



































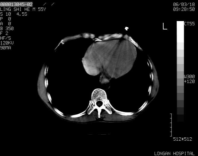
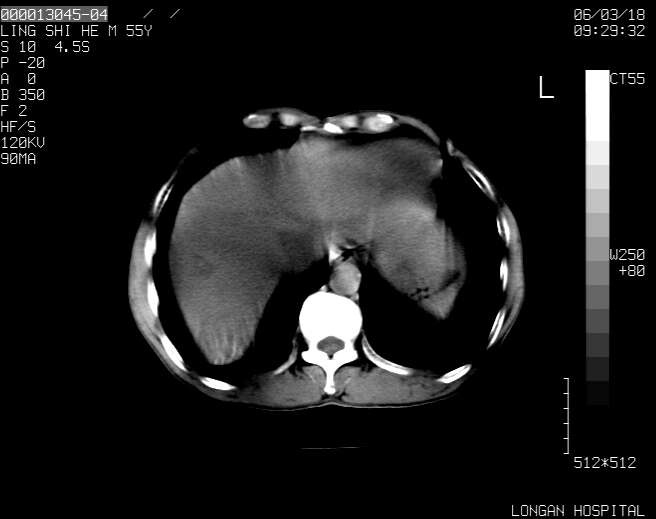
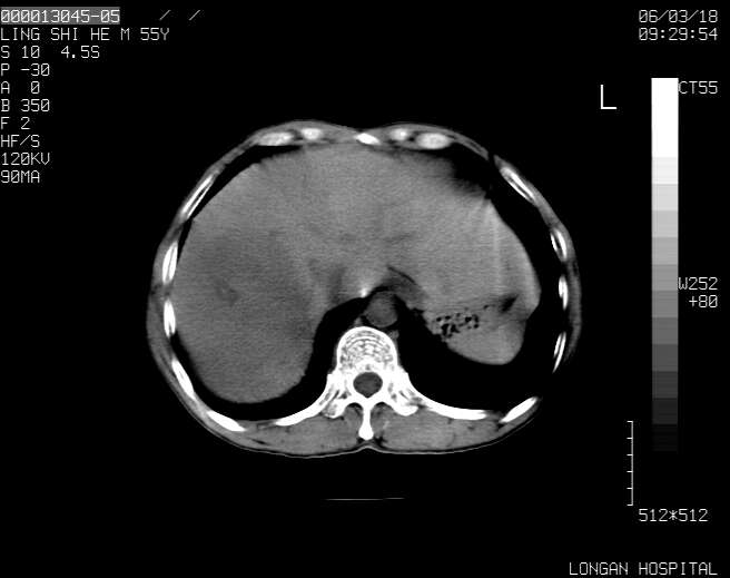
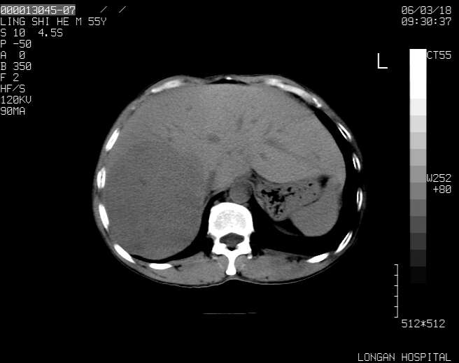
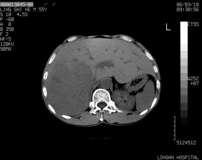
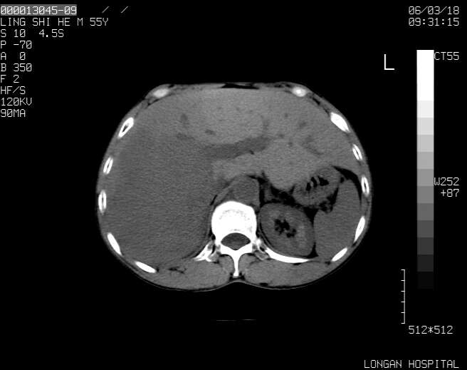
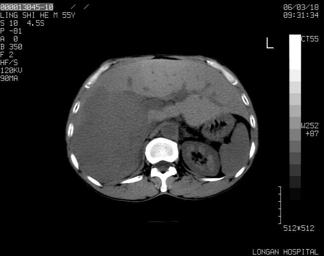
