医影在线
标题: X0688:[讨论]膝关节损伤(有CT,MRI及手术的结果) [打印本页]
作者: 杏林古木 时间: 2006-4-22 02:59
标题: X0688:[讨论]膝关节损伤(有CT,MRI及手术的结果)
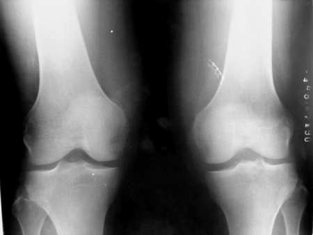
男,45。骑摩托车摔伤左膝肿痛三天,浮髌(+),活动受限。请大家看看片子有问题吗?


[本贴已被 jiajie 于 2006-4-21 20:32:34 修改过]
[本贴已被 杏林古木 于 2006-4-22 22:17:58 修改过]
[本贴已被 杏林古木 于 2006-4-25 17:19:54 修改过]
[本贴已被 杏林古木 于 2006-4-26 17:08:34 修改过]
作者: X线 时间: 2006-4-22 03:34
图像不是很清晰,除关节肿胀外未见明显异常。
作者: pdd 时间: 2006-4-22 04:35
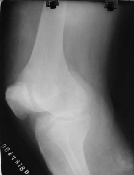
侧位片股骨远端与髌骨重叠部见团块壮骨密度影,考虑股骨远端撕脱骨折
作者: SHUQIANG1 时间: 2006-4-22 04:38
可疑左胫骨平台骨折.建议ct检查.
作者: qinwei260 时间: 2006-4-22 05:27
左胫骨髁间隆突骨折,建议ct检查!!
作者: 杏林古木 时间: 2006-4-22 06:18
5楼好眼力!
作者: dyqct 时间: 2006-4-22 06:55
不好说。
作者: linda 时间: 2006-4-22 07:26
考虑胫骨平台骨折
作者: 旭阳 时间: 2006-4-22 20:13
不清晰,且左右不明确.胫骨平台上隐约可见一小骨片,
应该是左髁间突隆骨折?
作者: 凤求凰 时间: 2006-4-22 21:03
是平台骨折,5楼强
作者: liuhj 时间: 2006-4-22 21:34
片的质量不是很好,髌骨前下角好像有透亮线?
作者: wjs62 时间: 2006-4-22 22:05
左侧胫骨平台骨折
作者: duguo 时间: 2006-4-23 01:31
5楼说的对。
作者: wqs571018 时间: 2006-4-23 02:43
像是胫骨髁间嵴骨折!
作者: zhangkening 时间: 2006-4-23 03:42
好象是胫骨平台骨折
作者: 连银 时间: 2006-4-23 05:15
关节积液及股骨远端可疑骨折
作者: 杏林古木 时间: 2006-4-23 06:15
标题: 回复:x0688:[讨论]膝关节损伤
现在把ct结果公布,请大家继续讨论。


作者: 枫叶 时间: 2006-4-23 07:59
左胫骨髁间隆突骨折,建议ct检查!!
____关节囊内积血!!!
作者: 杏林古木 时间: 2006-4-26 01:38
标题: 现将mri结果公布









作者: 实习医生 时间: 2006-4-26 04:17
ct
作者: 实习医生 时间: 2006-4-26 07:48
平台骨折
作者: 杏林古木 时间: 2006-4-27 00:50
标题: 手术证实的结果。
手术证实是后交叉韧带胫骨附着处撕脱骨折。

术中用可吸收螺钉固定。

[本贴已被 杏林古木 于 2006-4-26 16:52:16 修改过]
作者: jinguoji 时间: 2006-11-14 05:40
胫骨平台骨折
作者: shibing 时间: 2012-9-26 07:56
手术证实是后交叉韧带胫骨附着处撕脱骨折。
| 欢迎光临 医影在线 (http://bbs.radida.com/bbs/) |
Powered by Discuz! X3.2 |