







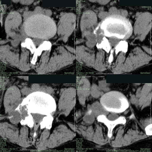
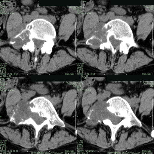
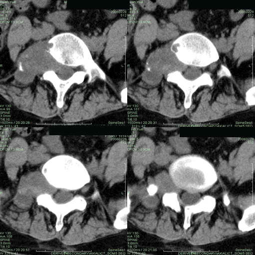
以下是引用hezhonghu在2006-3-5 21:45:00的发言:[br]考虑神经来源或者是转移瘤![br]
以下是引用听蝉观竹在2006-3-5 23:09:00的发言:[br]这个病例不考虑神经源性肿瘤,首先考虑转移瘤,因为它不是受压造成骨质吸收,而是从骨骼的松质部分由中心向外破坏的,不仅仅是横突,而且同侧椎弓根也破坏了。[br]神经源性肿瘤-----受压造成骨质吸收。[br]转移性肿瘤------从骨骼的松质部分由中心向外溶骨破坏,多见椎弓根也破坏。
以下是引用徐大夫在2006-3-5 20:32:00的发言:[br]骨缺损区边缘有硬化,结合部位,考虑神经源性良性肿瘤。
| 欢迎光临 医影在线 (http://bbs.radida.com/bbs/) | Powered by Discuz! X3.2 |