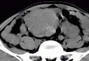
001336880 (45.67 KB, 下载次数: 113)
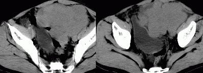
001336881 (41.85 KB, 下载次数: 122)
001336882 (42.76 KB, 下载次数: 125)
001336883 (36.98 KB, 下载次数: 119)


以下是引用moonlake000在2006-3-24 12:48:00的发言:[br]呵呵!继续!还没有中标的!
| 欢迎光临 医影在线 (http://bbs.radida.com/bbs/) | Powered by Discuz! X3.2 |