医影在线
标题: CT3297:上腹部平扫,请指教! [打印本页]
作者: 逸风 时间: 2006-4-27 05:31
标题: CT3297:上腹部平扫,请指教!
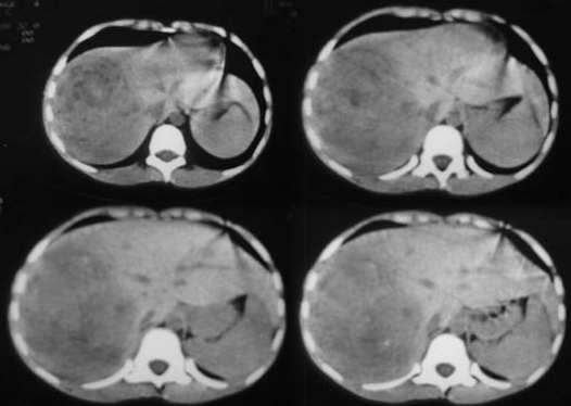
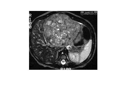
患者男性,10岁,腹痛4小时余,5年前患乙肝.查:右上腹压痛(+),反跳痛(+)血常规:wbs13.5x10(9)/l,b超提示:右肝实质性占位,性质待查.afp弱阳性患者男性,10岁,腹痛4小时余,5年前患乙肝.查:右上腹压痛(+),反跳痛(+)血常规:wbs13.5x10(9)/l,b超提示:右肝实质性占位,性质待查.afp弱阳性.
由于拍照技术不熟悉,图象模糊,请大家原谅!!




[本贴已被 jiajie 于 2006-5-9 8:55:40 修改过]
作者: 逸风 时间: 2006-4-27 05:40
标题: 回复:上腹部平扫,请指教!
肝右叶巨大类圆形混杂密度影,边缘清晰,病变内部密度不均匀,可见环形钙化,我们考虑肝脏恶性肿瘤,肝母细胞瘤或肝细胞癌.请大家就平扫给予分析和指教.谢谢!!患者直接上省级医院检查,未做增强!
作者: 国王 时间: 2006-4-27 05:54
考虑肝母细胞瘤
作者: dyqct 时间: 2006-4-27 05:55
同意楼主意见,也只能这样了。
作者: xizhong 时间: 2006-4-27 05:59
肝右叶巨大软组织块影,其内可见钙化,考虑肝母c瘤.
作者: 应项雪 时间: 2006-4-27 06:15
标题: 肝母还是肝癌
肝母细胞瘤(hb)好发年龄在3岁以下,以1岁以下为多见,与乙型病毒性肝硬化无关,90%以上甲胎蛋白阳性明显升高,钙化占肿瘤38%~50%,由于肝母细胞瘤生长迅速,在肿瘤区域可出现不同程度坏死、出血或纤维瘢痕。
肝细胞癌 发病年龄高峰为4岁及12~15岁,男女之比约为1.3,与hbv感染、肝硬化有关。组织形态上,分化好的肝细胞癌可见到一些肝细胞的特征。
本例考虑肝细胞癌
下面上传经病理证实的hb



[本贴已被 应项雪 于 2006-4-26 22:21:44 修改过]
作者: jiangjing 时间: 2006-4-27 06:38
肝影增大,肝右叶巨大类圆形混杂密度影,边缘清晰,病变内部密度不均匀,可见环形钙化,我们考虑肝脏恶性肿瘤,肝母细胞瘤可能性大,有乙肝病史肝细胞癌不完全除外。!
作者: guzhongliangddd 时间: 2006-4-27 06:51
我同意楼主的分析,1,该患者的肝大,2,病灶有见条状钙化3,有一点不支持:该病例的临床特点是血清甲胎蛋白很高.建议楼主随访!
作者: wangzhanshuang 时间: 2006-4-27 07:20
儿童还是肝母细胞瘤的可能性大
作者: x-man 时间: 2006-4-27 07:31
还是考虑肝细胞瘤.
作者: renewliu 时间: 2006-4-27 07:34
支持6楼分析和图解对比鉴别!
作者: hpyea 时间: 2006-4-27 10:54
肝母细胞瘤
作者: qian 时间: 2006-4-27 16:01
支持肝母细胞瘤。
作者: fumaogui 时间: 2006-4-27 16:40
同意肝母细胞瘤的诊断.
作者: 王小鸭 时间: 2006-4-27 16:55
同意肝细胞癌的诊断
作者: 漫步云端 时间: 2006-4-27 16:59
支持肝母,建议:ct引导下穿剌活检。
作者: ygdygd123a 时间: 2006-4-27 18:50
支持肝母细胞瘤.
作者: nhrmyy 时间: 2006-4-27 22:39
肝右叶见团块状混杂密度影,体积较大,密度不均匀,其内见低密度坏死区,并见点状、条状高密度钙化影,患者10岁,上腹痛,afp弱阳性,5年前患乙肝,首先考虑肝细胞癌,纤维板层样肝细胞癌不除外。增强扫描可鉴别,纤维板层样肝细胞癌,临床无特异性,以腹块和上腹部不适为主,无病毒性肝炎病史,实验室检查hbsag 阴性afp正常或略升高,ct表现病灶内出现钙化为其特点。
作者: ssl1_1 时间: 2006-4-28 03:18
肝母细胞瘤
作者: 乡医 时间: 2006-4-28 03:22
肝右叶巨大类圆形混杂密度影,边缘清晰,病变内部密度不均匀,可见环形钙化,结合临床考虑肝母细胞瘤可能性大。
作者: 逸风 时间: 2006-4-30 19:10
标题: 回复:ct3297:上腹部平扫,请指教!
我晕~~~
1.患者到省级医院检查,专家告诉家属,回去输点液体吧,防止感染,再未做任何检查!!!听了后我晕倒,为基层医生的无奈而欲哭无泪,狂晕不止~~
2.图象被斑竹修改后怎么我这里不能打开??为我的电脑水平再次晕倒!!
作者: shibing 时间: 2015-6-8 10:28
肝影增大,肝右叶巨大类圆形混杂密度影,边缘清晰,病变内部密度不均匀,可见环形钙化,我们考虑肝脏恶性肿瘤,肝母细胞瘤可能性大,有乙肝病史肝细胞癌不完全除外。!
| 欢迎光临 医影在线 (http://bbs.radida.com/bbs/) |
Powered by Discuz! X3.2 |