

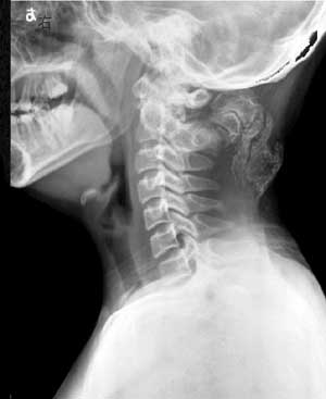
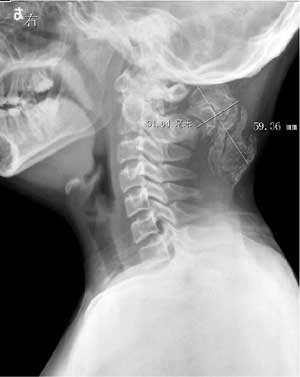
以下是引用向医生在2004-6-27 8:13:44的发言:[br]颈后部巨大肿块,内有多量钙化及骨化影,肿块与枢椎棘突似有薄蒂相连.[br]意见:颈后部肿块考虑以枢椎外生软骨瘤可能性大,其次考虑骨外软骨瘤.
以下是引用常山真人在2004-6-27 14:14:19的发言:[br]进行性骨化性肌炎[br]1一般在婴幼儿时期发病,多侵犯颈,背上部.[br]2病人多伴拇指先天畸形.3......[br]以上2者临床资料比较支持.
以下是引用曼一拍在2004-6-30 23:46:56的发言:[br]抄书:进行性骨化性肌炎也叫进行性骨化性纤维发育不良。是一种少见的遗传性发育不良(多为常染色体显性遗传),先天性骨异常合并严重进行性的软组织骨化。病因不明,无有效治疗方法。[br]临床可有:耳聋.脱发.智力迟钝.骨骼畸形和关节活动受限。[br]x线表现:1. 软组织骨化:出生一月可有,骨化多自项韧带或胸锁乳突肌开始。进行性,直至20-30岁全身大部分结缔组织和肌肉都发生骨化,脊柱和大关节僵直。2.骨骼异常:主要在手和足的拇,以拇趾短为主,且有先性拇外翻。3.关节改变:长骨干骺异常,关节半脱位等。[br] 故,我支持向医生。
| 欢迎光临 医影在线 (http://bbs.radida.com/bbs/) | Powered by Discuz! X3.2 |