医影在线
标题: CT2894:[求助]头颅! [打印本页]
作者: legend 时间: 2006-3-3 01:43
标题: CT2894:[求助]头颅!
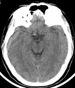
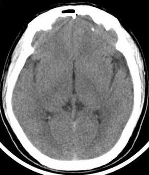
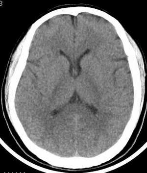
患者 男 45岁,头晕月余,无其它不适。
请大家看看大脑大静脉池里的条状影是什么?脑内静脉?



[本贴已被 jiajie 于 2006-3-2 17:58:52 修改过]
[本贴已被 翁志蓬 于 2006-3-2 20:23:27 修改过]
作者: haitian598 时间: 2006-3-3 02:22
静脉-不知是大脑大静脉,还是内静脉,反正都有点变异
作者: KBZYYCM 时间: 2006-3-3 02:35
动脉硬化
作者: dywang 时间: 2006-3-3 03:09
好象是雪管影.
作者: 不明白 时间: 2006-3-3 03:27
强化后再说
作者: lvlifeng 时间: 2006-3-3 03:41
不典型征象,建议做增强
作者: yang123456 时间: 2006-3-3 03:46
必须强化,才能清楚。
作者: xjw755499 时间: 2006-3-3 04:23
学习
作者: liuyongbinking 时间: 2006-3-3 04:50
不解!
作者: huangaiying1 时间: 2006-3-3 05:12
应该是血管影,建议增强
作者: zhjzhong1968 时间: 2006-3-3 05:17
血管变异影。
作者: cmg 时间: 2006-3-3 05:19
强化
作者: 同 时间: 2006-3-3 05:36
标题: 回复:ct2894:[求助]头颅!
以下是引用huangaiying1在2006-3-2 21:12:00的发言:[br]应该是血管影,建议增强
作者: caihe 时间: 2006-3-3 05:46
标题: 回复
建议增强,血管影可能性大。
[本贴已被 caihe 于 2006-3-2 21:47:05 修改过]
作者: 3288161 时间: 2006-3-3 06:22
讨论意义不太大,建议做增强
作者: 光线 时间: 2006-3-3 07:39
没遇见过,考虑血管影,变异?
作者: liaoqiang 时间: 2006-3-3 17:26
考虑为血管(大脑大静脉?)可能性大。增强扫描。
作者: 郭凯 时间: 2006-3-3 18:14
标题: 回复:ct2894:[求助]头颅!
以下是引用huangaiying1在2006-3-2 21:12:00的发言:[br]应该是血管影,建议增强
作者: wwp 时间: 2006-3-3 18:51
增强扫描。
作者: gzx521th 时间: 2006-3-3 21:10
我觉得是生理改变。 应该是血管影 建议做cta检查!
作者: 东北 时间: 2006-3-4 00:45
就是大脑大静脉
作者: jiajie 时间: 2006-3-4 04:34
未见明显异常。
作者: 乡医 时间: 2006-3-4 04:37
血管变异可能,增强吧。
作者: 苏杭18866 时间: 2006-3-4 05:34
应该是大脑大静脉
作者: 冰之魂 时间: 2006-3-4 07:54
大脑大静脉
作者: shibing 时间: 2015-6-2 14:46
建议增强
| 欢迎光临 医影在线 (http://bbs.radida.com/bbs/) |
Powered by Discuz! X3.2 |