医影在线
标题: CT3295:[原创上腹部强化扫描.请讨论!谢谢! [打印本页]
作者: guzhongliangddd 时间: 2006-4-27 02:17
标题: CT3295:[原创上腹部强化扫描.请讨论!谢谢!
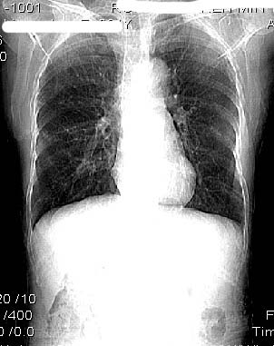
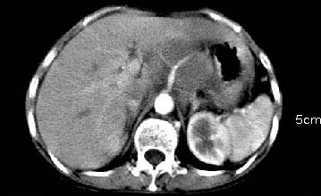
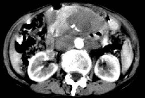
女:61岁.腹痛腹胀20天,行b超腹膜后实性占位.扫完后我查体发现患者右颈根部约3厘米类圆性包块,有移动{我考虑右颈根部包块是肿大淋巴结}.







































[本贴已被 jiajie 于 2006-4-26 18:43:18 修改过]
作者: trendsta 时间: 2006-4-27 02:26
考虑腹膜后或小肠系膜肿瘤
作者: 蓝天1号 时间: 2006-4-27 03:00
腹膜后纤维化
作者: 123789 时间: 2006-4-27 03:50
腹膜后恶性淋巴瘤侵犯腹腔动脉
作者: 光线 时间: 2006-4-27 04:02
考虑腹膜后肉瘤
作者: 晓杰 时间: 2006-4-27 04:06
考虑腹膜后肉瘤
作者: husiling 时间: 2006-4-27 04:15
考虑淋巴瘤侵犯腹主动脉.
作者: LXH19701221 时间: 2006-4-27 04:20
腹膜后淋巴瘤融合成团并包绕周围血管
作者: 绿水青山 时间: 2006-4-27 04:30
标题: 1
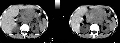
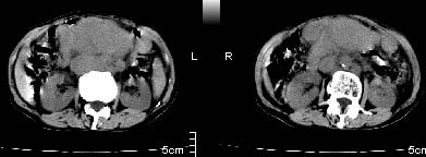
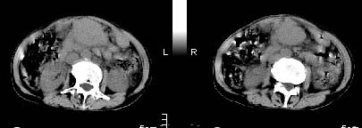
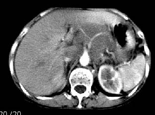
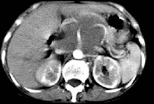
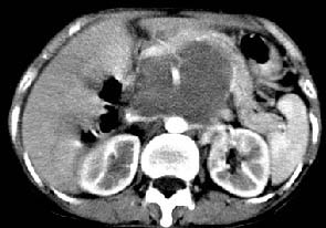
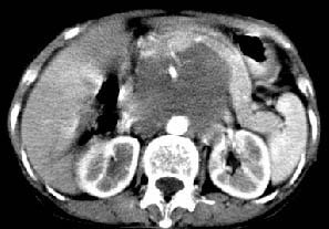
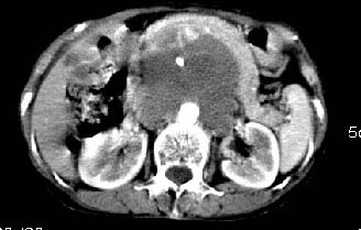
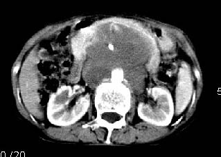
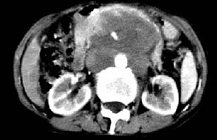
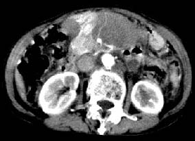
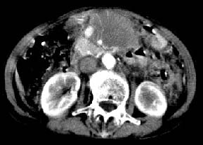
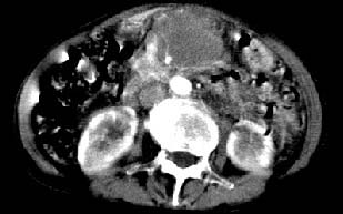
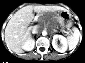
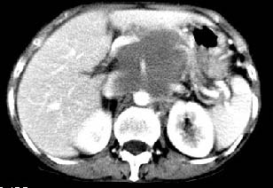
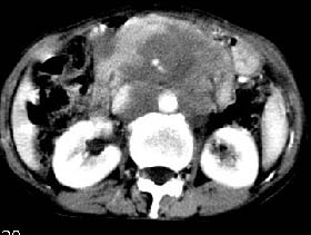
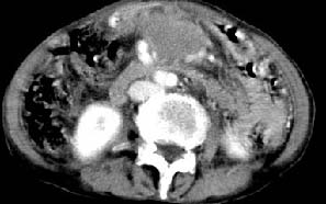
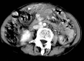
ct:肝胃之间、胰头后、腹主a周围,融合而成团块状影,包绕血管,胰腺前移后缘分界欠清,与肝胃分界清,肿块未见明显强化,肝右叶后段小囊肿。
女:61岁.腹痛腹胀20天,行b超腹膜后实性占位.扫完后我查体发现患者右颈根部约3厘米类圆性包块,有移动{考虑右颈根部包块是肿大淋巴结}.
