
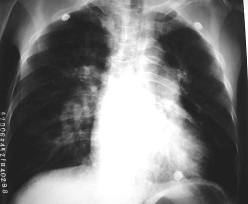
以下是引用lkc8963在2006-4-23 13:48:00的发言:[br]照片太黑无法观察肺野;仅见右下肺动脉干增粗,左肺门扩大;左下肺心后方似见片影(可以加照侧位或多轴位透视可以明确),右室轻大,上纵隔结构正常,说明有肺动脉高压,可能为肺心病所致,是否存在右心衰请结合临床,本片提示征象不足;[br]至于有无肺栓塞,本片无明确支持该病诊断,但不能除外因有肺动脉高压征象。pe多有基础病史,在影像学表现常为肺外周楔片影,右侧多见,和肺动脉增粗,如需排除,可做一个胸部ct增强了解管腔内有无充缺。
| 欢迎光临 医影在线 (http://bbs.radida.com/bbs/) | Powered by Discuz! X3.2 |