医影在线

标题: CT2905:[讨论]双肾CT [打印本页]

作者: wpf    时间: 2006-3-4 18:28
标题: CT2905:[讨论]双肾CT
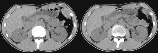
男,23岁,腰痛一个月,彩超示双侧肾盂分离






[本贴已被 jiajie 于 2006-3-4 13:18:45 修改过]

作者: duguo    时间: 2006-3-4 18:36
建议增强。
作者: lqkys    时间: 2006-3-4 19:30
有异常吗?
作者: 一棵树    时间: 2006-3-4 21:37
双肾没看出有病,好像有胆囊炎。本人眼拙。
作者: kbzyycm    时间: 2006-3-4 22:23
肾ct平扫未见异常
作者: liuyongbinking    时间: 2006-3-4 23:05
双肾未见异常!
作者: huangaiying1    时间: 2006-3-4 23:34
肾盂或肾窦分离是b超上的术语,而ct上看不出来,故ct报告未见明显异常
作者: tsxhfsk    时间: 2006-3-4 23:41
有异常吗?  未见异常!
作者: dywang    时间: 2006-3-5 00:52
不好意思没看出异常来.
作者: ssl1_1    时间: 2006-3-5 02:31
标题: 回复:ct2905:[讨论]双肾ct
以下是引用huangaiying1在2006-3-4 15:34:00的发言:[br]肾盂或肾窦分离是b超上的术语,而ct上看不出来,故ct报告未见明显异常
是吗?
作者: lyb999    时间: 2006-3-5 03:14
未见异常呀!
作者: 乡医    时间: 2006-3-5 03:24
看不到啥!
作者: ysxyy    时间: 2006-3-5 03:29
双肾ct平扫未见明显异常。
作者: lkc8963    时间: 2006-3-5 05:36
还是做个ivp吧除外双肾盂,本例ct未见明显异常。
作者: jiangjing    时间: 2006-3-5 05:53
双肾ct平扫未见明显异常。建议结合临床及进一步检查
作者: caihe    时间: 2006-3-5 06:08
认为是正常的肾脏,肾盂没有见分离征象。
作者: 顺其自然    时间: 2006-3-5 06:14
平扫正常,建议增强
作者: 国王    时间: 2006-3-5 06:26
ct未见明显异常
作者: zhuxinli    时间: 2006-3-5 17:45
双肾未见异常
作者: shibing    时间: 2015-6-3 10:13
肾盂或肾窦分离是b超上的术语,而ct上看不出来,故ct报告未见明显异常是吗?




欢迎光临 医影在线 (http://bbs.radida.com/bbs/) Powered by Discuz! X3.2