


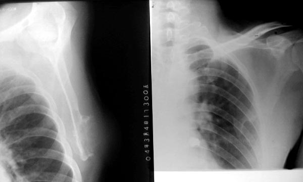
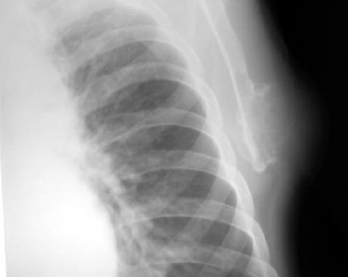
以下是引用lkc8963在2006-3-20 0:01:00的发言:[br]骨软骨瘤基本可定,至于有没有恶性变,本例依据不足,似见软块但皮下脂肪尚清,不知临床表现倒底有没有肿块还是突起?建议ct或穿刺检查。
以下是引用lkc8963在2006-3-20 0:01:00的发言:[br]骨软骨瘤基本可定,至于有没有恶性变,本例依据不足,似见软块但皮下脂肪尚清,不知临床表现倒底有没有肿块还是突起?建议ct或穿刺检查。
| 欢迎光临 医影在线 (http://bbs.radida.com/bbs/) | Powered by Discuz! X3.2 |