医影在线

标题: CT2973:[原创胸部平扫,请分析!谢谢!! [打印本页]

作者: guzhongliangddd    时间: 2006-3-13 04:25
标题: CT2973:[原创胸部平扫,请分析!谢谢!!
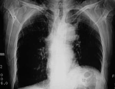
女,80岁。因咳嗽,声音嘶哑1月
















[本贴已被 jiajie 于 2006-3-12 21:52:58 修改过]

作者: maqingya    时间: 2006-3-13 04:58
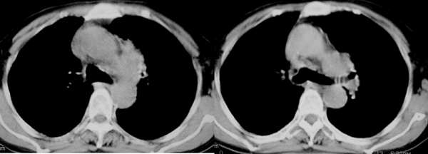
不好判断,要是有增强就好了.象是循环系统的.动脉瘤!
作者: guzhongliangddd    时间: 2006-3-13 05:18
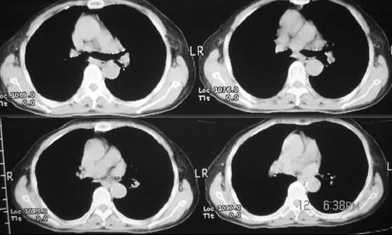
不是我想做强化,我对体部病灶一直是强调要强化的,可皮试第5分钟患者有头痛,加上高龄,为了减少医疗纠纷就只好不做。望战友理解。此病灶我觉得首先要明确是来1,自于肺内还是纵隔内?2,在扫描层内见右肝与隔之间内见囊壮均匀水样低密度区,于肝关系密切,首先考虑是肝囊肿{由于没有强化故不好说,只有建议患者行进一步检查!}
作者: guzhongliangddd    时间: 2006-3-13 05:23
标题: 回复:[原创胸部平扫,请分析!谢谢!!

作者: woaixct    时间: 2006-3-13 05:46
纵隔内的软组织密度,考虑为肿大的淋巴结融合:
1.何杰金氏病;
2.胸腺瘤不排除;
肝内巨大低密度占位,因无增强,就平扫考虑:1.肝血管瘤;2.肝囊肿;肝转移瘤;
作者: ysxyy    时间: 2006-3-13 05:49
好像是肺内的,贴近纵隔。
肝囊肿可能性大。
作者: drzhang8888    时间: 2006-3-13 06:12
好像是肺内的,贴近纵隔。
肝囊肿可能性大。
作者: wxy7406    时间: 2006-3-13 06:55
郁闷!病灶和主动脉弓是宽基底相连,但主动脉弓壁是清晰可见;肺窗示病灶边缘见不规则毛刺样改变;肝左叶见巨大囊性病灶。我考虑胸部病灶是纵隔型肺癌,肝内病灶不好说是啥。
作者: zhuxinli    时间: 2006-3-13 07:17
假型动脉瘤 1 其和动脉开口小时主动脉弓壁是清晰可见 2此病人上叶前段有病变所以病灶边缘见不规则毛刺样
作者: rh5628736    时间: 2006-3-13 15:51
标题: 回复:ct2973:[原创胸部平扫,请分析!谢谢!!
以下是引用wxy7406在2006-3-12 22:55:00的发言:[br]郁闷!病灶和主动脉弓是宽基底相连,但主动脉弓壁是清晰可见;肺窗示病灶边缘见不规则毛刺样改变;肝左叶见巨大囊性病灶。我考虑胸部病灶是纵隔型肺癌,肝内病灶不好说是啥。

作者: 曾医生    时间: 2006-3-13 16:51
1、左上纵隔旁型肺癌;
2、左侧横膈抬高,结合临床有声音嘶哑,考虑侵犯纵隔可能;
3、两肺间质纤维化;
4、右肺中叶炎症;
5、肝ⅷ段巨大囊肿。
作者: 龙在野    时间: 2006-3-13 17:14
支持8楼
作者: liujf    时间: 2006-3-13 17:53
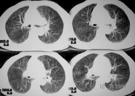
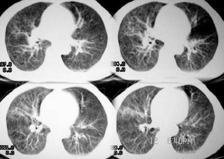
影象表现:左上肺纵隔旁可见一形态略不规整的软组织肿块(上自主动脉旁,下至左肺动脉上层面);
         密度较均匀;最大层面与主动脉弓呈宽基底,但与其可见一线状低密度影分割,下方与尖后段
         支气管内侧壁和左上肺静脉分界不清(尖后段支气管未见明显狭窄)双肺血管纹理明显增多
         以右侧明显并可见胸膜下线 不规则线状影和中叶的斑片状影;左膈明显升高。
临床表现:老年女,80岁。以咳嗽,声音嘶哑1月为主诉。
影象诊断:考虑纵隔型肺癌伴纵隔淋巴结转移.肺内炎变待除外.肺内转移建议hrct
作者: 老林    时间: 2006-3-13 17:55
为啥没增强
作者: duguo    时间: 2006-3-13 18:12
mri检查,效果不错。
作者: yemin92007    时间: 2006-3-13 18:15
病灶和主动脉弓是宽基底相连,但与主动脉弓壁之间的脂肪间隙清晰可见;肺窗示病灶边缘有不规则毛刺样;左肺叶段肺气肿;左侧横膈升高。右肺中叶炎变;结合病史考虑纵隔型肺癌可能性大。其他的难说!
作者: fangzheng    时间: 2006-3-13 20:10
左上肺纵隔旁可见一形态略不规整的软组织肿块,与主动脉弓壁之间的脂肪间隙清晰,肺窗示病灶边缘有不规则毛刺样改变,右肺中叶炎症。综合病史考虑纵隔型肺癌。
部分见肝内大圆形低密度灶影,包膜完整,考虑肝囊肿。
作者: huangaiying1    时间: 2006-3-13 23:42
纵隔旁软组织密度影,考虑为增大的淋巴结,肝巨大囊肿
作者: guzhongliangddd    时间: 2006-3-14 05:18
因为患者不宜强化,故行b超,报告为肝囊肿。18楼战友说得也有道理,但我想按淋巴引流的途径看{因为肺内炎性病灶主要在右恻}有点不符号,反过来推:如果把它作为淋巴结应该是多个增大淋巴结的融合,但其密度较均匀,未见坏死。{仅供讨论!}谢谢各位战友的!参与!!!
作者: shibing    时间: 2015-6-3 11:04
纵隔内的软组织密度,考虑为肿大的淋巴结融合:
1.何杰金氏病;
2.胸腺瘤不排除;
肝内巨大低密度占位,因无增强,就平扫考虑:1.肝血管瘤;2.肝囊肿;肝转移瘤;




欢迎光临 医影在线 (http://bbs.radida.com/bbs/) Powered by Discuz! X3.2