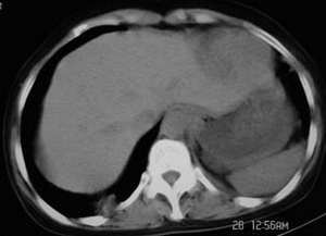
女,56y,左下肋缘下痛疼二月余







[本贴已被 jiajie 于 2006-2-28 18:00:01 修改过]

作者: xhsmx    时间: 2006-3-1 00:16
下叶支气管肺癌。
作者: lth7110    时间: 2006-3-1 00:20
左侧胸廓容积缩小,纵隔左移,左下肺支气管闭塞.考虑中心型肺癌并左肺下叶不张,建议纤支镜.
作者: yzh9939    时间: 2006-3-1 00:49
标题: 回复:左下肺占位,请分析。
属典型的左下肺中央型肺癌——左下分叶状肺肿块、支气管阻断、左下肺不张,纵隔淋巴结肿大。




作者: 同    时间: 2006-3-1 00:51
左侧肺部体积缩小,纵隔向患侧偏移,左下肺支气管阻塞,中央型肺癌合并肺不张可能性大。
作者: 西北狼    时间: 2006-3-1 01:30
左侧胸廓容积缩小,纵隔左移,左下肺支气管闭塞.考虑中心型肺癌并左肺下叶不张,建议纤支镜.
作者: kbzyycm    时间: 2006-3-1 01:31
左下肺支气管闭塞.考虑中心型肺癌并左肺下叶不张,建议纤支镜.
作者: ssl1_1    时间: 2006-3-1 03:25
考虑中心型肺癌并左肺下叶不张
作者: zhuming943066    时间: 2006-3-1 03:32
大家平时看肺都不看肺窗吗?
作者: huangaiying1    时间: 2006-3-1 03:34
左下叶支气管变窄消失,考虑左侧中心型肺癌伴纵隔淋巴结增大
作者: 蓝星    时间: 2006-3-1 03:40
左下肺支气管闭塞.考虑中心型肺癌并左肺下叶不张,建议纤支镜
作者: chinaboy_006    时间: 2006-3-1 06:22
左下肺团块状软组织密度影,呈分叶状,边界清,未见小毛刺,左下肺支气管阻塞,纵隔见肿大淋巴结,考虑左下肺中央型肺癌伴纵隔淋巴结肿大,建议支纤镜检查。
作者: jiangjing    时间: 2006-3-1 06:53
左侧胸廓容积缩小,纵隔左移,左下肺支气管闭塞.考虑中心型肺癌并左肺下叶不张,建议纤支镜.右肺及肺门区钙化灶,有下肺紧贴胸膜的小结节影
作者: 何畏    时间: 2006-3-1 17:37
考虑中心型肺ca并左肺下叶肺不张。(应提供肺窗)
作者: wz_lizhihong    时间: 2006-3-1 19:47
考虑支持左侧中心型肺癌伴纵隔淋巴结增大
作者: shibing    时间: 2015-6-2 14:54
中心型肺癌
作者: 摘星空竹子    时间: 2015-6-2 22:43
左肺下叶中央型肺癌
作者: xiaobo126123    时间: 2015-6-3 00:27
左下肺占位




欢迎光临 医影在线 (http://bbs.radida.com/bbs/) Powered by Discuz! X3.2