医影在线

标题: CT3179:K) [原创]胸部CT,请讨论, [打印本页]

作者: chaisijun    时间: 2006-4-12 05:37
标题: CT3179:K) [原创]胸部CT,请讨论,













[本贴已被 jiajie 于 2006-6-2 8:17:02 修改过]

作者: chaisijun    时间: 2006-4-12 05:42
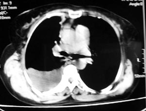
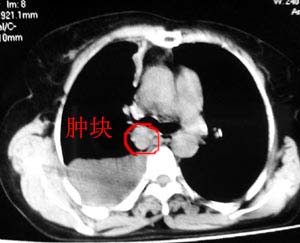
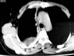
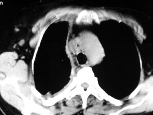
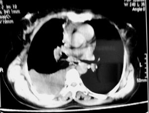
患者女性,52岁,胸闷,咳嗽,活动后气短2个月,加重1周.血常规:wbc10.28,rbc4.62,hgb135,plt267.胸水
常规:李凡他(+).胸水ada:68.1,ldh:303.6.胸水脱落细胞:未查到肿瘤细胞.
作者: elity69    时间: 2006-4-12 07:52
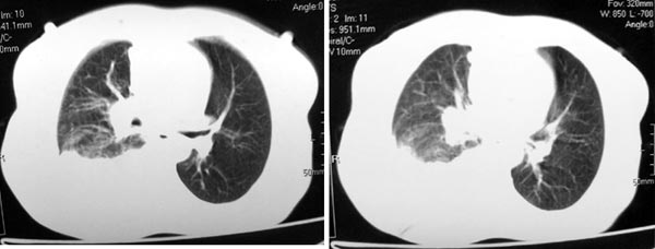
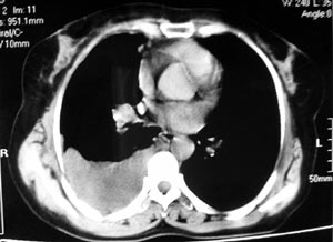
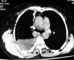
双肺纹理增多增粗,右上肺可见纤维条索致密影,右肺门粗浓,右侧胸腔积液,纵隔未见明显肿大淋巴结,
考虑肺部感染?
作者: x-man    时间: 2006-4-12 08:05
考虑右肺感染、胸膜增厚、胸腔积液。
作者: gaozhengyi    时间: 2006-4-12 15:18
图像不是太好,但可以见到下列恶性征象:
1 单侧肺门增大
2 纵隔侧胸膜明显增厚
3 肋胸膜结节影
结合纵隔略宽、单侧胸水首先考虑肺癌。
作者: dyqCT    时间: 2006-4-12 15:57
大部分图像不理想。可考虑肺感染、胸腔积液、胸膜增厚。
作者: ximen212    时间: 2006-4-12 18:30
右侧肺部感染,胸腔积液,胸膜增厚,不排除肺癌。建议结合病人情况进一步检查。
作者: zhuxinli    时间: 2006-4-12 19:12
标题: 回复:ct3179:[原创]胸部ct,请讨论,
以下是引用gaozhengyi在2006-4-12 7:18:00的发言:[br]图像不是太好,但可以见到下列恶性征象:[br]1 单侧肺门增大[br]2 纵隔侧胸膜明显增厚[br]3 肋胸膜结节影[br]结合纵隔略宽、单侧胸水首先考虑肺癌。
在加右腋下淋巴结肿大
作者: zhuxinli    时间: 2006-4-12 19:25
标题: 回复:ct3179:[原创]胸部ct,请讨论,


作者: guzhongliangddd    时间: 2006-4-12 19:39
我的诊断意见与5,9楼相同。关于在胸水中能否查到 癌细胞的问题我咨询过临床医生,根据他们的观察很少能查到{有的患者经纤支镜活检病理证实是癌}
作者: qian    时间: 2006-4-12 19:47
考虑纵隔旁肺癌伴胸水可能。
作者: chenqiong    时间: 2006-4-12 20:35
右上肺结核伴右侧胸膜增厚,肺部慢性炎症.
作者: dingn    时间: 2006-4-14 18:30
考虑纵隔旁肺癌伴胸水可能。
作者: 枫叶    时间: 2006-4-14 20:43
图像不是太好,但可以见到下列恶性征象:
1 单侧肺门增大
2 纵隔侧胸膜明显增厚
3 肋胸膜结节影
结合纵隔略宽、单侧胸水首先考虑肺癌。  
——————绝对支持!!
作者: 叶盟    时间: 2006-4-15 05:20
图像不是太好,但可以见到下列恶性征象:
1 单侧肺门增大
2 纵隔侧胸膜明显增厚
3 肋胸膜结节影
结合纵隔略宽、单侧胸水首先考虑肺癌。  
——————绝对支持!!
绝对支持!!
作者: 拾荒者    时间: 2006-4-15 05:32
同意9楼分析,肺癌,胸膜转移、胸水。
作者: zjwxjh    时间: 2006-4-15 05:53
应该考虑一下胸膜间皮瘤,应该进行胸膜穿刺活检.
作者: oo8ld    时间: 2006-4-15 07:26
支持胸膜间皮瘤
作者: syfszcw    时间: 2006-4-15 09:45
这样的病人我说句实在话!真的很难诊断!原因很多!1.头像欠清晰!2.没有病史(临床结果)!
作者: sjh753    时间: 2006-4-15 19:42
支持5楼+9楼意见,建议楼主发送优质图片!
作者: 恐惧海峡    时间: 2006-4-16 00:17
胸水肿瘤指标如何?ada增高不支持肿瘤
作者: hao1234    时间: 2006-4-16 00:30
同意楼上的!
作者: wqg    时间: 2006-4-16 06:54
同意9楼意见
作者: 李文星    时间: 2006-5-11 18:48
赞同6楼意见
作者: yemin92007    时间: 2006-5-11 19:55
右侧胸膜结节状增厚伴胸腔积液及纵隔、腋窝淋巴结肿大,考虑胸膜间皮瘤可能性大;建议胸膜活检。
作者: yz    时间: 2006-5-12 00:10
右侧中央型肺癌合并阻塞性肺炎及右侧胸膜转移。
作者: 憨哥    时间: 2006-5-13 01:10
右侧肺门淋巴结肿大,伴大量胸腔积液,同侧胸膜结节样增厚,有胸膜粘连,考虑肺癌.
作者: 欧阳双全    时间: 2006-5-13 05:07
考虑右肺感染、胸膜增厚、胸腔积液?
作者: hexue    时间: 2009-8-7 00:14
谢谢 学习了




欢迎光临 医影在线 (http://bbs.radida.com/bbs/) Powered by Discuz! X3.2