医影在线

标题: CT3387:[求助]肝胆病变 [打印本页]

作者: yzt222    时间: 2006-4-2 05:33
标题: CT3387:[求助]肝胆病变
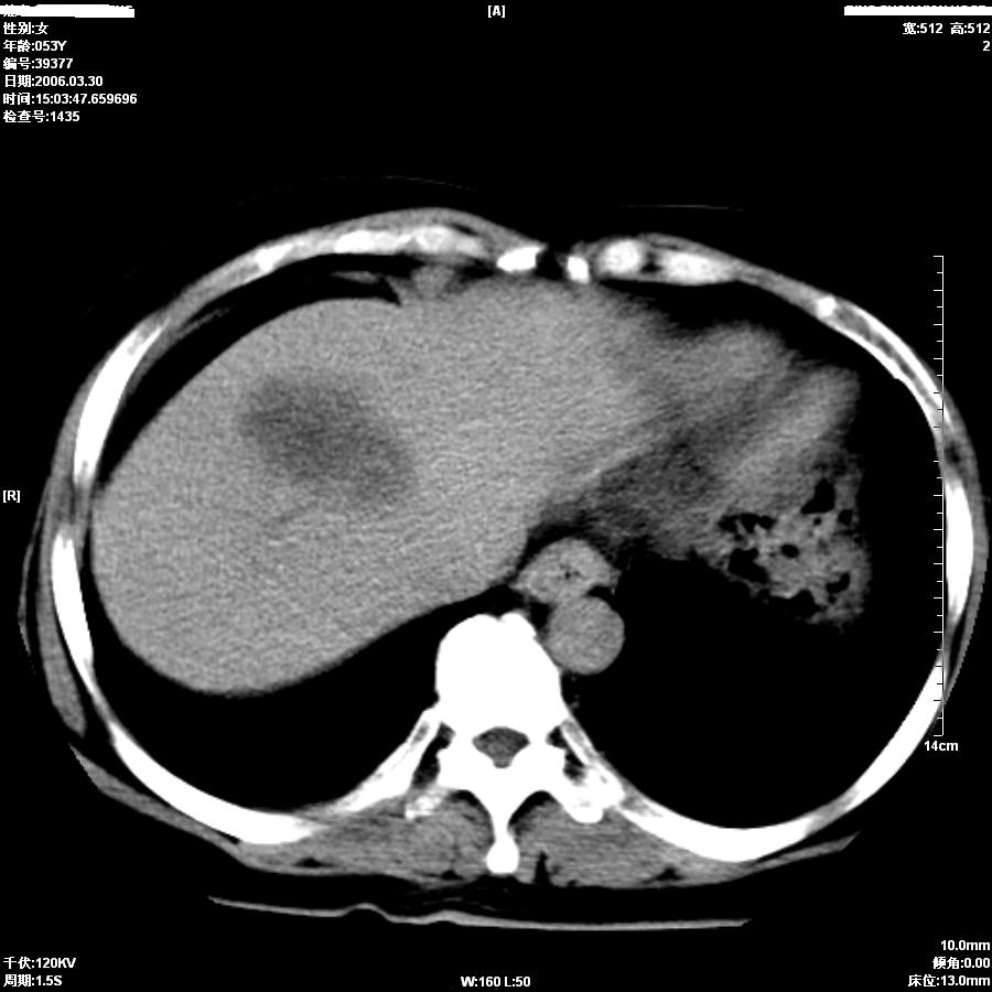
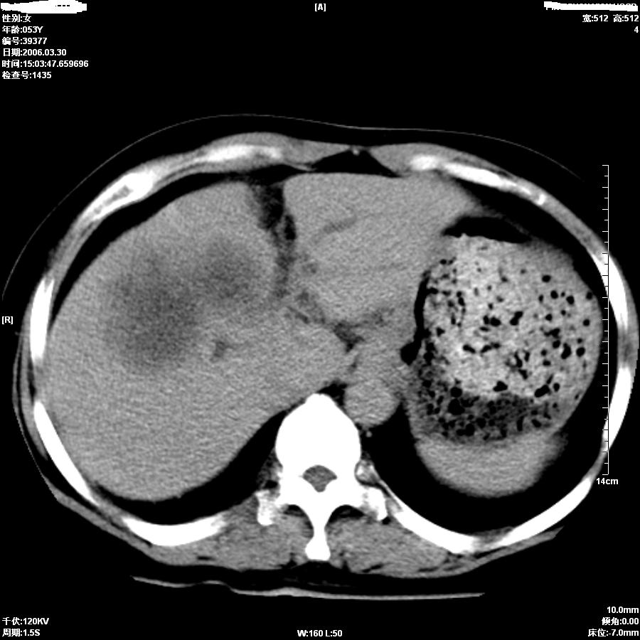
