医影在线

标题: CT2907:[讨论]盆腔CT平扫+增强 [打印本页]

作者: wpf    时间: 2006-3-4 20:37
标题: CT2907:[讨论]盆腔CT平扫+增强
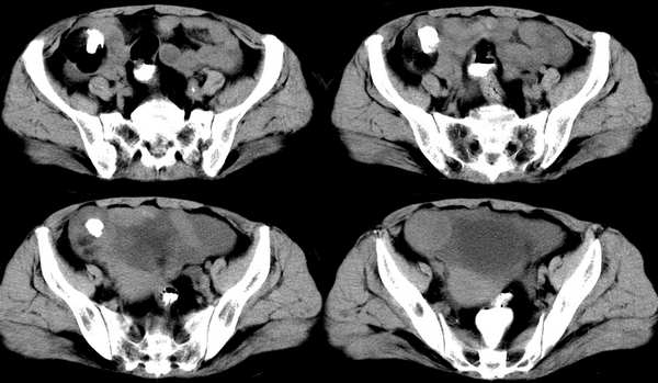
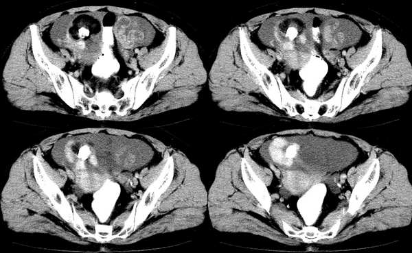
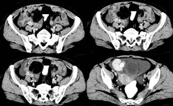
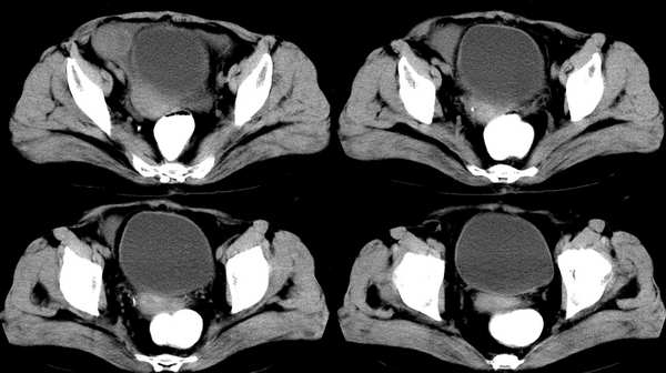
女,59岁,憋气、下腹不适一个月。胸透:双侧大量胸腔积液,反复抽胸水化验为漏出液。彩超示:盆腔占位











[本贴已被 jiajie 于 2006-3-4 13:38:24 修改过]

作者: cyr1818    时间: 2006-3-4 20:54
恶性畸胎瘤.
作者: xiaoniu    时间: 2006-3-4 21:20
右侧卵巢区囊实性占位性病变,内见高密度及囊性脂肪密度,实性部分强化明显,囊性部分未见强化,结合病史多考虑:右侧卵巢恶性畸胎瘤。
作者: 一棵树    时间: 2006-3-4 21:29
标题: 回复:[讨论]盆腔ct平扫+增强
以下是引用xiaoniu在2006-3-4 13:20:00的发言:[br]右侧卵巢区囊实性占位性病变,内见高密度及囊性脂肪密度,实性部分强化明显,囊性部分未见强化,结合病史多考虑:右侧卵巢恶性畸胎瘤。

      支持
作者: maqingya    时间: 2006-3-4 21:36
肠壁的脂肪肉瘤?
作者: 老林    时间: 2006-3-4 23:17
请问病人是检查前口服了造影剂还是经肛门灌的,能说明吗
作者: wpf    时间: 2006-3-4 23:30
说明:病人检查前4小时口服的造影剂
作者: tsxhfsk    时间: 2006-3-4 23:58
右侧卵巢区囊实性占位性病变,内见高密度及囊性脂肪密度。考虑:右侧卵巢恶性畸胎瘤。
作者: huangaiying1    时间: 2006-3-5 00:21
膀胱右前方类圆形软组织占位,边界光整,增强后明显强化,与口服造影剂密度相当,随后密度减低,强化均匀,考虑盆腔右侧血管源性占位。
作者: dywang    时间: 2006-3-5 00:37
支持右侧卵巢畸胎瘤恶变.
作者: ssl1_1    时间: 2006-3-5 02:35
右侧卵巢恶性畸胎瘤。
作者: 乡医    时间: 2006-3-5 03:47
支持楼上
作者: chinaboy_006    时间: 2006-3-5 05:16
支持3楼
作者: jiajie    时间: 2006-3-5 05:40
麦格综合症(卵巢纤维瘤并胸水)。
作者: jiangjing    时间: 2006-3-5 05:44
支持麦格综合症(卵巢纤维瘤并胸水)。生殖器官恶性肿瘤待排
作者: lizhaofeng    时间: 2006-3-5 06:57
支持右侧卵巢畸胎瘤恶变.
作者: JQKA910    时间: 2006-3-5 07:25
肠壁的脂肪瘤
作者: liuyongbinking    时间: 2006-3-5 07:31
右侧卵巢畸胎瘤,恶变?
作者: wangjing81750    时间: 2006-3-5 11:01
那高密度是病人喝的造影剂?楼主的意思是那团东西是肠管吗?
作者: zhuxinli    时间: 2006-3-5 17:41
那高密度是病人喝的造影剂?周围低密度ct值是多少
作者: 冰之魂    时间: 2006-3-5 18:02
考虑右侧卵巢恶性畸胎瘤。
作者: shibing    时间: 2015-6-3 10:12
右侧卵巢区囊实性占位性病变,内见高密度及囊性脂肪密度,实性部分强化明显,囊性部分未见强化,结合病史多考虑:右侧卵巢恶性畸胎瘤。





欢迎光临 医影在线 (http://bbs.radida.com/bbs/) Powered by Discuz! X3.2