







































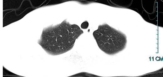
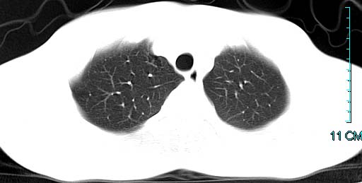
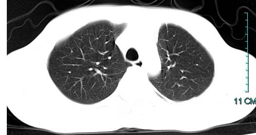
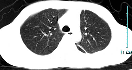
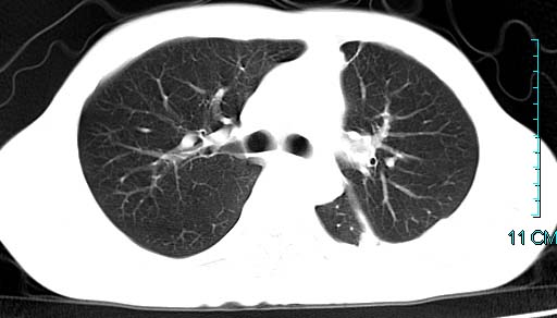
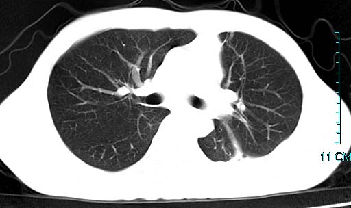
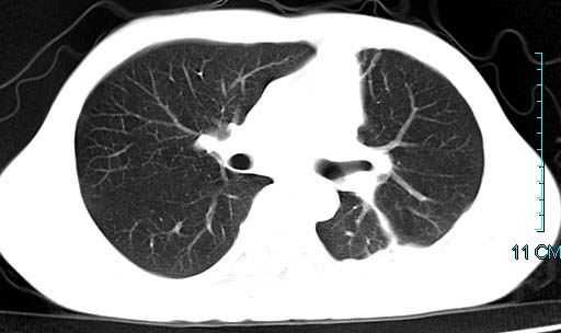
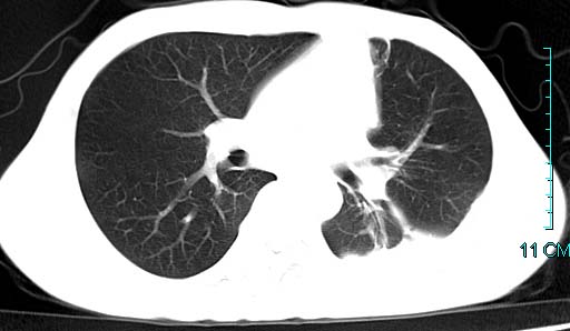
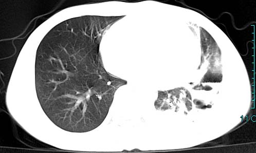
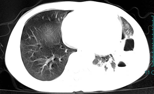
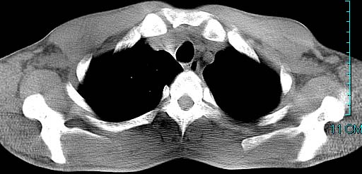
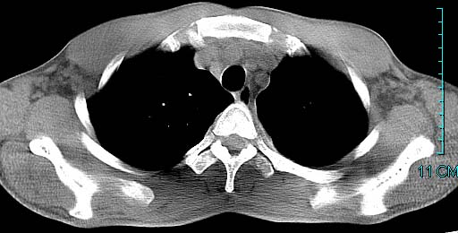
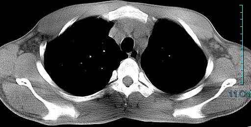
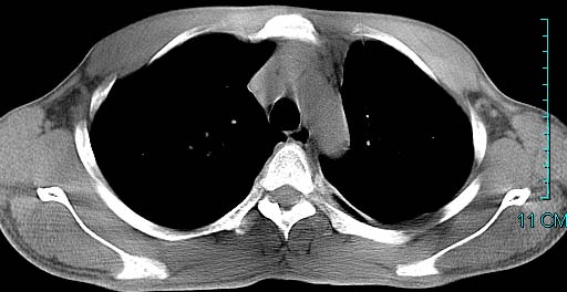
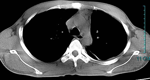
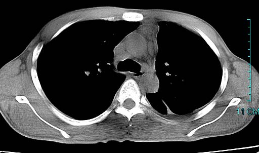
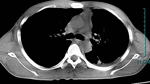
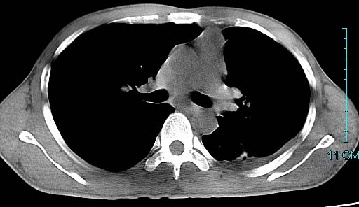
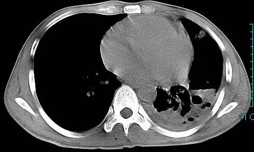
