



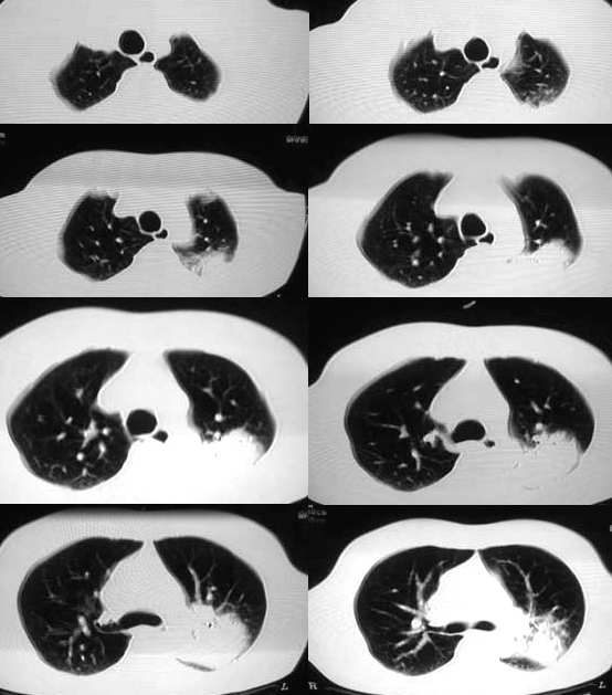
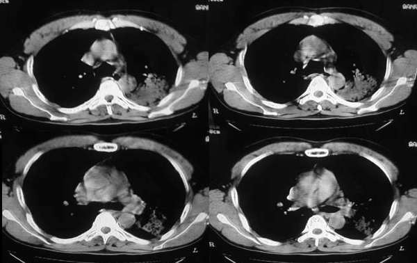
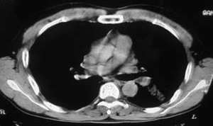
以下是引用ysxyy在2006-3-4 20:19:00的发言:[br]首先考虑炎症,tb暂不考虑;[br]理由:1、病变范围局限在左上肺尖后段,界限较清;[br]2、病史:青壮年34岁,以咳嗽、发热就诊,急性起病;[br]3、
以下是引用lkc8963在2006-3-4 21:27:00的发言:[br][quote]以下是引用ysxyy在2006-3-4 20:19:00的发言:[br]首先考虑炎症,tb暂不考虑;[br]理由:1、病变范围局限在左上肺尖后段,界限较清;[br]2、病史:青壮年34岁,以咳嗽、发热就诊,急性起病;[br]3、
| 欢迎光临 医影在线 (http://bbs.radida.com/bbs/) | Powered by Discuz! X3.2 |