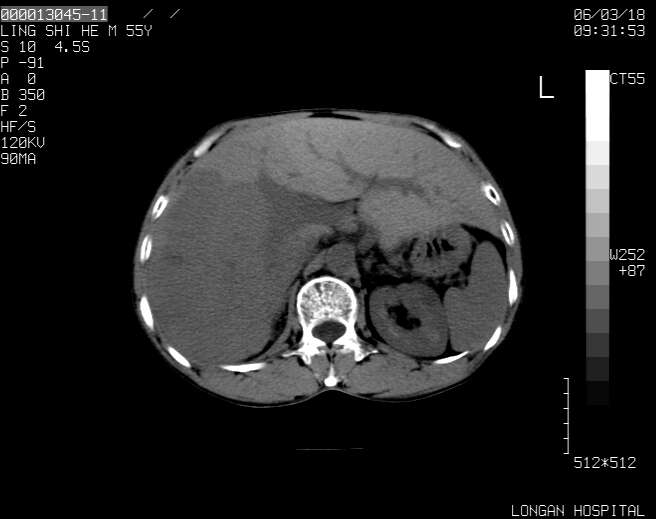
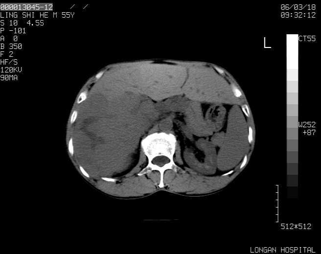
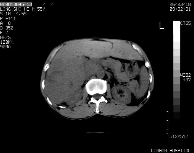
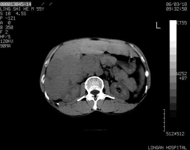
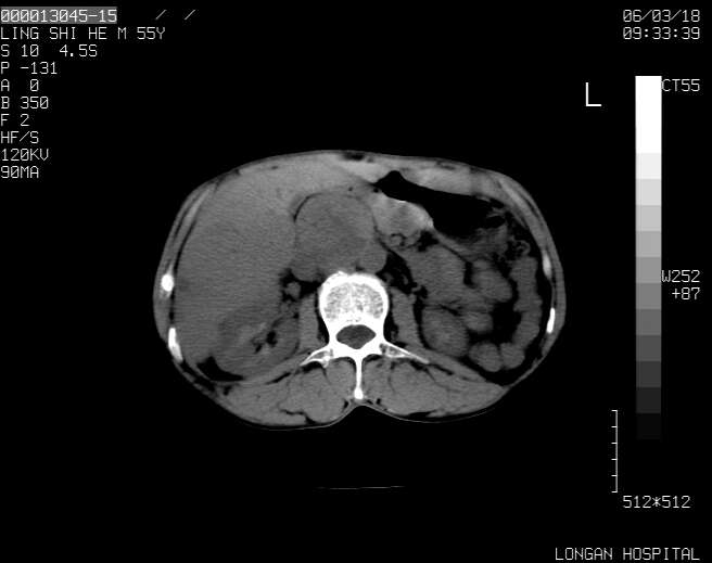
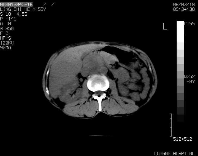
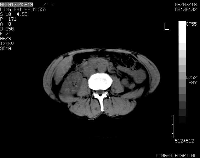
