医影在线

标题: MRI0353:[原创]头颅占位。 [打印本页]

作者: sf_cgz    时间: 2006-3-28 00:36
标题: MRI0353:[原创]头颅占位。
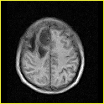
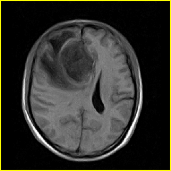
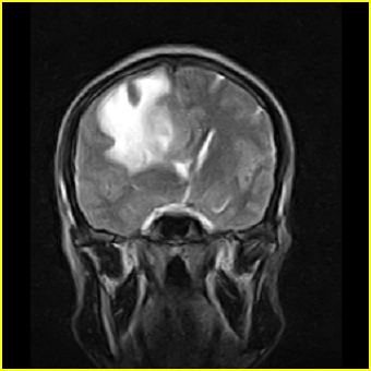
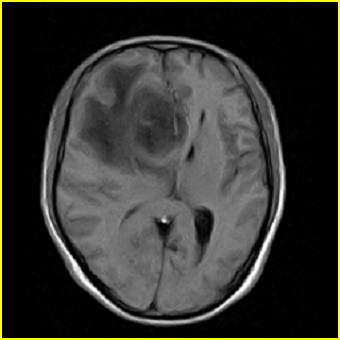
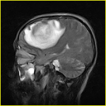
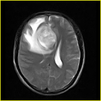
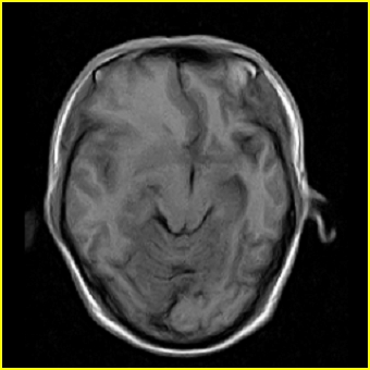
男,45岁,头部剧烈疼痛伴呕吐5天。





































[本贴已被 jiajie 于 2006-3-27 17:27:13 修改过]

作者: 医生吴511    时间: 2006-3-28 02:44
怎么不做强化呢???
作者: cyr1818    时间: 2006-3-28 02:59
胶质瘤
作者: qian    时间: 2006-3-28 04:57
水肿、占位很明显,其内密度不均匀,胶质瘤可能大。
作者: wawaquan    时间: 2006-3-28 05:12
脑膜瘤伴水肿。
作者: piao001    时间: 2006-3-28 05:14
首先考虑脑膜瘤,建议增强。
作者: jiangjing    时间: 2006-3-28 06:08
右侧额叶见较大的类圆形长t1信号环绕等t1环影,长t2信号环绕短等t2环,周围见明显水肿占位征,中线结构左移,男,45岁,头部剧烈疼痛伴呕吐5天。
考虑1脑脓肿。2脑胶质瘤或转移瘤。3脑膜瘤。请结临床及增强检查
作者: 小风    时间: 2006-3-28 06:41
支持7楼
作者: 激情MRI    时间: 2006-3-28 09:32
首先考虑出血(急性期)应做增强进一步检查
作者: gzx521th    时间: 2006-3-28 17:20
1,考虑胶质瘤2,脑膜瘤伴水肿
作者: sf_cgz    时间: 2006-3-29 01:05
因为病人经济困难,拒绝做增强
我们建议临床随访,有结果马上告诉大家!
作者: 影象王    时间: 2006-3-30 00:48
这样的病例必须要做增强检查。
作者: TEA    时间: 2006-3-30 01:13
考虑脑膜瘤。
作者: ¤精灵¤    时间: 2006-3-31 01:32
1、胶质瘤2、恶性脑膜瘤3、不排除转移瘤可能    建议增强进一步检查
作者: rainfogs666    时间: 2006-3-31 19:27
考虑1、廉旁脑膜瘤,2、胶质瘤
作者: qian    时间: 2006-4-1 15:11
病灶紧贴大脑镰,周围见有大片水肿,考虑:1.脑膜瘤伴水肿,2.胶质瘤。
作者: dingn    时间: 2006-4-2 00:18
支持7楼:考虑1脑脓肿。2脑胶质瘤或转移瘤。3脑膜瘤。请结临床及增强检查
作者: zhaochen    时间: 2006-4-2 00:37
右侧额叶,见一占位病灶,t1像病灶、水肿长t1;其间为短t1环行信号。t2像病灶、水肿长t2,其间为短t2环行信号。占位效应明显,中线左移,右测脑室受压闭塞。结合患者发病较急。首先考虑:右侧额叶脑脓肿形成。鉴别:1、转移瘤,多发多见2、胶质瘤。建议增强
作者: lf    时间: 2006-4-3 04:31
1、脑脓肿可能大 2、右上颌窦炎 3、建议增强
作者: 2213227    时间: 2006-4-3 06:43
首先考虑脑膜瘤,建议增强
作者: wangkexing    时间: 2006-4-4 03:17
请增强1.胶质瘤2.转移瘤3.脑膜瘤
作者: gmx    时间: 2006-4-4 04:14
考虑脑膜瘤
作者: 初学者    时间: 2006-4-4 10:08
个人认为转移瘤,右鼻窦占位性改变.
作者: gaoqiang1971092    时间: 2006-4-4 18:18
胶质瘤
作者: 憨哥    时间: 2006-4-9 03:47
t1加权肿瘤呈低信号,肿瘤壁呈等信号.t2 加权时肿瘤呈高信号,肿瘤壁呈等信号.
考虑1脑脓肿.2恶性胶质瘤.
作者: 陈医生1    时间: 2006-4-10 02:58
考虑转移瘤
作者: zyx168    时间: 2008-7-11 16:15
考虑脑膜瘤。
作者: dangjiancai    时间: 2015-2-13 16:17
,考虑胶质瘤2,脑膜瘤伴水肿




欢迎光临 医影在线 (http://bbs.radida.com/bbs/) Powered by Discuz! X3.2