诊断:淋巴瘤>转移瘤。
1检查胃肠道2淋巴穿刺病检。
[本贴已被 jiajie 于 2006-4-28 12:47:58 修改过]
作者: shenwd 时间: 2006-4-27 04:37
支持淋巴瘤诊断
作者: tsxhfsk 时间: 2006-4-27 04:39
肝胃之间、胰头后、腹主a周围,融合而成团块状影,包绕血管,胰腺前移后缘分界欠清,与肝胃分界清,肿块未见明显强化,考虑淋巴瘤可能性大
作者: fumaogui 时间: 2006-4-27 04:52
腹膜后淋巴瘤.
作者: wangzhanshuang 时间: 2006-4-27 04:52
胰腺受压前移,胰管扩张,应为腹膜后占位,病灶密度不均,有低密度坏死区,强化扫描强化不明显腹腔干动脉受侵,考虑腹膜后恶性占位
作者: wwp 时间: 2006-4-27 05:21
淋巴瘤可能性大.
作者: maqingya 时间: 2006-4-27 05:50
腹膜后淋巴瘤融合成团并包绕周围血管
作者: dyqct 时间: 2006-4-27 05:52
腹膜后淋巴结病变;转移瘤>淋巴瘤;建议查原发灶。
作者: majianqiang 时间: 2006-4-27 06:03
考虑淋巴瘤
作者: guzhongliangddd 时间: 2006-4-27 06:04
标题: 回复:ct3295:[原创上腹部强化扫描.请讨论!谢谢!


作者: sea海hai 时间: 2006-4-27 06:06
从发病部位(腹主动脉周围)及增强方式(均匀轻度强化、少量坏死)和病变形态(较大、多结节形)符合腹膜后淋巴瘤,建议颈部病变活检。
作者: kbzyycm 时间: 2006-4-27 06:08
考虑腹膜后肉瘤
作者: guzhongliangddd 时间: 2006-4-27 06:22
标题: 1
我的第1诊断还是考虑是淋巴类病变1}。从病灶形态上看不是很规则,但其更向是多个结节的融和,其内有少许坏死,整个病灶的强化不是很明显,临近左恻肠间隔有增厚,2}我认为更重要的一点的是肠系膜有明显增厚呈片状。3}患者的脾脏不大其未见异常病灶。结合以上几点我首先考虑是转移性{但对此诊断我觉得不足之处;转移性的淋巴结肿大融合为什么没有坏死?}。{另外患者无大便习惯改变及血便,其发现右颈包块在今年过年无意发现}。以上是我的浅分析望各位战友继续讨论!谢谢!!
[本贴已被 jiajie 于 2006-4-28 12:47:54 修改过]
作者: 逸风 时间: 2006-4-27 06:46
标题: 回复:ct3295:[原创上腹部强化扫描.请讨论!谢谢!
实话实说,不认识,看什么都象!!我怎么感觉左侧肠管分布及形态那么不舒服呀?病史也有些短,会不会是腹膜后脓肿呀!不好意思,猜的,向大家学习来了!呵呵
作者: jiangjing 时间: 2006-4-27 06:55
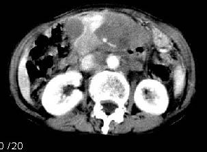
肝胃之间、肝十二指肠韧带,胰头后、腹主a周围,融合而成团块状影,包绕血管[腹腔干、肠系膜上动脉,腹主动脉],胰腺前移后缘分界欠清,与肝胃分界清,肿块未见明显强化,肝右叶后段小囊肿。
女:61岁.腹痛腹胀20天,行b超腹膜后实性占位.扫完后我查体发现患者右颈根部约3厘米类圆性包块,有移动{考虑右颈根部包块是肿大淋巴结}.