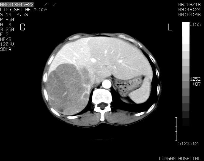
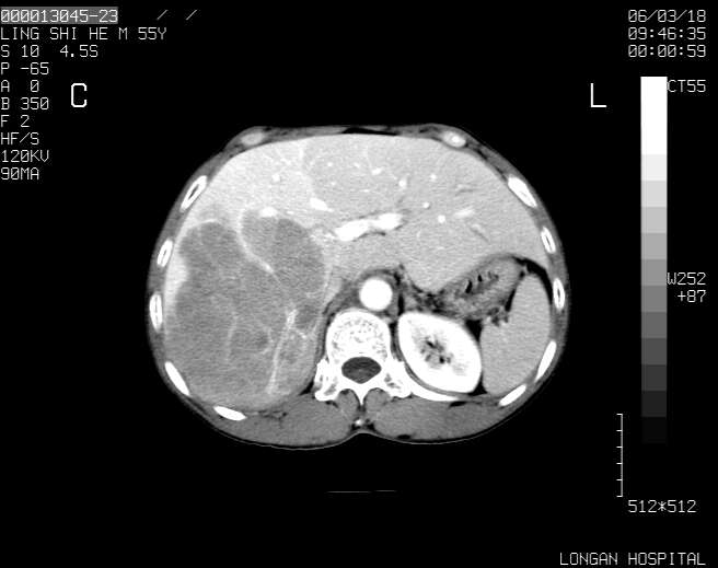
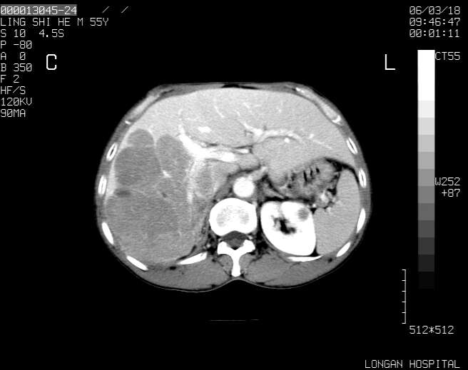
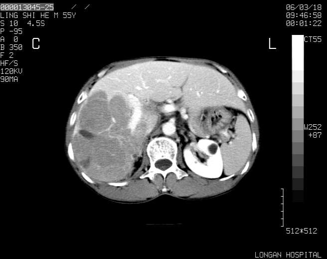
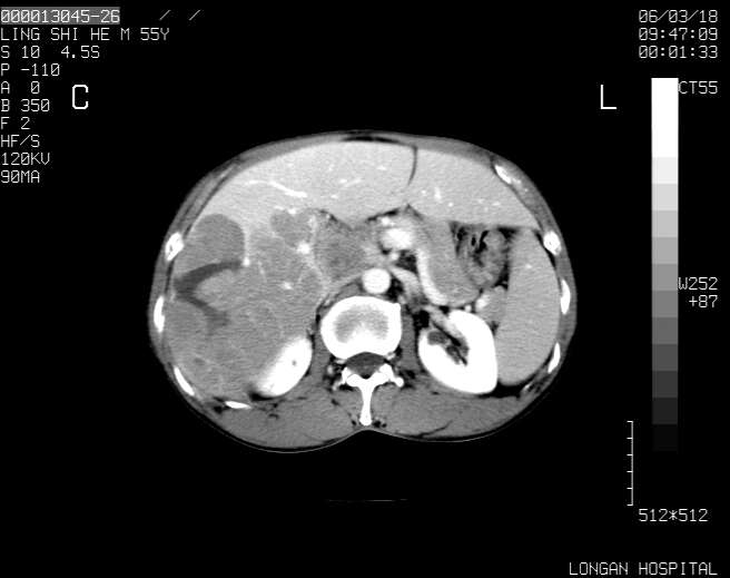
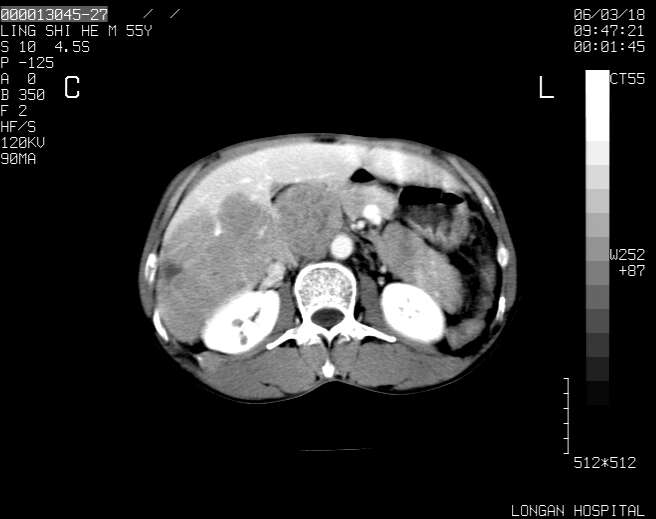
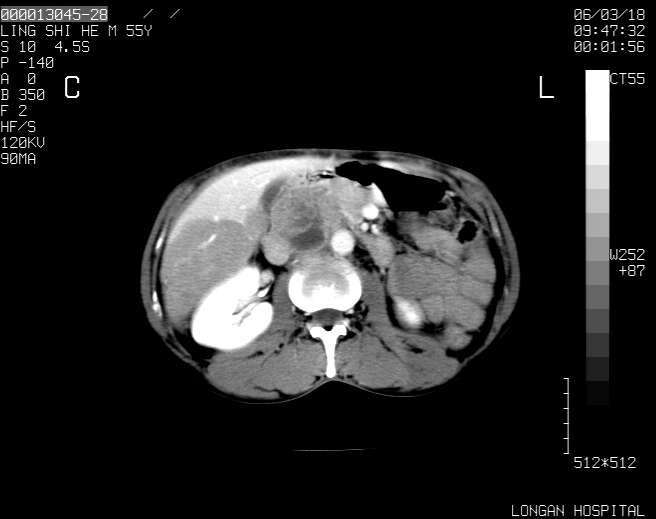
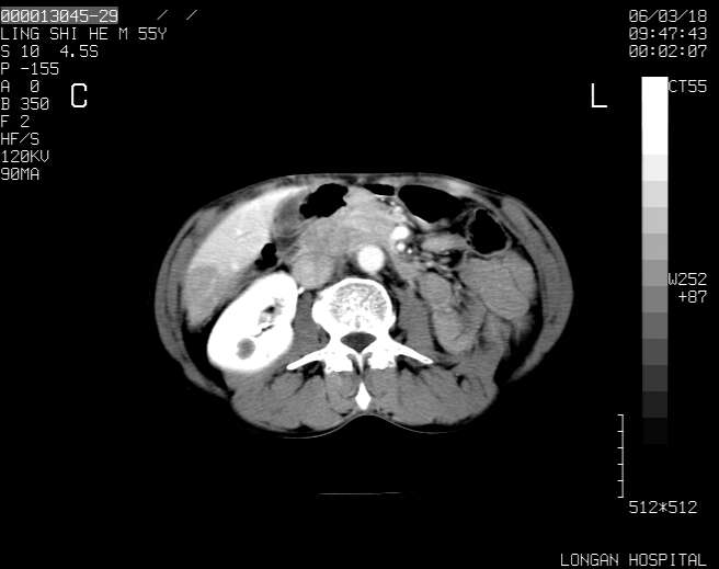
