医影在线

标题: X0657:典型,骨病. [打印本页]

作者: 旭阳    时间: 2006-4-7 01:21
标题: X0657:典型,骨病.
病史不详!



[本贴已被 jiajie 于 2006-4-6 18:54:05 修改过]

作者: 枫叶    时间: 2006-4-7 01:34
三无产品————看啥象啥,再看啥也不象!!
作者: 向武昌    时间: 2006-4-7 02:22
转移瘤.
作者: 师医生    时间: 2006-4-7 02:46
骨肉瘤半病理性骨折
作者: qian    时间: 2006-4-7 02:57
骨肉瘤伴病理性骨折。
作者: 清风无痕    时间: 2006-4-7 03:58
溶骨型骨肉瘤伴病理性骨折.
作者: maqingya    时间: 2006-4-7 04:10
软骨肉瘤?
作者: 韩晓静    时间: 2006-4-7 04:25
骨肉瘤伴病理性骨折。
作者: drzhang8888    时间: 2006-4-7 04:27
骨肉瘤半病理性骨折
作者: hnzyjz    时间: 2006-4-7 04:42
骨肉瘤
作者: renewliu    时间: 2006-4-7 05:10
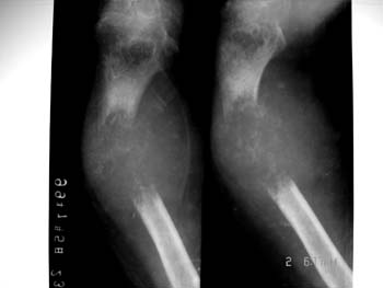
溶骨性骨破坏;
瘤骨;
放射状骨膜反应;
软组织内肿块;
病理骨折。

-------骨肉瘤
作者: qinwei260    时间: 2006-4-7 05:24
无病史,骨肉瘤并病理性骨折!!
作者: 天涯tianya    时间: 2006-4-7 05:44
溶骨型骨肉瘤伴病理性骨折
作者: chenzhigong1    时间: 2006-4-7 05:56
骨肉瘤伴病理性骨折。
作者: 天高云淡    时间: 2006-4-7 06:25
溶骨性破坏伴病理性骨折,两种可能1:转移瘤  2溶骨性骨肉瘤
作者: dyqCT    时间: 2006-4-7 16:39
溶骨型骨肉瘤伴病理性骨折.
作者: chairuiping    时间: 2006-4-7 17:05
溶骨性骨破坏,软组织内肿块,病理骨折,考虑骨肉瘤 。
作者: xuchzh_8807    时间: 2006-4-7 18:07
标题: 回复:x0657:典型,骨病.
以下是引用清风无痕在2006-4-6 19:58:00的发言:[br]溶骨型骨肉瘤伴病理性骨折.

作者: liuyongbinking    时间: 2006-4-7 19:45
支持恶性病变:骨肉瘤
作者: zhangkening    时间: 2006-4-7 22:35
年龄不详。如五十岁以上应考虑转移瘤;否则应考虑骨肉瘤并病理性骨折
作者: liuhj    时间: 2006-4-7 22:55
支持溶骨型
作者: xhsmx    时间: 2006-4-8 00:14
溶骨性骨肉瘤
作者: ys139    时间: 2006-4-8 02:56
溶骨性骨破坏,软组织肿块,瘤骨,病理性骨折。
符合溶骨性骨肉瘤表现。
作者: duanchao    时间: 2006-4-8 04:12
标题: 回复:x0657:典型,骨病.
以下是引用枫叶在2006-4-6 17:34:00的发言:[br]三无产品————看啥象啥,再看啥也不象!!

作者: 实习医生    时间: 2006-4-8 04:18
骨肉瘤
作者: 同    时间: 2006-4-8 04:37
骨肉瘤
作者: 火中金    时间: 2006-4-8 05:17
x线表现: 溶骨性骨破坏,瘤骨,病理性骨折,巨大软组织肿块。所以首先考虑溶骨性骨肉瘤。
作者: chinaboy_006    时间: 2006-4-8 05:36
溶骨性骨肉瘤
作者: yczzq    时间: 2006-4-8 05:44
溶骨性骨肉瘤
作者: lushijun    时间: 2006-4-8 06:13
支持4楼意见
作者: 上饶小李    时间: 2006-4-8 06:34
有溶骨性骨质破坏,考虑溶骨性骨肉瘤可能性大!
作者: jiangjing    时间: 2006-4-8 19:27
发生于骨干的溶骨破坏,伴小班点状瘤骨与然组织肿块考虑1转移瘤。2骨恶性肿瘤。
作者: 李飞    时间: 2006-4-9 01:15
骨皮质中断,有可见肿瘤骨,考虑骨肉瘤
作者: 曾毅    时间: 2006-4-9 03:30
恶性骨肿瘤,骨肉瘤
作者: 相约…梦里    时间: 2006-4-9 05:40
骨肉瘤伴病理性骨折。
作者: xpouyang    时间: 2006-4-9 06:00
溶骨型骨肉瘤伴病理性骨折
作者: 聂新建    时间: 2006-4-9 12:31
1,骨肉瘤2,尤文氏肉瘤
作者: kbzyycm    时间: 2006-4-9 21:11
骨肉瘤伴病理性骨折
作者: Bobytin    时间: 2006-4-9 23:27
恶性骨肉瘤拟纤维肉瘤可能性大
作者: panjiaozhu    时间: 2006-4-10 06:06
同意
作者: ZHONGQ    时间: 2006-4-10 07:05
骨肉瘤伴病理骨折
作者: 周杭    时间: 2006-4-10 07:06
溶骨性骨肉瘤伴病理性骨折,依据:溶骨性骨破坏,软组织肿块
作者: libao    时间: 2006-4-10 20:57
骨肉瘤
作者: sdw662    时间: 2006-4-10 22:25
溶骨性破坏伴病理性骨折,两种可能1:转移瘤  2溶骨性骨肉瘤
作者: 潘建华    时间: 2006-4-10 23:37
有一条恶性是肯定的
作者: 流星1234    时间: 2006-4-11 04:51
骨肉瘤伴病理骨折
作者: xiaoniu    时间: 2006-4-11 18:15
标题: 回复:x0657:典型,骨病.
三无产品————看啥象啥,再看象溶骨型骨肉瘤伴病理性骨折.
作者: 无影圣    时间: 2006-4-11 18:57
溶骨型骨肉瘤伴病理性骨折
作者: 362122    时间: 2006-4-12 02:30
该病人骨骺未愈合,很可能是溶骨型骨肉瘤伴病理性骨折。
作者: doublech    时间: 2006-4-12 04:35
溶骨型骨肉瘤伴病理性骨折.
作者: zhb5681    时间: 2006-4-15 00:28
疣文氏肉瘤伴病理性骨折
作者: yz    时间: 2006-5-31 05:20
支持骨肉瘤合并病理性骨折!
作者: ljn13    时间: 2006-6-1 05:53
骨肉瘤
作者: 忧郁王子    时间: 2006-6-1 22:56
这个不好分析,应该是一个典型病例,还是把资料整全,片子拍好吧
作者: jinguoji    时间: 2006-11-15 21:34
溶骨性骨肉瘤伴病理性骨折
作者: mujianbao    时间: 2012-12-2 17:53
骨肉瘤伴病理性骨折。




欢迎光临 医影在线 (http://bbs.radida.com/bbs/) Powered by Discuz! X3.2