医影在线

标题: CT3386:[讨论]胸部 [打印本页]

作者: HUSILING    时间: 2006-4-2 05:15
标题: CT3386:[讨论]胸部
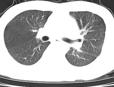
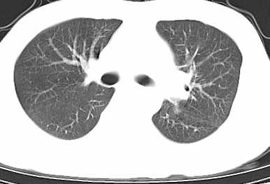
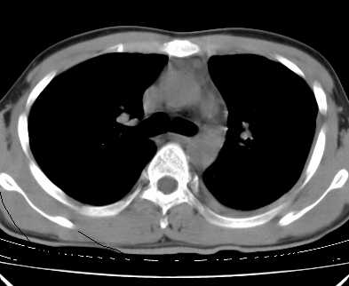
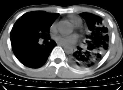
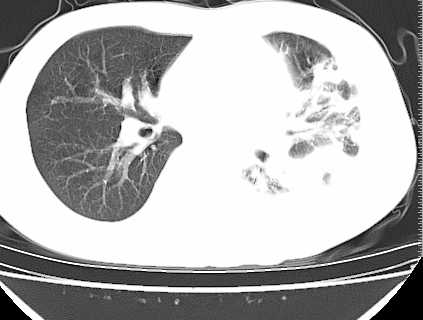
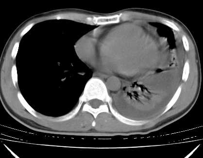
二周前患者无明显诱因出现咳嗽,多为刺激性干嗽,无咯血,伴心悸,低热,夜间无明显盗汗,消瘦明显










































[本贴已被 jiajie 于 2006-4-1 21:37:32 修改过]

作者: qian    时间: 2006-4-2 05:39
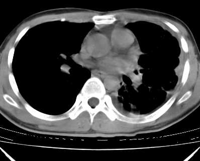
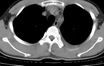
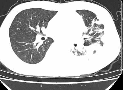
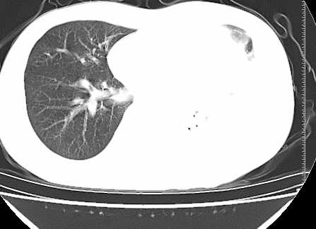
年龄?左侧胸腔中量积液,左下肺见有较多斑片状和大片状影,伴有支气管充气征,考虑:1、左下肺炎;2、结核。肿瘤可以基本排除。
作者: kbzyycm    时间: 2006-4-2 05:48
考虑:1、左下肺结核左侧胸腔中量积液,心包积液纵隔肿大淋巴结.
作者: dyqCT    时间: 2006-4-2 06:09
考虑:1、左侧中量胸腔积液伴左肺下叶肺膨胀不全、炎症。
      2、心包积液。
作者: 小同少一氏    时间: 2006-4-2 07:15
炎症可能性大,伴左侧胸腔积液及心包积液.左下叶肺脓肿?
作者: fangzheng    时间: 2006-4-2 07:16
左下肺见有较多斑片状和大片状影,支气管通畅,左侧胸腔积液,考虑:左下肺炎伴胸腔积液
作者: drzhang8888    时间: 2006-4-2 07:22
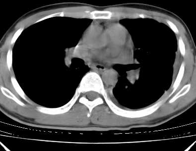
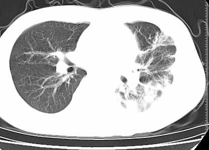
左侧中量胸腔积液伴左肺下叶肺膨胀不全、上肺外围多个小囊样腺泡样病灶。考虑化脓炎症。
心包积液没有,纵隔积液。
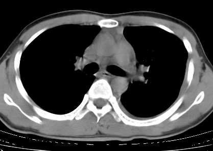
纵隔肿大淋巴结不明显。
作者: drzhang8888    时间: 2006-4-2 07:39
标题: 回复:ct3386:[讨论]胸部
能否为金葡菌感染。




作者: MYF    时间: 2006-4-2 08:16
1、左侧中量胸腔积液伴左肺下叶肺膨胀不全、。
      2、心包积液。
  3 无纵隔肿大淋巴结.
作者: fumaogui    时间: 2006-4-2 18:21
左肺下叶大叶性肺炎。左侧胸腔积液。年龄?最好化验一下血象。血沿沉。
作者: hkkhkk    时间: 2006-4-2 19:13
首先考虑肺结核胸膜炎心包炎,胸水压迫性肺不张
作者: dingn    时间: 2006-4-2 19:26
患者刺激性干嗽,无咯血,伴心悸,低热,夜间无明显盗汗,消瘦明显,左侧中量胸腔积液伴左肺下叶肺膨胀不全、上肺外围多个小斑片病灶。考虑肺结核可能性大。
作者: liannianyouyu    时间: 2006-4-3 02:02
左下肺炎症,併胸腔中等量积液
作者: wwp    时间: 2006-4-3 03:45
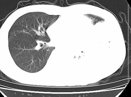
左肺舌叶及下叶见斑片状,大片状高密度影并相应处胸膜及心包不规则增厚,左肺下叶膨胀不全。右肺未见异常,双肺段以上支气管通畅。纵隔左移,其内未见明显肿大淋巴结。左侧胸腔积液。
1.考虑:左肺化脓性炎症。2.左侧胸腔积液(中等量)。3.心包炎症。
作者: usa911go    时间: 2006-4-3 04:18
左下肺炎症伴左侧胸腔积液
作者: husiling    时间: 2006-4-3 05:25
血象\\血沉属正常,患者25岁
作者: 中山医    时间: 2006-4-3 05:37
标题: 回复:ct3386:[讨论]胸部
以下是引用drzhang8888在2006-4-1 23:22:00的发言:[br]左侧中量胸腔积液伴左肺下叶肺膨胀不全、上肺外围多个小囊样腺泡样病灶。考虑化脓炎症。[br]心包积液没有,纵隔积液。[br]纵隔肿大淋巴结不明显。

作者: zhuxinli    时间: 2006-4-3 06:53
考虑肺结核可能性大。
作者: 刘军    时间: 2006-4-3 08:08
炎性病变为主伴有肺的膨胀不全,伴胸腔积液.心包积液不好定建议超声纵隔淋巴结没看出.
作者: chaisijun    时间: 2006-4-4 06:16
肺结核,结核性胸膜炎.
作者: shibing    时间: 2015-6-5 16:13
左肺下叶大叶性肺炎。左侧胸腔积液。年龄?最好化验一下血象。血沿沉。




欢迎光临 医影在线 (http://bbs.radida.com/bbs/) Powered by Discuz! X3.2