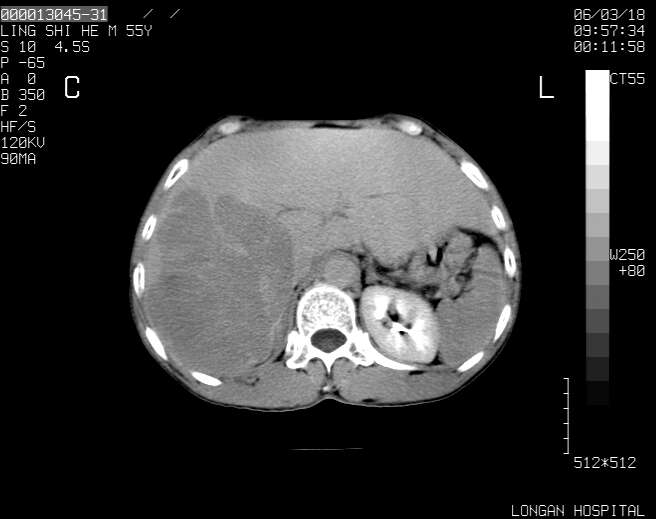
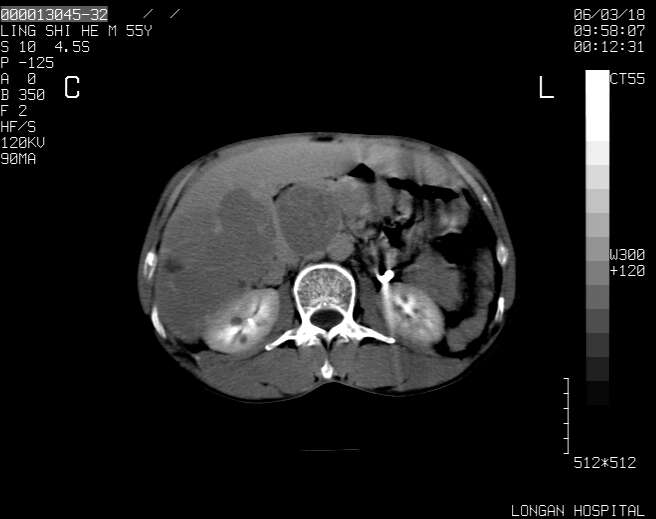
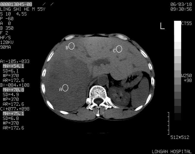
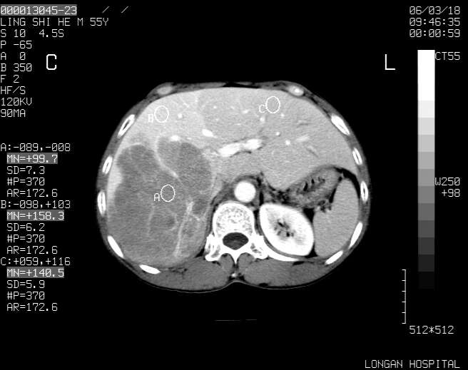
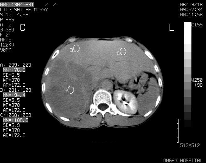
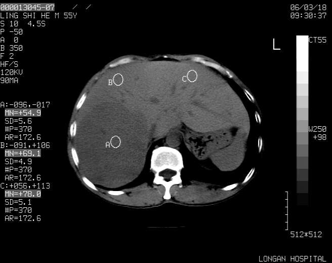
以下是引用guzhongliangddd在2006-3-21 22:13:00的发言:[br]病灶主要位于肝右叶的后份,内见异常血管,门脉主干及右支受侵{提示有癌栓形成},门腔间隙内见增大淋巴结。肝左叶内未见异常。
