医影在线
标题: CT2911:[求助]颅脑病变 [打印本页]
作者: 美丽天使 时间: 2006-3-5 03:43
标题: CT2911:[求助]颅脑病变
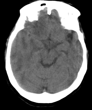
周*,女,78岁,阵发性意识障碍月余,查体四肢肌张力可,病理反射未引出。有脑哽塞病史








[本贴已被 jiajie 于 2006-3-4 20:03:49 修改过]
作者: 乡医 时间: 2006-3-5 03:56
胶质瘤,与分水岭性脑梗鉴别。你手上肯定有增强片或mri,请上传。
作者: gaoxiao 时间: 2006-3-5 04:03
应该考虑大面积脑梗塞,可能是进展型,建议磁共振检查。
作者: 医博云天 时间: 2006-3-5 04:11
考虑肿瘤性病变,建议增强活mri
作者: qinwei260 时间: 2006-3-5 04:26
右颞顶枕叶多发低密度影,同侧脑室受压变形,病变有明显占位效应.考虑脑肿瘤性病变,建议增强!!!
作者: ysxyy 时间: 2006-3-5 04:39
要明确诊断,建议增强;病人年龄较大,不能增强的话,就作mr;
如果就以此作诊断的话,请问病人有无偏瘫,脑梗死病史有多长,当时情况如何,治疗情况,现在血压情况,意识状况等。
诊断可考虑:
1、结合病史可首先考虑右侧大脑中动脉区脑梗死,脑水肿明显,占位轻的原因是由于脑萎缩代偿;
2、转移不能排除;
作者: chinaboy_006 时间: 2006-3-5 05:04
胶质瘤>大片脑梗塞,建议增强
作者: lkc8963 时间: 2006-3-5 05:18
病史:女,78岁,阵发性意识障碍月余,查体四肢肌张力可,病理反射未引出。可基本除外缺血性病变。
影像表现: 右侧额、颞、顶叶多发等、低密度区,部分呈结节灶,灶周有不同程度水肿,散在发生,占位效应较重,感觉不是一个整体性病灶,病灶形态呈不规则状明显不同于mca供血区梗死,病变累及基底节区白质。
诊断:右侧额、颞、顶叶肿瘤性病变,首先考虑转移瘤。建议胸片。需与胶质瘤、mca供血区梗死以及脱髓鞘改变区别。
作者: rjg199343 时间: 2006-3-5 05:24
支持8楼的意见
作者: 山野樵夫 时间: 2006-3-5 05:27
支持转移瘤的可能,建议mr
作者: ssl1_1 时间: 2006-3-5 05:37
应该考虑大面积脑梗塞,可能是进展型,建议磁共振检查或增强
作者: huangaiying1 时间: 2006-3-5 05:53
右侧颞,顶叶水肿呈指状,右额叶可见条形低密度带,右侧脑室明显受压,支持右侧脑实质多发转移瘤,建议增强,或拍胸部x片。
作者: kbzyycm 时间: 2006-3-5 05:54
支持转移瘤的可能,建议mr
作者: 顺其自然 时间: 2006-3-5 06:32
考虑
作者: 顺其自然 时间: 2006-3-5 06:34
考虑肿瘤病变
作者: lizhaofeng 时间: 2006-3-5 06:36
转移瘤的可能
作者: caihe 时间: 2006-3-5 06:39
最好作增强ct检查,就目前图像资料看,认为转移瘤可能性大。
作者: liuyongbinking 时间: 2006-3-5 07:24
占位病变,增强!
作者: JQKA910 时间: 2006-3-5 07:40
右颞顶枕叶多发低密度影,同侧脑室受压变形,病变有明显占位效应,建议增强.
作者: wangjing81750 时间: 2006-3-5 10:45
病灶周围脑实质受压明显,右侧脑室受压变形,脑沟明显变浅。支持脑内肿瘤的第一诊断,(不知病人曾经的脑梗塞是否诊断明确),其次考虑脑梗塞的诊断(看起来不大像)
作者: 郭凯 时间: 2006-3-5 16:51
标题: 回复:ct2911:[求助]颅脑病变
病史:女,78岁,阵发性意识障碍月余,查体四肢肌张力可,病理反射未引出。可基本除外缺血性病变。[br]影像表现: 右侧额、颞、顶叶多发等、低密度区,部分呈结节灶,灶周有不同程度水肿,散在发生,占位效应较重,感觉不是一个整体性病灶,病灶形态呈不规则状明显不同于mca供血区梗死,病变累及基底节区白质。[br]诊断:右侧额、颞、顶叶肿瘤性病变,首先考虑转移瘤。建议胸片。需与胶质瘤、mca供血区梗死以及脱髓鞘改变区别。
[emb6]
[本贴已被 郭凯 于 2006-3-5 8:52:23 修改过]
[本贴已被 郭凯 于 2006-3-5 8:53:04 修改过]
作者: 没水的鱼 时间: 2006-3-5 17:04
标题: 回复:ct2911:[求助]颅脑病变
我看还是向颅内转移瘤可能性比较大,但是梗塞也不除外.建议增强检查.
作者: 云中燕 时间: 2006-3-5 17:40
右侧额叶大片状水肿,呈指状改变,周围脑沟脑裂消失,右侧脑室受压缩小,提示占位效应明显,平扫未见明显瘤体,单纯从ct片上看可考虑肿瘤,转移瘤或胶质瘤,建议mri检查,以明确诊断.
作者: 冰之魂 时间: 2006-3-5 17:48
首先考虑转移瘤。建议近一步检查。
作者: xiaoniu 时间: 2006-3-5 19:20
右侧额、颞、顶叶肿瘤性病变,首先考虑转移瘤。
作者: kjgj 时间: 2006-3-5 21:21
标题: 回复:ct2911:[求助]颅脑病变
以下是引用lkc8963在2006-3-4 21:18:00的发言:[br]病史:女,78岁,阵发性意识障碍月余,查体四肢肌张力可,病理反射未引出。可基本除外缺血性病变。[br]影像表现: 右侧额、颞、顶叶多发等、低密度区,部分呈结节灶,灶周有不同程度水肿,散在发生,占位效应较重,感觉不是一个整体性病灶,病灶形态呈不规则状明显不同于mca供血区梗死,病变累及基底节区白质。[br]诊断:右侧额、颞、顶叶肿瘤性病变,首先考虑转移瘤。建议胸片。需与胶质瘤、mca供血区梗死以及脱髓鞘改变区别。
同意此诊断!!
作者: maqingya 时间: 2006-3-5 21:47
转移瘤可能性大.
作者: 杨军 时间: 2006-3-5 22:33
右侧额、颞、顶叶多发不同程度低密度水肿区,可见占位效应
首先考虑右侧额、颞、顶叶肿瘤性病变,转移瘤可能性大。(部分病灶可能是梗塞性改变)
建议与以前诊断脑梗塞片比较。
明确诊断最好强化扫描
作者: duguo 时间: 2006-3-5 22:53
增强。
作者: xiaoxuesheng 时间: 2006-3-6 01:28
右侧占位明显,需增强扫描。
作者: 九头鸟 时间: 2006-3-12 22:01
支持8楼的意见
作者: shibing 时间: 2015-6-3 10:11
建议mr
| 欢迎光临 医影在线 (http://bbs.radida.com/bbs/) |
Powered by Discuz! X3.2 |