










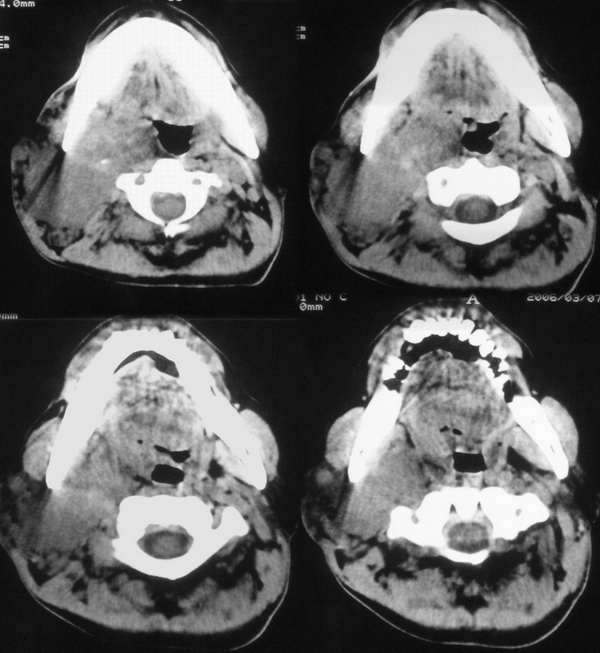
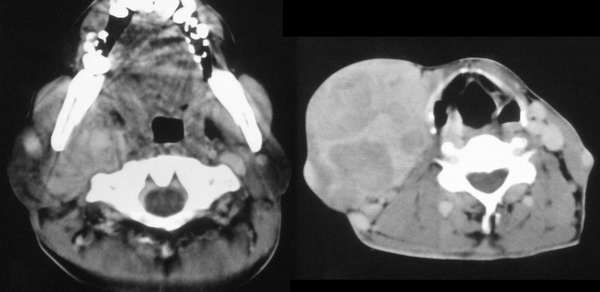
以下是引用usa911go在2006-3-12 20:02:00的发言:[br]右侧颈部占位性病变,强化明显,血管有包饶,无钙化,其内有坏死灶。考虑淋巴瘤
以下是引用wawaquan在2006-3-12 20:00:00的发言:[br]右颈部低密度包块,范围较大,内侧达咽侧壁,外侧达皮下,包绕颈部大血管;增强后明显不均匀强化。[br]男,42岁,颈部无痛性包块20年余,渐进性增大,近期疼痛。[br]考虑:淋巴血管瘤可能大。
以下是引用逸风在2006-3-12 21:02:00的发言:[br]肿瘤!可能来源于腮腺!
以下是引用hzw19711230在2006-3-12 21:52:00的发言:[br]颈部神经源性肿瘤
以下是引用逸风在2006-3-12 21:02:00的发言:[br]肿瘤!可能来源于腮腺!
| 欢迎光临 医影在线 (http://bbs.radida.com/bbs/) | Powered by Discuz! X3.2 |