医影在线

标题: CT2910:[原创]胸部 [打印本页]

作者: 医博云天    时间: 2006-3-5 03:41
标题: CT2910:[原创]胸部
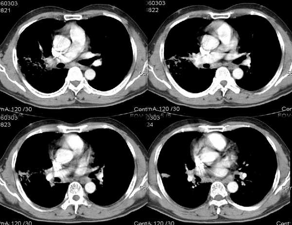
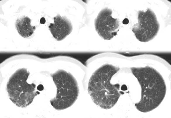
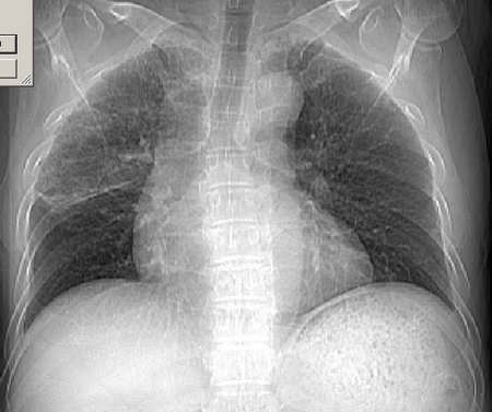
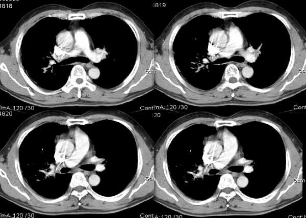
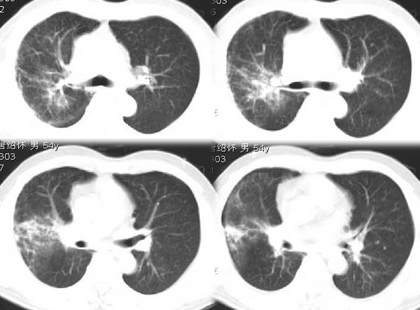
男54岁咳嗽咯痰2w,外院胸片示“右上大叶性肺炎抗炎治疗后部分吸收











[本贴已被 jiajie 于 2006-3-4 20:19:09 修改过]

作者: 乡医    时间: 2006-3-5 03:52
右肺上叶少量间质炎性表现,结合病史为大叶性肺炎未吸收完表现。
作者: ysxyy    时间: 2006-3-5 04:01
结合病史,右上肺病变考虑炎症,继续抗炎治疗后复查;
该病人54岁,胸膜下可见多个类圆形透亮影,是不是还要考虑慢性/弥漫性肺疾病可能?
再详细问问病史吧。
作者: 医博云天    时间: 2006-3-5 04:03
请斑竹帮我整理一下,谢谢!!!
作者: 医博云天    时间: 2006-3-5 04:29
谢谢斑竹!!
作者: qinwei260    时间: 2006-3-5 04:31
结合病史,右上肺病变考虑炎症改变!!继续抗炎治疗后复查!!
作者: chinaboy_006    时间: 2006-3-5 05:06
考虑炎症吸收期,继续抗炎后复查
作者: 摆哥    时间: 2006-3-5 05:31
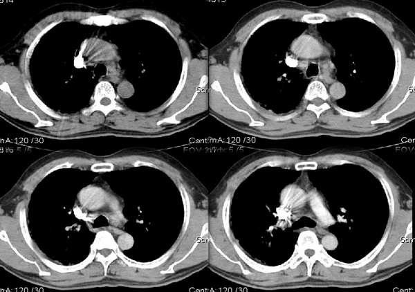
请问右中叶支气管开口旁不强化结节影是什么?
作者: ssl1_1    时间: 2006-3-5 05:38
考虑炎症吸收期,继续抗炎后复查
作者: kbzyycm    时间: 2006-3-5 05:55
右上肺病变考虑炎症
作者: huangaiying1    时间: 2006-3-5 06:02
支持炎症吸收期
作者: mzjctmr    时间: 2006-3-5 06:20
炎症吸收期,请继续抗炎治疗后复查或行纤维支气管镜活检。
作者: 国王    时间: 2006-3-5 06:32
考虑炎症吸收期
作者: caihe    时间: 2006-3-5 06:35
可以考虑外院诊断:右上肺大叶性肺炎吸收期改变。
作者: lizhaofeng    时间: 2006-3-5 06:50
继续抗炎后复查
作者: JQKA910    时间: 2006-3-5 07:37
右上叶支气管变窄.ca?
作者: wangjing81750    时间: 2006-3-5 10:48
考虑炎症,建议继续治疗后复查。
作者: 郭凯    时间: 2006-3-5 17:02
标题: 回复:ct2910:[原创]胸部
考虑炎症吸收期,继续抗炎后复查!!!
作者: 冰之魂    时间: 2006-3-5 17:21
右肺上叶少量间质炎性表现,大叶性肺炎吸收期。
作者: 云中燕    时间: 2006-3-5 17:45
结合病史,右上肺病变考虑炎症改变!!继续抗炎治疗后复查!!
作者: 没水的鱼    时间: 2006-3-6 01:07
考虑还是弥漫性间质性改变伴右肺炎症
作者: shibing    时间: 2015-6-3 10:12
右上肺病变考虑炎症




欢迎光临 医影在线 (http://bbs.radida.com/bbs/) Powered by Discuz! X3.2