医影在线

标题: CT3007:坐骨下骨性影求助诊断 [打印本页]

作者: lwx67    时间: 2006-3-16 04:10
标题: CT3007:坐骨下骨性影求助诊断
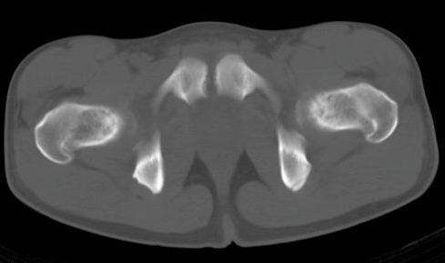
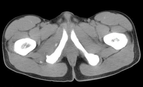
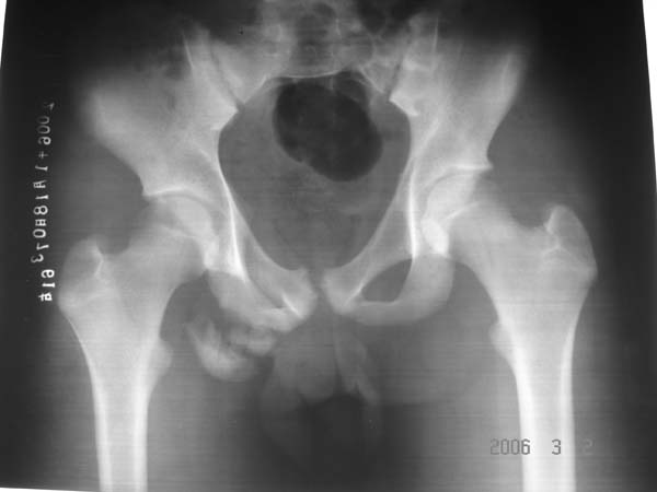
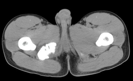
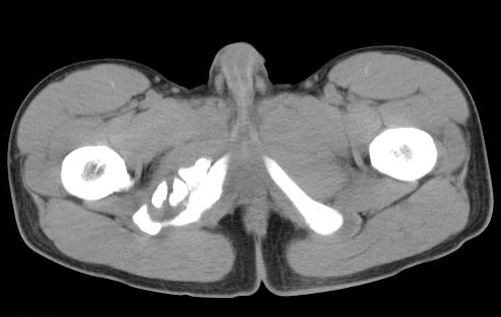
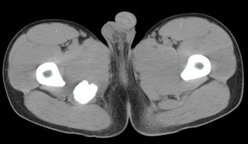
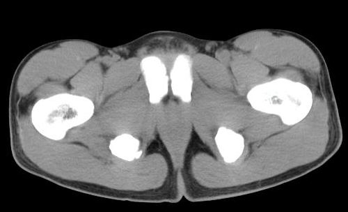
男性,15岁,半年前曾有做运动摔伤史,伤后左肢麻木,一天后恢复,两个月后因右臀部隐痛照片示右坐骨下骨性密度影,现复查见骨性影无明显改变。求助诊断!

















[本贴已被 jiajie 于 2006-3-15 21:13:41 修改过]

作者: 扬仪    时间: 2006-3-16 04:26
标题: 回复:坐骨下骨性影求助诊断

作者: maqingya    时间: 2006-3-16 04:26
坐骨撕脱骨折.
作者: X线    时间: 2006-3-16 04:53
骨折后的碎骨片。
作者: kbzyycm    时间: 2006-3-16 05:20
坐骨撕脱性骨折
作者: 光线    时间: 2006-3-16 05:37
同意坐骨骨折
作者: 中山医    时间: 2006-3-16 05:41
明显坐骨骨折。
作者: 3288161    时间: 2006-3-16 06:05
坐骨结节骨折
作者: 同    时间: 2006-3-16 06:07
坐骨骨折
作者: qinwei260    时间: 2006-3-16 06:14
标题: 回复:ct3007:坐骨下骨性影求助诊断
以下是引用kbzyycm在2006-3-15 21:20:00的发言:[br]坐骨撕脱性骨折

作者: 拾荒者    时间: 2006-3-16 06:14
坐骨粗大,有瘤骨,基地部有囊状骨缺损。不应为外伤史迷惑,应考虑外生软骨瘤病或骨膜硬纤维瘤。请勿见笑。
作者: jiangjing    时间: 2006-3-16 07:50
坐骨撕脱性骨折伴骨化性肌炎
作者: 云中燕    时间: 2006-3-16 16:34
坐骨撕脱性骨折
作者: huangaiying1    时间: 2006-3-16 17:23
如果是撕脱骨折,应该有疼痛,而病史是伤后左肢麻木,一天后恢复,两个月后因右臀部隐痛才就诊,病变在肌肉区,故考虑骨化性肌炎
作者: yemin92007    时间: 2006-3-16 18:07
支持坐骨撕脱性骨折合并血肿机化、骨化。
作者: usa911go    时间: 2006-3-16 18:27
坐骨骨折,血肿机化
作者: zhouhansong    时间: 2006-3-16 19:02
坐骨骨折和骨化性肌炎
作者: 张海螺    时间: 2006-3-16 19:11
坐骨撕脱性骨折伴骨化性肌炎。
作者: drzhang8888    时间: 2006-3-16 21:46
病理性骨折。骨化性肌炎。骨囊肿?
作者: gzx521th    时间: 2006-3-16 23:25
坐骨骨折
作者: ssl1_1    时间: 2006-3-17 02:54
坐骨撕脱性骨折
作者: soniclou    时间: 2006-3-17 03:02
同意广大同行的诊断
作者: 绿水青山    时间: 2006-3-17 04:02
右骨折伴骨化性肌炎
作者: fengchanglin    时间: 2006-3-17 04:06
坐骨陈旧性撕脱性粉碎性骨折伴骨痂形成.
作者: 我爱影像    时间: 2006-3-17 04:09
如果是撕脱骨折,症状不支持。两个月后因右臀部隐痛才就诊,病变在肌肉区,故考虑骨化性肌炎
作者: 就是我    时间: 2006-3-17 04:10
坐骨骨折!骨盆有畸形!
作者: hzw19711230    时间: 2006-3-17 04:36
坐骨撕脱性骨折
作者: wxy7406    时间: 2006-3-17 04:38
应该没有骨折,骨化性肌炎.
作者: caihe    时间: 2006-3-17 05:01
支持2楼分析。
作者: 流星1234    时间: 2006-3-17 05:20
坐骨撕裂性骨折
作者: lnjz4545wq    时间: 2006-3-17 06:57
坐骨外压性改变,考虑良性肿瘤
作者: zsh0009    时间: 2006-3-17 07:04
支持2楼.
作者: wawaquan    时间: 2006-3-17 07:19
坐骨撕脱性骨折伴骨化性肌炎。
作者: skystar    时间: 2006-3-17 07:39
标题: 回复:ct3007:坐骨下骨性影求助诊断
以下是引用wawaquan在2006-3-16 23:19:00的发言:[br]坐骨撕脱性骨折伴骨化性肌炎。

作者: 郭凯    时间: 2006-3-17 19:15
坐骨骨折,血肿机化。
作者: zhuxinli    时间: 2006-3-17 20:03
坐骨撕脱性骨折伴骨化性肌炎
作者: shibing    时间: 2015-6-3 11:15
坐骨撕脱性骨折





欢迎光临 医影在线 (http://bbs.radida.com/bbs/) Powered by Discuz! X3.2