医影在线

标题: X0660:请讨论尺骨鹰嘴处高密度影 [打印本页]

作者: 流星1234    时间: 2006-4-9 04:05
标题: X0660:请讨论尺骨鹰嘴处高密度影
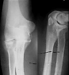
男,30岁,右桡骨小头骨折两月复查



[本贴已被 jiajie 于 2006-4-8 21:16:28 修改过]

作者: 冰蛋儿    时间: 2006-4-9 04:21
哎.看不清啊?
作者: qian    时间: 2006-4-9 04:25
拍照时不用闪光灯,图象会更好,尺骨鹰嘴高密度影,是否骨岛?
作者: 光线    时间: 2006-4-9 04:26
当时骨折的片子上有这个吗?
作者: 潘X    时间: 2006-4-9 05:10
见到这个高密度影,如果是我,我会针对这个高密影照其切线位片进行观察,建议楼主照其切线位片!!!
看是游离的,或是尺骨本身上的,如果是游离的,则可以考虑是撕脱性骨折。
作者: 相约…梦里    时间: 2006-4-9 05:37
加照侧位
作者: drzhang8888    时间: 2006-4-9 06:10
哎.看不清啊.
作者: wenhui8899    时间: 2006-4-9 06:13
骨岛
作者: lushijun    时间: 2006-4-9 14:35
桡骨小头骨折,尺骨鹰嘴可疑骨岛
作者: 寻芳者    时间: 2006-4-9 17:29
如果,术前没有,,,,,,,,,,复查时发现的,那就是缺血所至了______无菌坏死与骨岛鉴别!!
作者: gezhan    时间: 2006-4-9 22:16
骨梗死
作者: Bobytin    时间: 2006-4-9 23:11
拟尺骨膺咀内侧钙化影重叠所至
作者: jslu503    时间: 2006-4-10 00:26
考虑骨梗死可能性大
作者: X线    时间: 2006-4-10 01:18
正位片不清且未包全软组织,病人有外伤史,应先排除异物。
作者: xuemingxiao    时间: 2006-4-10 03:35
是不是打了石膏固定哦?是不是石膏的伪影呢?
作者: lanlong1979    时间: 2006-4-10 04:08
支持11楼
作者: ZHONGQ    时间: 2006-4-10 06:48
如果术前没有,复查才有的术后有多久了?是否是软组织钙化呢?
作者: jiangjing    时间: 2006-4-11 07:29
考虑1股梗死。2骨岛。3骨化性肌炎。
作者: 实习医生    时间: 2006-4-11 16:24
看不清
作者: xiaoniu    时间: 2006-4-11 18:07
标题: 回复:x0660:请讨论尺骨鹰嘴处高密度影
以下是引用寻芳者在2006-4-9 9:29:00的发言:[br]如果,术前没有,,,,,,,,,,复查时发现的,那就是缺血所至了______无菌坏死与骨岛鉴别!!

基本支持!!,但骨梗死可能性更大。
作者: chenzhigong1    时间: 2006-4-11 20:23
当时骨折的片子如没有此阴影,考虑骨梗死可能性大
作者: 黄小丰    时间: 2006-4-13 23:44
受伤时有吗?
作者: jinguoji    时间: 2006-11-15 06:35
考虑骨梗死可能性大
作者: shibing    时间: 2012-10-15 10:02
考虑骨梗死可能性大




欢迎光临 医影在线 (http://bbs.radida.com/bbs/) Powered by Discuz! X3.2