医影在线
标题: CT3062:右肾病变 [打印本页]
作者: kjgj 时间: 2006-3-22 21:59
标题: CT3062:右肾病变
患者,女,70岁,外院查体发现肾占位,无症状.化验(-)。
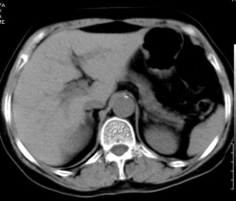
以下是平扫:








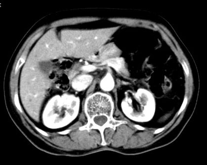
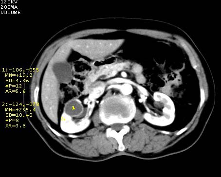
以下是增强:










这例肾病变诊断并不难,我想说的是有时增强很有必要。
我又让查b超:钙乳性肾囊肿。
[本贴已被 kjgj 于 2006-3-22 14:12:53 修改过]
[本贴已被 jiajie 于 2006-3-22 17:20:53 修改过]
作者: zhuxinli 时间: 2006-3-23 00:56
左肾实质向肾盂内突出结节,无强化 ,患者,女,70岁,外院查体发现肾占位,无症状.化验(-)。也考虑囊肿
作者: 迎客松 时间: 2006-3-23 00:59
怎么没有动脉期的图像,平扫密度较高,静脉期环形强化,壁光整,高密度囊肿?肾癌?
作者: 乡医 时间: 2006-3-23 03:49
增强壁强化,考虑为囊肿。内部密度较高可能与含有较多的蛋白或钙质有关。“我又让查b超:钙乳性肾囊肿。”钙乳性肾囊肿是含有钙质?
作者: 不解 时间: 2006-3-23 03:50
平扫:略高密度影,与肾脏分界欠清晰。增强:形态规则,边缘光滑,囊内密度均匀,边缘强化,内部不强化。
考虑:高密度肾囊肿。
鉴别诊断:囊性肾癌。
作者: caihe 时间: 2006-3-23 04:00
认为肾囊肿。
作者: 拾荒者 时间: 2006-3-23 04:20
囊性肾癌伴下腔静脉癌栓形成。(强化后见主动脉明显强化,下腔静脉左后缘显影,管腔内见低密度癌栓形成。)
作者: tsxhfsk 时间: 2006-3-23 04:23
平扫:略高密度影,与肾脏分界欠清晰。增强:形态规则,边缘光滑,囊内密度均匀,边缘强化,内部不强化。
考虑:高密度肾囊肿。
作者: 师医生 时间: 2006-3-23 04:44
还是支持脓肿诊断
作者: 张耀森 时间: 2006-3-23 04:48
右肾囊性肿块影,不稍厚有强化,囊内低密度与胆囊相对比稍高。考虑囊肿并感染,或者脓肿。
作者: maqingya 时间: 2006-3-23 04:50
挺好的病历
作者: hongsheng 时间: 2006-3-23 04:51
支持肾囊肿,
作者: 同 时间: 2006-3-23 05:31
应该考虑肾囊肿
作者: drzhang8888 时间: 2006-3-23 05:35
支持肾囊肿但下腔静脉左后缘显影,管腔内见低密度想不通请高手指点。。。。
作者: 成功成仁 时间: 2006-3-23 06:16
考虑囊肿。为什么没有皮质期图象
作者: ck3215123 时间: 2006-3-23 06:35
肾囊肿
作者: ssl1_1 时间: 2006-3-23 07:11
囊肿
作者: 容积效应 时间: 2006-3-23 07:11
肾脏增强最好三期.
作者: huangaiying1 时间: 2006-3-24 02:13
复杂性肾囊肿
作者: shibing 时间: 2015-6-3 11:53
支持脓肿诊断
| 欢迎光临 医影在线 (http://bbs.radida.com/bbs/) |
Powered by Discuz! X3.2 |