医影在线

标题: X0661:[求助]左髂嵴部肿物 [打印本页]

作者: 杏林古木    时间: 2006-4-11 03:49
标题: X0661:[求助]左髂嵴部肿物
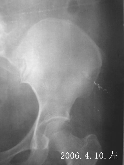
患者女性,51岁。左髂嵴部疼痛2月余,局部无红肿,髂前上嵴部压痛与扣打痛(+),但触不到明显肿块。请各位专家会诊。




[本贴已被 翁志蓬 于 2006-4-10 23:44:59 修改过]

作者: zhb5681    时间: 2006-4-11 04:04
应该考虑骨软骨瘤吧,没有可讨论的.
作者: 光线    时间: 2006-4-11 04:13
同意楼上。
作者: qian    时间: 2006-4-11 04:29
去做ct。
作者: 流星1234    时间: 2006-4-11 04:34
图象不是太清楚,看上去应是骨软骨瘤,
作者: drzhang8888    时间: 2006-4-11 05:35
考虑:1韧带附着处变异或骨化性肌炎
作者: dyqCT    时间: 2006-4-11 06:23
支持6楼意见。
作者: lushijun    时间: 2006-4-11 07:16
支持6楼意见,下方是外来伪影?
作者: jiangjing    时间: 2006-4-11 07:25
考虑:1韧带附着处变异或骨化性肌炎.2骨软骨瘤.
作者: lkc8963    时间: 2006-4-11 08:15
所提供的图片不能说明该处有病变如骨化性肌炎或骨软骨瘤等,建议多角度观察应可以明确有无病变,当然做ct更加明确还可以观察软组织改变;如果确有病变,还应问问病史(局部有无外伤史),除外骨化性肌炎或血肿机化。
作者: 实习医生    时间: 2006-4-11 16:23
骨软骨瘤
作者: chenzhigong1    时间: 2006-4-11 20:17
考虑:1骨化性肌炎.2骨软骨瘤.
作者: chenyouguo    时间: 2006-4-11 20:24
支持楼上意见
作者: 清风无痕    时间: 2006-4-11 20:28
考虑:1韧带附着处变异或骨化性肌炎.2骨软骨瘤
作者: 枫叶    时间: 2006-4-11 21:09
很可能是正常变异!!!
建议多角度观察--------------
作者: yczzq    时间: 2006-4-11 21:09
支持10楼意见
作者: weiy    时间: 2006-4-11 21:58
1)排对侧比较一下。2)追问有无外伤史。
作者: ccszwj    时间: 2006-4-12 01:25
透视下点片(切线位)。这样对病变显示清楚。
作者: 黄小丰    时间: 2006-4-13 23:43
好象没有什么骨性改变
作者: chairuiping    时间: 2006-4-17 19:06
1韧带附着处变异或骨化性肌炎.2骨软骨瘤
作者: jinguoji    时间: 2006-11-14 18:15
考虑:1韧带附着处变异或骨化性肌炎.2骨软骨瘤.
作者: shibing    时间: 2012-10-2 12:59
考虑:1韧带附着处变异或骨化性肌炎




欢迎光临 医影在线 (http://bbs.radida.com/bbs/) Powered by Discuz! X3.2