医影在线
标题: MRI0371:[原创]右额部占位 [打印本页]
作者: sn4187189 时间: 2006-4-11 00:54
标题: MRI0371:[原创]右额部占位
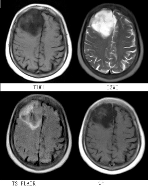
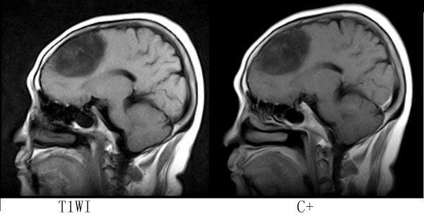
女,64岁,ct示右侧额叶占位,平扫无钙化,增强无强化,mr平扫+增强,请大家诊断.



[本贴已被 翁志蓬 于 2006-4-10 23:35:40 修改过]
作者: sn4187189 时间: 2006-4-11 00:58
标题: 补充
无临床表现,偶尔检查发现.
[本贴已被 翁志蓬 于 2006-4-10 23:36:31 修改过]
作者: 老林 时间: 2006-4-11 01:34
考虑星形细胞瘤(低级别)
作者: zhxl1127 时间: 2006-4-11 02:19
标题: 回复:[原创]女,64岁,ct示右侧额叶占位,平扫无钙化,增强无
右侧额叶占位性病变,病灶累及脑灰白质,信号较均匀,增强扫描病灶强化不明显,边界较清楚,相对于病灶本身大小来说,占位效应较轻,考虑为分化较好的胶质瘤,以胚胎发育不良性神经上皮榴或混合性胶质瘤可能性大(dnt).
作者: 徐大夫 时间: 2006-4-11 02:34
病灶位于右额叶,呈不均匀长t1长t2信号,部分液化,占位效应不明显,无强化,临近颅板无受侵,考虑分化程度较高的胶质瘤。
作者: gaoxiao 时间: 2006-4-11 02:53
考虑一级星形细胞瘤。
作者: piao001 时间: 2006-4-11 03:00
考虑星形细胞瘤。
作者: 576034755 时间: 2006-4-11 04:14
一级星形细胞瘤
作者: 冯国诚 时间: 2006-4-11 05:23
2、3级星形吧
作者: drzhang8888 时间: 2006-4-11 06:03
标题: 郁闷
1定位于额叶颅内,颅板无改变基本除外脑膜瘤.
2左侧皮隋质交界亦可见长t1长t2无增强结节.
3拟诊:脑转移瘤.或右胶质瘤,左腔梗.
4自学mri,忘前辈多批判.
5photoshop不好使,无法用片示明.
[本贴已被 drzhang8888 于 2006-4-10 23:38:59 修改过]
作者: jiangjing 时间: 2006-4-11 07:40
考虑1低级星型细胞瘤。2皮样囊肿。
作者: chenzhigong1 时间: 2006-4-11 19:32
ct平扫无钙化,增强无强化,右侧额叶占位性病变,病灶累及脑灰白质,信号较均匀,增强扫描病灶强化不明显,边界较清楚,占位效应较轻,考虑为分化较好的胶质瘤
作者: zhouhansong 时间: 2006-4-11 23:12
1.胶质瘤.2.转移瘤.
作者: jyhe 时间: 2006-4-12 07:08
右额叶占位性病变,信号不均,边缘不清,增强轻度不均匀强化,考虑星形细胞瘤(3-4级)
作者: only 时间: 2006-4-12 08:19
今天看片子怎么都和大家长反调呢?
诊断:少支胶质细胞瘤
原因:年龄符合;部位符合;影像flair有条状低信号考虑为钙化;增强不强化。
星形细胞瘤:可以有上述影像表现,但是年龄有点大。
还是做个ct吧,mri定性差,特别对于少支更差。
作者: 204 时间: 2006-4-13 05:41
胶质瘤(一级)
作者: zyx168 时间: 2008-7-11 17:36
考虑:胶质瘤。
作者: dangjiancai 时间: 2015-2-26 15:55
低级星型细胞瘤
作者: 悟空 时间: 2015-2-26 21:40
考虑星形细胞瘤 诊断依据:TIW低信号 T2W高信号 瘤体靠近皮层下,周围是个囊腔(“囊在瘤内”),瘤体强化不明显,部分跨越中线,浸润及占位效应不明显,愈后较好。
作者: zjm赵建明 时间: 2015-2-27 10:44
先透视肺部排除转移瘤。考虑低级星形细胞瘤。
作者: renming 时间: 2015-2-27 16:32
1、考虑分化程度较高的胶质瘤;
2、星形细胞瘤。
作者: jzp0434 时间: 2015-7-18 07:57
星星细胞瘤
欢迎光临 医影在线 (http://bbs.radida.com/bbs/) |
Powered by Discuz! X3.2 |