考虑1淋巴瘤。2转移瘤。3恶性组织细胞瘤。
作者: guzhongliangddd 时间: 2006-4-27 07:18
患者无发烧,及大便习惯改变.
作者: x-man 时间: 2006-4-27 07:40
腹膜后淋巴结肿大,转移瘤>淋巴瘤.
作者: stronger16 时间: 2006-4-27 09:55
支持腹膜后恶性淋巴瘤诊断
作者: hpyea 时间: 2006-4-27 10:43
标题: 1
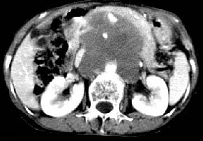
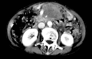
主动脉-胰腺间隙可见巨大分叶状软组织肿块影,包绕腹主动脉、腹腔干及其分支、腔静脉等大血管,增强呈无明显强化,临近脏器明显受压移位,增强示有分界。肝右叶可见局限性低密影,边缘清楚。
考虑腹膜后淋巴瘤。
[本贴已被 jiajie 于 2006-4-28 12:47:39 修改过]
作者: qian 时间: 2006-4-27 16:14
肝胃之间、肝十二指肠韧带,胰头后、腹主a周围,融合而成团块状影,包绕血管[腹腔干、肠系膜上动脉,腹主动脉],胰腺前移后缘分界欠清,与肝胃分界清,肿块未见明显强化,肝右叶后段小囊肿。
女:61岁.腹痛腹胀20天,行b超腹膜后实性占位.扫完后我查体发现患者右颈根部约3厘米类圆性包块,有移动{考虑右颈根部包块是肿大淋巴结}.
考虑1淋巴瘤。2转移瘤。3恶性组织细胞瘤
作者: liujf 时间: 2006-4-27 18:31
标题: 1
耐人寻味的好病历
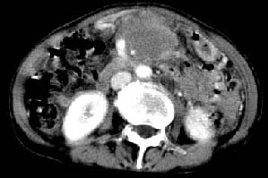
影象表现:平扫,首先可见胃壁明显增厚,内外边缘清晰,外缘光滑,内边缘不归整,同时胃腔明显缩小。
再看从肠系膜根部到胰腺后主动脉及上腔静脉周围可见相连的较大的软组织肿块影,形态不规则,呈明显
的大小不等的分叶状,其中密度较均匀但其中可见条状低密度区,肿块边缘比较清晰周围的小肠受压移位
明显且堆积。
增强所见,腹腔动脉,肠系膜上动静脉被肿块包绕,结合平扫的条状低密度区恰好位于血管周围,较大的
肿块强化不明显(遗憾的是没有标上ct值)但胃壁强化的十分明显。
临床表现:老年女性:61岁.腹痛腹胀20天,查体发现患者右颈根部约3厘米类圆性包块。
影象诊断:考虑淋巴瘤待除外胃癌腹膜后淋巴结转移
讨论:首先看肠系膜和腹膜后的肿块我认为是多发融合的肿大的淋巴结。理由1大小不等的分叶,分布比较
自由。2其中的包绕的血管和周围少量的脂肪即所说的。
同时胃的影象表现和临床的不典型表现,所以我认为淋巴瘤,临床表现不支持胃癌
[本贴已被 jiajie 于 2006-4-28 12:47:30 修改过]
作者: 迎客松 时间: 2006-4-27 19:44
恶性淋巴瘤可能性非常大
作者: ssl1_1 时间: 2006-4-28 03:12
腹膜后淋巴瘤融合成团并包绕周围血管
作者: 天风 时间: 2006-4-28 04:52
导引下穿刺
做个病理
作者: 热河 时间: 2006-4-28 16:40
腹膜后淋巴瘤血管包埋
作者: yemin92007 时间: 2006-4-28 18:37
考虑腹膜后淋巴瘤融合致血管包埋。
作者: 守望可可 时间: 2006-4-28 19:25
支持29楼liujf的诊断,首先考虑腹膜后淋巴瘤,建议胃镜检查胃,胃癌转移至腹膜后为第2考虑
作者: zhuxinli 时间: 2006-4-29 20:25
支持腹膜后恶性淋巴瘤诊断
作者: shibing 时间: 2015-6-8 10:29
淋巴瘤
| 欢迎光临 医影在线 (http://bbs.radida.com/bbs/) |
Powered by Discuz! X3.2 |