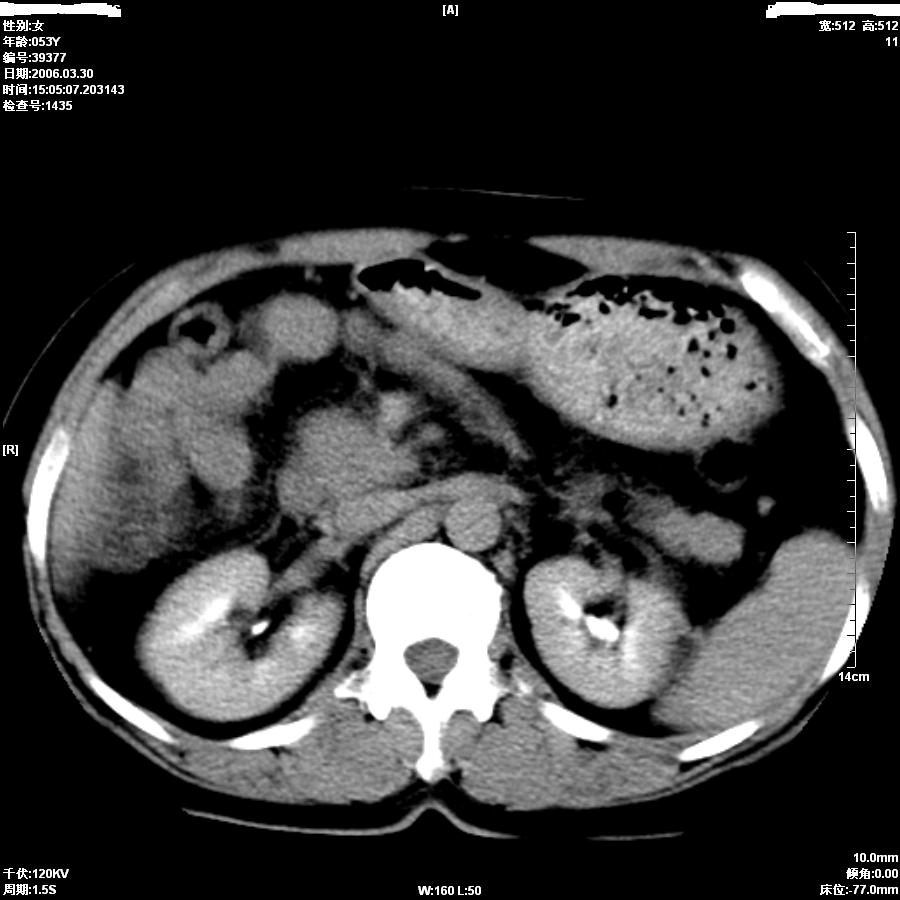
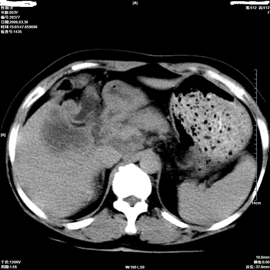
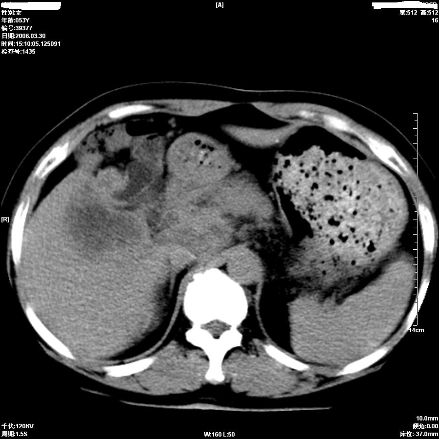
女,50岁,上腹部憋胀,疼痛月余。做增强刚打了50ml造影剂病人就出现了较重的过敏,所以强化不成功。

























