医影在线
标题: X0675:[分享]经典胸片 [打印本页]
作者: flower1199 时间: 2006-4-17 13:41
标题: X0675:[分享]经典胸片
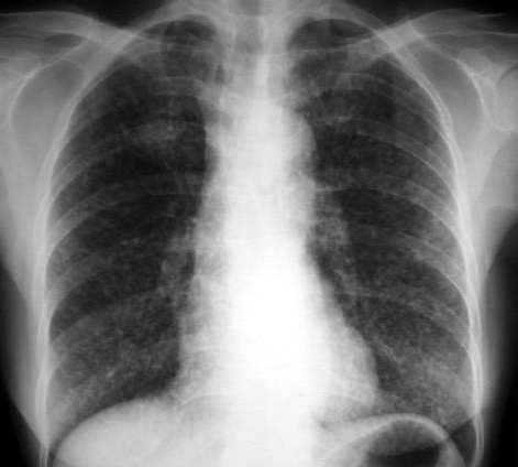
黄某,女,66岁,胸闷、咳嗽1个月,近日体重减轻。请讨论

[本贴已被 jiajie 于 2006-4-17 6:49:37 修改过]

[本贴已被 jiajie 于 2006-4-17 12:40:54 修改过]
作者: elity69 时间: 2006-4-17 14:28
胸廓饱满,双肺透亮度高,未见明显实变阴影,纹理稀疏,余未见明显异常。考虑肺气肿。
作者: hao1234 时间: 2006-4-17 14:41
肺泡细泡癌
作者: qian 时间: 2006-4-17 15:28
两肺见弥漫分布的小粟粒状影,考虑:1、血播tb;2、肺泡细泡癌;3、肺内转移病变。
作者: shitou2006 时间: 2006-4-17 16:48
支持四楼
作者: wgzf 时间: 2006-4-17 16:58
1.肺泡细胞癌 2.肺tb
作者: dyqct 时间: 2006-4-17 17:14
支持楼上意见:两肺见弥漫分布的小粟粒状影,考虑:1、血播tb;2、肺泡细泡癌;3、肺内转移病变。
作者: 山野樵夫 时间: 2006-4-17 18:19
两肺弥漫均匀分布的粟粒状影:1.急性血行播散性肺结核;2.支气管肺泡癌待排
作者: zhangkening 时间: 2006-4-17 18:39
支持4楼但我认为应该把肺泡细胞癌放在前面
作者: xiaoniu 时间: 2006-4-17 20:16
标题: 回复:x0675:[分享]经典胸片
两肺见弥漫分布的小粟粒状影,老年患者,胸闷、气短、体重减轻,从影像学表现首先考虑:急性血行播散性肺结核;从临床症状及年龄应该考虑:肺泡细泡癌。
作者: 向武昌 时间: 2006-4-17 20:39
血播tb
作者: chaisijun 时间: 2006-4-17 22:44
支气管肺泡癌
作者: jyhe 时间: 2006-4-17 23:12
双肺分布、大小、密度均匀的小结节影,先考虑血行播散型结核或转移瘤。如果是转移瘤则原发灶是血供丰富的恶习性肿瘤,如肉瘤。肺泡癌结节型时,亦少见弥漫布。
作者: wanglianfeng 时间: 2006-4-17 23:16
明显就是一个血播肺结核的影象改变!!!