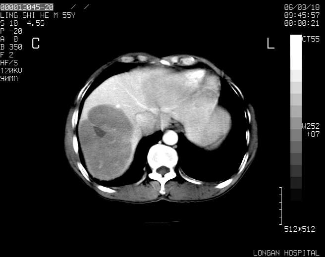
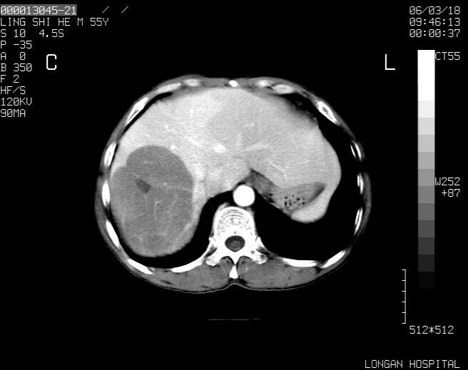
以下是引用zhuxinli在2006-3-22 1:23:00的发言:[br][br] 病灶主要位于肝右叶的后份,内见异常血管 .门脉右支截断,右叶前段早期强化(考虑动静脉漏),腹膜后肿大淋巴结,病灶逐渐强化,考虑为胆管细胞癌[br]
| 欢迎光临 医影在线 (http://bbs.radida.com/bbs/) | Powered by Discuz! X3.2 |