[本贴已被 jiajie 于 2006-4-1 21:38:06 修改过]

作者: huangwei741    时间: 2006-4-2 05:44
ca
作者: dyqCT    时间: 2006-4-2 06:12
支持肝癌伴左叶外侧段肝内胆管轻度扩张。
作者: 小同少一氏    时间: 2006-4-2 07:09
支持楼上.
作者: jslu503    时间: 2006-4-2 07:12
增强不成功,难以下结论,建议mri检查。肝癌可能性大。
作者: drzhang8888    时间: 2006-4-2 07:59
平扫第8图胆总管内似见结石,上部胆道扩张,肝内片影无强化,胆囊不清,胃小弯壁略厚。
考虑1胆结石伴低微弹道梗阻及肝内感染2胆管癌。
作者: guzhongliangddd    时间: 2006-4-2 08:13
因为没有完整的强化,该病例我首先考虑是肝内胆管细胞癌.患者因为有过敏我建议行mri.
作者: 绿水青山    时间: 2006-4-2 15:39
从平扫:肝脏肿块,胰头周围结构不清似有结节。考虑恶性肿瘤(首先要排外肝胆感染病变)。胆管癌>肝癌。建议mri。
作者: lwz    时间: 2006-4-2 17:32
较典型胆管癌。
作者: fumaogui    时间: 2006-4-2 18:47
查个血象,排除一下肝脓肿。
作者: dingn    时间: 2006-4-2 19:45
胆管细胞癌可能性大
作者: 迎客松    时间: 2006-4-2 20:30
胆总管扩张,未见明显结石征象。还是胆管细胞ca可能大
作者: kbzyycm    时间: 2006-4-2 20:45
肝癌可能性大
作者: 一棵树    时间: 2006-4-3 00:18
肝内胆管扩张建议mr
作者: 克山    时间: 2006-4-3 01:03
提示肝内胆管细胞癌。
作者: liannianyouyu    时间: 2006-4-3 01:57
考虑肝胆管癌
作者: 山野樵夫    时间: 2006-4-3 02:11
不成功的检查怎么能妄下结论!go  on .....
作者: 我爱放射    时间: 2006-4-3 02:11
肝内胆管癌 累及肝门
作者: usa911go    时间: 2006-4-3 03:39
胆管癌可能
作者: wwp    时间: 2006-4-3 03:50
支持6楼。
作者: ysxyy    时间: 2006-4-3 04:11
不知本病人有没有作过胆囊切除手术?
如果胆囊未切除,首先考虑胆囊癌肝侵犯。
中老年妇女,肝门、胆囊区病变,病变实体形态欠清楚,胆囊癌可能性极大。
鉴别诊断:肝癌;胆管癌;
烦请楼主提供更详细的临床资料。
作者: qian    时间: 2006-4-3 04:22
肝癌可能性大。
作者: 乡医    时间: 2006-4-3 05:05
胆管癌
理由:1、低密度病灶,动脉期末有一点强化。
      2、左肝内胆管扩张。
      3、肝门区胆管壁静脉期有强化。
疑问:第六副图片胃小弯局部胃壁增厚吗?知情者请解答!!
作者: yzt222    时间: 2006-4-3 05:55
收到了。谢谢大家,有结果后我会上传。
作者: 2213227    时间: 2006-4-3 05:58
胆管癌
作者: zhuxinli    时间: 2006-4-3 06:59
1胆管癌2胆囊癌肝进犯
作者: 我爱放射    时间: 2006-5-1 23:00
还没结果么
作者: shibing    时间: 2015-6-5 16:13
胆管癌。




欢迎光临 医影在线 (http://bbs.radida.com/bbs/) Powered by Discuz! X3.2