

















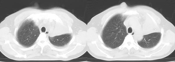
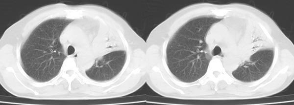
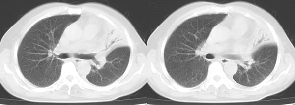
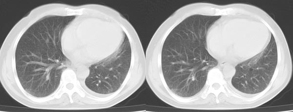
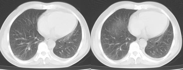
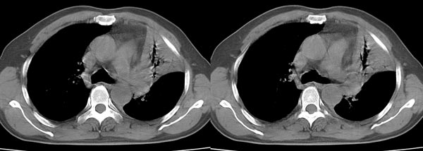
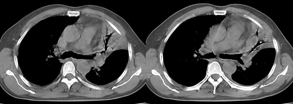
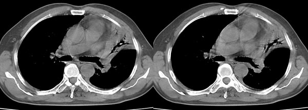
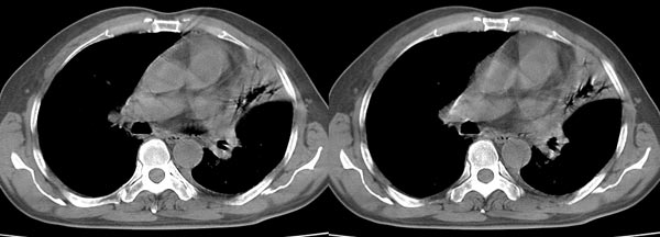
以下是引用dyqct在2006-4-1 22:20:00的发言:[br]左肺上叶明显萎陷、实变,支气管大部通畅,部分扩张,部分壁似见串珠状钙化。主动脉弓旁见肿大淋巴结。纵隔左移。左侧胸壁后缘见新月形高密度,边界清楚。[br] 考虑:1、左肺上叶肺不张伴支气管扩张(牵拉性),可能为支气管内膜结核所致。[br] 2、左侧少量胸腔积液。[br]
以下是引用piao001在2006-4-2 14:13:00的发言:[br]左肺上叶不全性不张,其内见钙化及扩张支气管,结合病史,考虑支气管内膜结核。建议支气管镜明确检查。
| 欢迎光临 医影在线 (http://bbs.radida.com/bbs/) | Powered by Discuz! X3.2 |