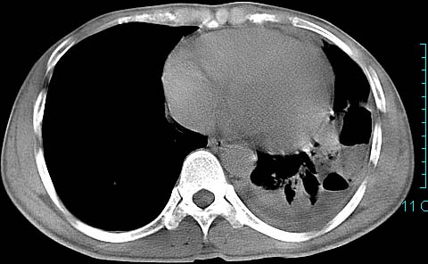
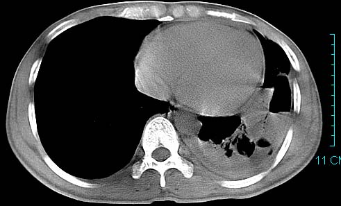
以下是引用ctkz987在2006-3-28 13:04:00的发言:[br]左侧胸腔积液穿刺后多发气液平(多房性),结合临床有高热不除外合并感染。
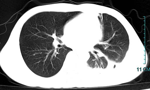
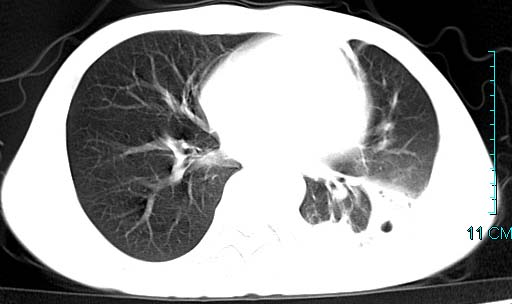
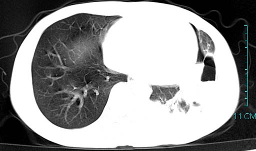
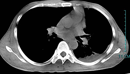
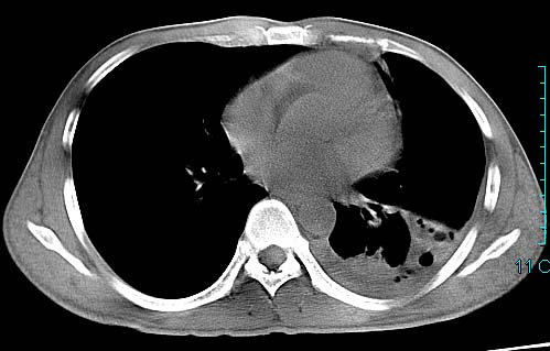
以下是引用qian在2006-3-28 14:32:00的发言:[br]左肺下叶大片状阴影,密度不均,见有条片影和空洞及气液平,少量胸腔积液伴有胸膜增厚,从图像看积液密度比水的密度高,结合病史,考虑左下肺化脓性炎症伴有脓胸。
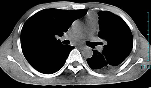
以下是引用wawaquan在2006-3-28 22:25:00的发言:[br]左上肺舌段多发斑片影。结合“男24y咳嗽咳痰气促伴高热(38.5--39.5)20多天”及穿刺史,[br]考虑1 左下肺化脓性炎症;2脓胸。
以下是引用乡医在2006-3-28 18:37:00的发言:[br]左侧多发液气平面结合患者男24y咳嗽咳痰气促伴高热(38.5--39.5)20多天,查胸水:ldh239.3,总蛋白59.19,tb-ab阴性,利凡它试验+,红c2.7*109,白c1.08*109,分类淋巴92%分叶8%,考虑1脓胸2肺隔离征感染
| 欢迎光临 医影在线 (http://bbs.radida.com/bbs/) | Powered by Discuz! X3.2 |