结合病史看,咳嗽、咳痰一个月,临床症状一般要比影象表现早两个星期
然而结核是消耗性疾病,导致体重的减轻。
作者: 师医生 时间: 2006-4-17 23:42
血播肺结核
作者: wangxixi 时间: 2006-4-18 00:06
kao
作者: lushijun 时间: 2006-4-18 00:38
支持肺泡癌
作者: jiangjiesan 时间: 2006-4-18 01:08
右肺上叶斑块状影,双肺弥漫分布多发小结节影,以双下肺叶为著。
考虑:1、右侧肺癌并双肺内血行转移。
2、肺泡细胞癌。
3、不除外血行播散型肺结核,建议结合临床查痰或做结核菌素实验。
作者: flower1199 时间: 2006-4-18 02:26
谢谢翁主任的指导。也感谢战友的支持。
该病例本人的意见是:1、细支气管肺泡细胞癌。2、血行播散型肺结核。
该病例在随访中,希望有病理结果。
作者: xcc106 时间: 2006-4-18 02:31
右肺上叶类圆影,两肺小结节影,结合临床考虑右上肺癌伴肺内转移可能性大。
作者: yzh9939 时间: 2006-4-18 03:03
标题: 回复:x0675:[分享]经典胸片
本例影像特征和临床表现可符合“血行播散型肺结核”表现:
(1).两肺弥漫性粟粒状结节有“三均匀”特点——大小均匀、分布均匀、形态一致;
(2).右上肺斑块影、周围可见线样影(淋巴管炎),考虑为结核球;
(3).结核病是一种消耗性疾病,可引起乏力、盗汗、消瘦等全身性症状。
鉴别:
1. 细支气管肺泡癌——多分布不均匀,有肺炎样、大小不一的结节样改变,结节较大(多为实质性结节,直径大于0.5cm)。
2. 肺转移瘤——不完全排除。建议进一步检查/治疗/随访。
作者: zp-jnch 时间: 2006-4-18 03:09
肺泡细胞癌
作者: lxj909 时间: 2006-4-18 03:14
血行播散型肺结核
作者: 余辉 时间: 2006-4-18 04:18
考虑:血播肺结核 肺泡癌 血播转移瘤
作者: 陈曦 时间: 2006-4-18 04:24
右上肺可见一团状软组织密度影,两肺散在粟粒状结节影,病变分布以两下肺为主,首先考虑肺泡癌,不除外血播行肺结核。
作者: SHUQIANG1 时间: 2006-4-18 04:49
同意红宇宙的看法!血行播散肺结核可能性大.有上肺类圆行高密度模糊病灶应该拍个侧位或ct检查,看看纵隔情况哦!
作者: 同 时间: 2006-4-18 05:22
肺泡细胞癌 结核 建议ct检查
作者: yanliang 时间: 2006-4-18 06:09
老年患者首先考虑粟粒性肺结核,不排除肺泡癌。
作者: livingod 时间: 2006-4-18 06:10
两肺弥漫分布小粟粒状结节影,考虑:1、血播tb;2、肺泡细泡癌待排除
作者: liuhj 时间: 2006-4-18 06:16
支持21楼
作者: lkc8963 时间: 2006-4-18 06:19
标题: 回复:x0675:[分享]经典胸片
以下是引用xcc106在2006-4-17 18:31:00的发言:[br]右肺上叶类圆影,两肺小结节影,结合临床考虑右上肺癌伴肺内转移可能性大。
作者: caihe 时间: 2006-4-18 06:32
标题: 回复:x0675:[分享]经典胸片
黄某,女,66岁,胸闷、咳嗽1个月,近日体重减轻。请讨论。

作者: jiangjing 时间: 2006-4-18 06:47
大小,密度、分布之三均线相伴右上肺小班结影考虑1急性血型播散型肺结核。2肺癌肺转移。3bac。
作者: 周杭 时间: 2006-4-18 06:58
右上肺团块状影,边界不清,两肺弥漫分布大小均匀粟粒影.诊断:肺ca伴转移.鉴别:1.肺泡细胞ca2.急性血行播散性肺病 tb.
作者: zhuxinli 时间: 2006-4-18 08:25
标题: 回复:x0675:[分享]经典胸片
以下是引用caihe在2006-4-17 22:32:00的发言:[br]黄某,女,66岁,胸闷、咳嗽1个月,近日体重减轻。请讨论。[br]
[br]
作者: qlonghu 时间: 2006-4-18 16:49
支持“将军”的诊断
作者: yczzq 时间: 2006-4-18 17:35
首先考虑粟粒性肺结核,不排除肺泡癌。
作者: juwen73 时间: 2006-4-18 19:57
支持caihe版主,考虑右肺癌伴肺内转移,建议ct。
作者: 韵翔 时间: 2006-4-18 23:26
大家都定不下来,斑竹自己也不知道,也叫经典,高人!
