医影在线

标题: CT3327:[原创]胸部 [打印本页]

作者: xhsmx    时间: 2006-3-28 18:22
标题: CT3327:[原创]胸部
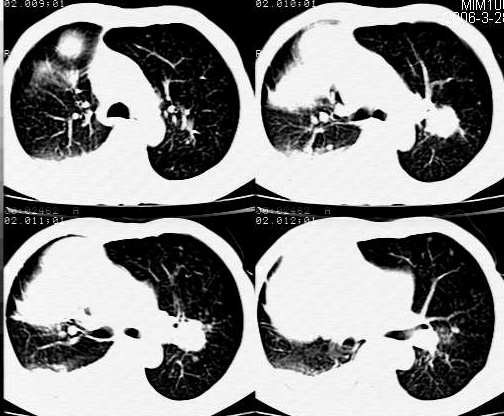
男,68岁,胸部胀痛数年,胸部x光片显示右侧胸腔巨大占位。













[本贴已被 jiajie 于 2006-3-28 13:06:56 修改过]

作者: 绿水青山    时间: 2006-3-28 20:39
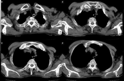
ct:右肺巨大肿块、有点、片、环形钙化,内侧达心包膜外侧达胸壁,支气血管受压后移,左下肺见小结节,右侧胸腔积液,纵隔未见肿大淋巴结。
诊断:右肺恶性肿瘤?穿刺活检
一定位肺部:肿块与胸壁、纵隔成锐角,肿块与胸壁纵隔有分界,定位肺部应该是明确的。
二定性:很难明确,考虑肿块大+胸腔积液+左下肺小结节+68岁考虑恶性可能大肉瘤>肺ca
鉴别1纵膈肿瘤2良性肿瘤;如错沟瘤等
作者: ysxyy    时间: 2006-3-28 21:36
定位:支持楼上----肺。
定性:由于病史较长,可考虑类癌或低分化鳞癌可能,并双肺转移。
鉴别诊断:
    男性、68岁,为肺癌高发人群。
    肺肉瘤,少见。
    错构瘤:太大,有转移。
作者: nhrmyy    时间: 2006-3-28 22:16
肺癌钙化较少见,多为点状钙化,像这种环状钙化、条状钙化多见于结核球和组织胞浆菌病,也可见于真菌球,原发于骨的肺转移癌也可见钙化,作穿刺吧,我经验有限,向各位学习
作者: myj    时间: 2006-3-28 22:22
1.考虑肺癌,左肺转移。2.右侧胸腔积液。
作者: qian    时间: 2006-3-28 22:40
右肺内恶性病变侵犯胸膜伴双肺转移。
作者: pingdongying    时间: 2006-3-28 23:00
考虑右肺恶性肿瘤伴右侧胸腔积液及左肺转移
作者: yxyxjs    时间: 2006-3-29 00:18
首先是定位问题,根据肿块的外形,和纵隔关系密切,还有与肺组织分界清晰,应该定位在前纵隔内。
再定性:根据肿块的密度和钙化征象,是否考虑畸胎类肿瘤,但有恶变征象,伴胸膜腔转移。

纯属瞎猜,仅供参考。
作者: 乡医    时间: 2006-3-29 03:17
就钙化征象而言我支持8楼。
作者: xuemingxiao    时间: 2006-3-29 04:09
应该考虑是纵隔来源的,境界也比较清楚,支持8楼的!!!
作者: ssl1_1    时间: 2006-3-29 04:09
右肺内恶性病变侵犯胸膜及膈肌,伴双肺转移
作者: wawaquan    时间: 2006-3-29 06:30
右肺高分化鳞癌伴双肺转移。
作者: LKC8963    时间: 2006-3-29 07:56
标题: 回复:ct3327:[原创]胸部
本例右胸腔巨块首先是定位问题,应定为前纵隔中、下区。理由:大部边缘光滑,部分mpi呈“长毛征”,mci呈凸出型,前联合线移向患侧。
其次是定性问题:本例征象:1 右侧胸腔巨块内见不规则钙化,征象同前述;2 左肺门肿块;3 肺内多发结节及支血束结节状改变;4 右上叶支气管受压无壁厚或阻塞;5 无肺纤维化表现;6 右侧胸液,心包无异常;7 骨质或腋窝无异常。结合老年患者,病史较长,以上征象集中在一起需鉴别于以下疾病:
1 前中、下区良性肿瘤恶性变伴肺内、胸膜及肺门转移及压迫性肺炎;此应放在最前面,如前所述,畸胎类肿瘤恶性变可能性较大,侵袭性胸腺瘤待排(mci多呈凹陷或平直型,前联合线多无异常改变),淋巴瘤基本不考虑。
2 纵隔和肺内、胸膜、肺门均为转移:纵隔肿块为转移癌但是病史不太支持,需进一步完善病史。
3 结节病:纵隔内为融合淋巴块,可有钙化,体积也可如此这大,肺内可有多发实质结节,也可单侧肺门淋巴结肿大和胸液,支血束结节状改变最为典型,但是病史较长者多有间质改变,请结合体检找有无皮下结节,此例绝不能排;
4 左下肺肿块伴左肺门、肺内及纵隔转移:肿块无明确恶性特征,但淋巴块内多无钙化。临床症状也不支持。
5 矽肺:结节呈实质结节表现,没有支血束结节状改变,而且多有临床病史和呼吸困难。
作者: xhsmx    时间: 2006-3-29 17:17
请问版主,mci、mpi是什么意思?
作者: sjh753    时间: 2006-3-29 17:29
结合病史及右下肺巨大肿块合并钙化 考虑以肺错构瘤恶变并两肺转移可能性大
作者: zhuxinli    时间: 2006-3-29 18:52
定位,应定为中纵隔中、下区。理由:大部边缘光滑,前联合线移向患侧。肿块大部分位于中纵隔区
定性,考虑肿块大+胸腔积液+左下肺小结节+68岁考虑恶性可能大
作者: wwg65578302    时间: 2006-3-29 21:57
畸胎瘤恶变,伴两肺转移
作者: shibing    时间: 2015-6-4 17:00
右肺恶性肿瘤伴右侧胸腔积液及左肺转移




欢迎光临 医影在线 (http://bbs.radida.com/bbs/) Powered by Discuz! X3.2