

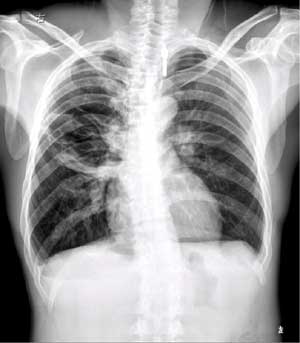
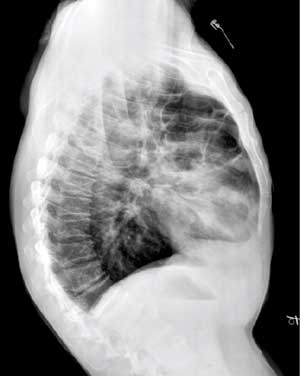
以下是引用向医生在2004-6-30 20:21:28的发言:[br]右上肺有多个薄壁囊状透亮区,其内无明显液平面.[br]意见:右上肺多发性肺囊肿.
以下是引用南国紫匀在2004-7-1 23:37:53的发言:[br][quote]以下是引用向医生在2004-6-30 20:21:28的发言:[br]右上肺有多个薄壁囊状透亮区,其内无明显液平面.[br]意见:右上肺多发性肺囊肿.
以下是引用向医生在2004-6-30 20:21:28的发言:[br]右上肺有多个薄壁囊状透亮区,其内无明显液平面.[br]意见:右上肺多发性肺囊肿.
以下是引用huopao在2004-11-1 21:17:00的发言:[br]可能是肺脓肿吧[emb28]
| 欢迎光临 医影在线 (http://bbs.radida.com/bbs/) | Powered by Discuz! X3.2 |