作者: ztbzyp 时间: 2006-4-19 01:54
肺结核
作者: wwwise 时间: 2006-4-19 04:30
考虑粟粒型结核。不支持肺泡癌,那应该有结节融合征象。也不支持转移瘤。
作者: chenyingfu 时间: 2006-4-19 04:36
两肺弥漫性分布的粟粒阴影,结合病史考虑为肺泡细胞癌可能性性大。
作者: 穿透你 时间: 2006-4-19 04:42
大概是肺结核血行播散征象!
作者: 楚楚 时间: 2006-4-19 04:54
好!
作者: bbyw1981 时间: 2006-4-19 05:08
考虑血tb!!!肺泡癌!!
作者: yytbzjw 时间: 2006-4-21 22:38
肺泡癌,结核待排
作者: 凤求凰 时间: 2006-4-22 21:24
肺泡癌临床症状不像
倾向肺结核,建议ct
作者: chenyouguo 时间: 2006-4-25 17:17
两肺见弥漫分布的小粟粒状影,老年患者,胸闷、气短、体重减轻,从影像学表现首先考虑:急性血行播散性肺结核;从临床症状及年龄应该考虑:肺泡细泡癌
作者: 学无止境 时间: 2006-4-26 01:03
右肺第一前肋间见一结节影,边界欠请,两肺见散在的小结节影,以两下肺野明显,我考虑右上肺肺癌并肺内转移。
作者: songdw67v 时间: 2006-4-26 01:03
支持4楼
作者: 憨哥 时间: 2006-4-26 05:52
应结合临床,查结核菌素试验,及在痰液中找结核杆菌.就片子1考虑血型播散型肺结核,但右上肺高密度影如何解释?如果是结核球那应该考虑原发型肺结核.即原发型加播散型肺结核二者并不矛盾.2考虑肺的转移瘤,二者均可引起恶病质.
作者: 实习医生 时间: 2006-4-26 08:04
肺泡细泡癌
作者: 志同道合 时间: 2006-4-26 19:18
有咯血、咳嗽等症状首先考虑血型tb;无症状考虑支气管肺泡癌。
作者: wbqq 时间: 2006-5-8 03:48
1.急性血行播散型肺结核;
2肺泡细胞癌。
作者: 啼血杜鹃 时间: 2006-5-8 06:35
从临床症状及年龄应该考虑:肺泡细泡癌。
作者: 高佳 时间: 2006-5-8 23:06
考虑播散型肺结核
作者: 田医生 时间: 2006-5-9 06:20
血行播散性肺结核。
作者: yytbzjw 时间: 2006-5-9 19:17
同意10楼分析诊断
作者: yrj3222585 时间: 2006-5-10 15:05
右肺第一肋间中内带区密度较淡的片状致密影,略呈块状,双肺弥漫分布的小结节状影,加上病人最近体重减轻,66岁,所以我认为应该考虑支气管肺泡癌可能性最大。
作者: jinguoji 时间: 2006-11-14 21:10
两肺见弥漫分布的小粟粒状影,考虑:1、血播tb;2、肺泡细泡癌;3、肺内转移病变。
作者: real520 时间: 2006-11-15 01:56
同意10楼的分析,长见识了!
作者: rf 时间: 2006-11-15 04:38
右肺第一肋间中内带区密度较淡的片状致密影,略呈块状,双肺弥漫分布的小结节状影,加上病人最近体重减轻,66岁,所以我认为应该考虑支气管肺泡癌可能性最大。
yrj3222585说
支持59
作者: wz86100315 时间: 2006-11-15 04:48
支持楼上意见:两肺见弥漫分布的小粟粒状影,考虑:1、血播tb;2、肺泡细泡癌;3、肺内转移病变。
肺泡ca可能性较大
作者: shibing 时间: 2012-10-5 14:28
肺结核血行播散征象!
| 欢迎光临 医影在线 (http://bbs.radida.com/bbs/) |
Powered by Discuz! X3.2 |