








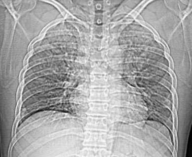
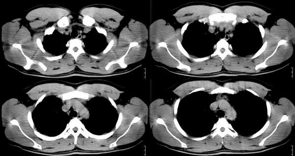
以下是引用ssl1_1在2006-3-2 22:37:00的发言:[br]肺泡蛋白沉积症(外围型)
以下是引用ssl1_1在2006-3-2 22:37:00的发言:[br]肺泡蛋白沉积症(外围型)
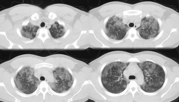
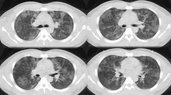
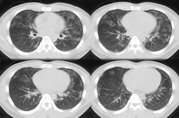
以下是引用向武昌在2006-3-3 11:05:00的发言:[br]1.与乙炔有关的化学性肺病,停止该职业观察,2.双上肺病变为多,考虑并结核且查hiv.
以下是引用huangaiying1在2006-3-3 16:03:00的发言:[br]双肺弥漫分布的磨玻璃影及小结节影,以双上肺为著,纵隔内未见明显增大的淋巴结影,结合病史,考虑过敏性肺炎
以下是引用guandong在2006-3-4 20:57:00的发言:[br]两肺弥漫分布磨玻璃影,以中外带为主,可见于过敏性肺炎、肺泡蛋白沉着症、农民肺等,但不支持结核。
| 欢迎光临 医影在线 (http://bbs.radida.com/bbs/) | Powered by Discuz! X3.2 |