医影在线

标题: CT2899:肺结核?但抗结核治疗反而加重?请大家帮忙. [打印本页]

作者: 中山医    时间: 2006-3-3 05:40
标题: CT2899:肺结核?但抗结核治疗反而加重?请大家帮忙.
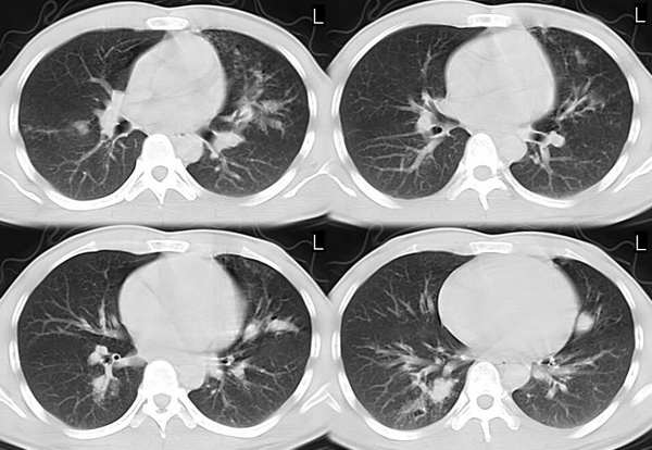
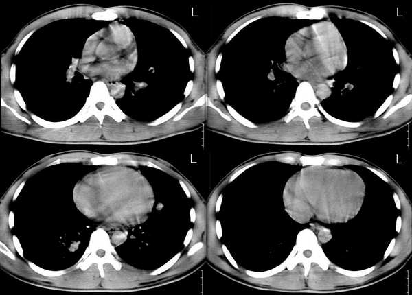
男,21岁,一年前确诊肺结核(未见年前照片),经抗结核治疗出院。2005年9月26日照片与2006年3月1日照片对比,病变反而增多,但病人症状不明显.疑惑?
2005年9月26日照片

2005年12月10日照片:

ct扫描:










[本贴已被 jiajie 于 2006-3-2 22:21:32 修改过]

作者: dywang    时间: 2006-3-3 05:48
双肺结核并发感染.
作者: ssl1_1    时间: 2006-3-3 06:42
单纯两张x片对比变化不大,第一张比第二张条件大,考虑,双肺结核合并感染.
作者: aosangwa    时间: 2006-3-3 06:43
标题: 回复:ct2899:肺结核?但抗结核治疗反而加重?请大家帮忙.
以下是引用dywang在2006-3-2 21:48:00的发言:[br]双肺结核并发感染.

作者: 龙在野    时间: 2006-3-3 07:26
如果是正规抗tb治疗是不是考虑真菌
作者: kbzyycm    时间: 2006-3-3 15:24
双肺结核合并感染.建议治疗后复查.
作者: 郭凯    时间: 2006-3-3 16:22
标题: 回复:ct2899:肺结核?但抗结核治疗反而加重?请大家帮忙.
是不是应该考虑特殊性的细菌感染,建议细菌培养,然后治疗后复查!或试验性抗炎治疗、复查!
作者: liaoqiang    时间: 2006-3-3 16:30
病灶具有多形性及病灶部位支持肺结核。必要时查痰。
作者: 郭凯    时间: 2006-3-3 16:33
标题: 回复:ct2899:肺结核?但抗结核治疗反而加重?请大家帮忙.
请楼主追问一下,患者的工作,我们曾遇见过多个这样的病人,都是因为在南方打工,干皮鞋喷浆,家具加工等工种导致的过敏性肺炎!
作者: zhuxinli    时间: 2006-3-3 17:07
多发结节状 片状 部分密度高趋于钙化 考虑结核
作者: duguo    时间: 2006-3-3 18:09
结核诊断明确,耐药菌感染?建议痰培养。
作者: ygdygd123a    时间: 2006-3-3 18:49
支持肺结核.
作者: 同    时间: 2006-3-3 21:46
双肺tb及肺部感染
作者: huangaiying1    时间: 2006-3-4 00:13
考虑双侧机化性肺炎
作者: 东北    时间: 2006-3-4 00:59
首先考虑结核
其次待排除霉菌感染
作者: chen123    时间: 2006-3-4 01:15
同意结核继续治疗
作者: qinys    时间: 2006-3-4 04:01
从影像来看还是该诊断tb.
作者: 林建春    时间: 2006-3-4 04:33
病灶形态不象结核,建议细菌培养.
作者: 乡医    时间: 2006-3-4 04:47
建议细菌培养保险
作者: 云中燕    时间: 2006-3-4 16:45
有结核病史,首先考虑双肺结核合并感染,但不除外其他细菌引起的炎症,建议生化检查.
作者: maqingya    时间: 2006-3-5 01:59
侵润型结核
作者: xinhai18    时间: 2006-3-5 09:09
单从影像上来说,确实很像肺结核,但病史提供抗结核治疗无效,甚至加重,不些不太符合,
我看真菌感染不能完全排除
作者: wangjing81750    时间: 2006-3-5 10:03
还是像结核灶。不过还是再确诊一下吧
作者: shibing    时间: 2015-6-2 14:44
多发结节状 片状 部分密度高趋于钙化 考虑结核




欢迎光临 医影在线 (http://bbs.radida.com/bbs/) Powered by Discuz! X3.2