医影在线
标题: CT3299:两肺转移瘤,请各位老师发表意见。 [打印本页]
作者: 韦绍全 时间: 2006-4-27 05:59
标题: CT3299:两肺转移瘤,请各位老师发表意见。
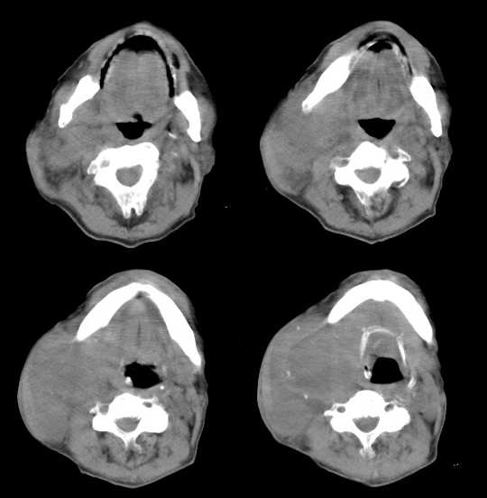
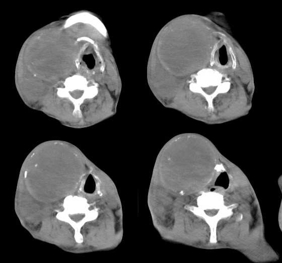
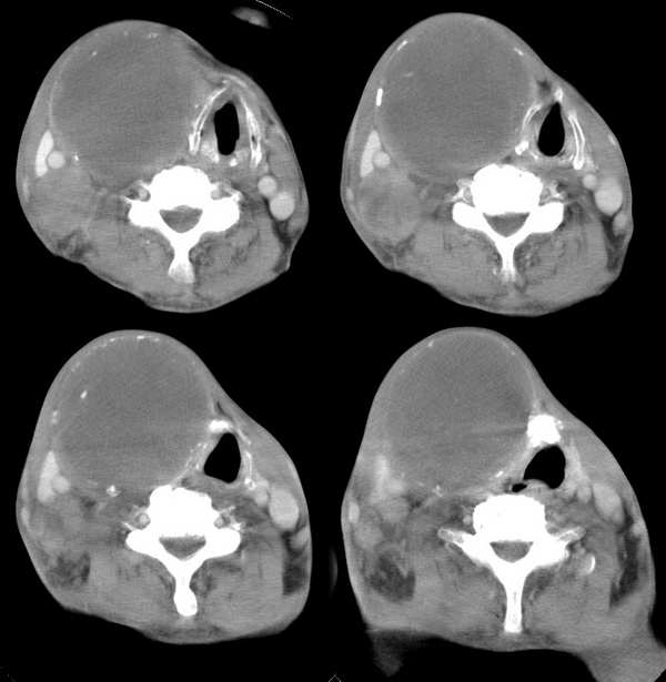
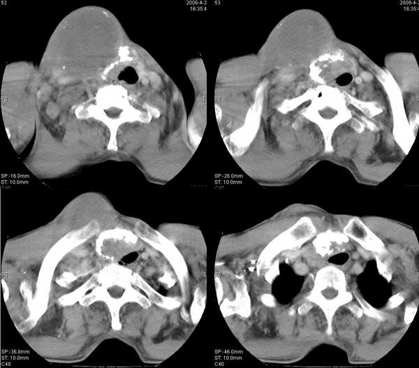
男,74岁,甲状腺肿30余年。现右颈部出现新肿块,疼痛,感乏力。

















[本贴已被 jiajie 于 2006-4-27 14:19:36 修改过]
作者: LXH19701221 时间: 2006-4-27 07:02
甲状腺腺癌肺内多发转移及纵隔淋巴结转移
作者: hpyea 时间: 2006-4-27 11:03
右侧甲状腺腺癌颈部纵隔淋巴结转移及肺内多发转移
作者: hao1234 时间: 2006-4-27 12:53
右侧甲状腺腺癌颈部纵隔淋巴结转移及肺内多发转移
作者: renewliu 时间: 2006-4-27 15:25
标题: 1
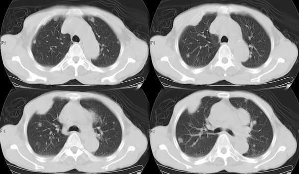
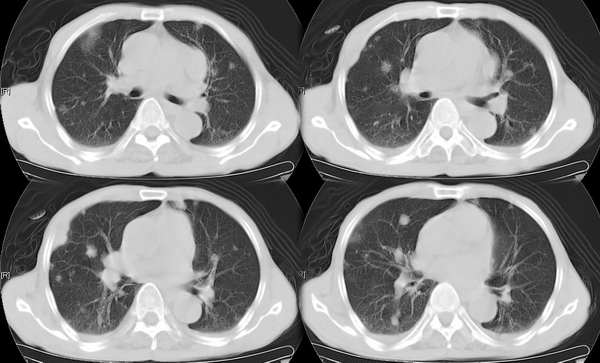
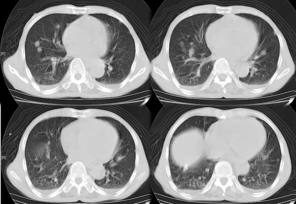
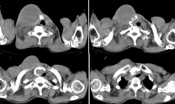
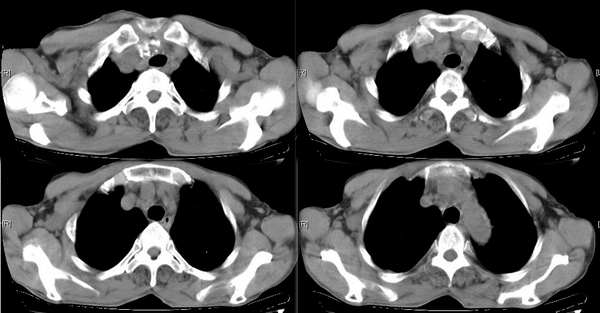
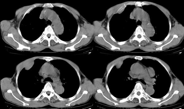
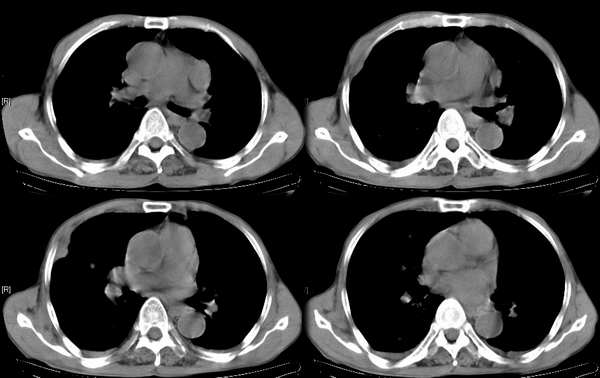
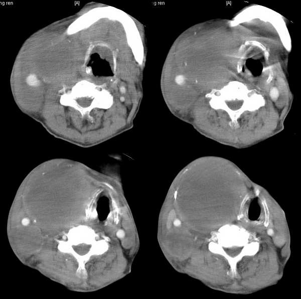
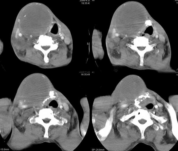
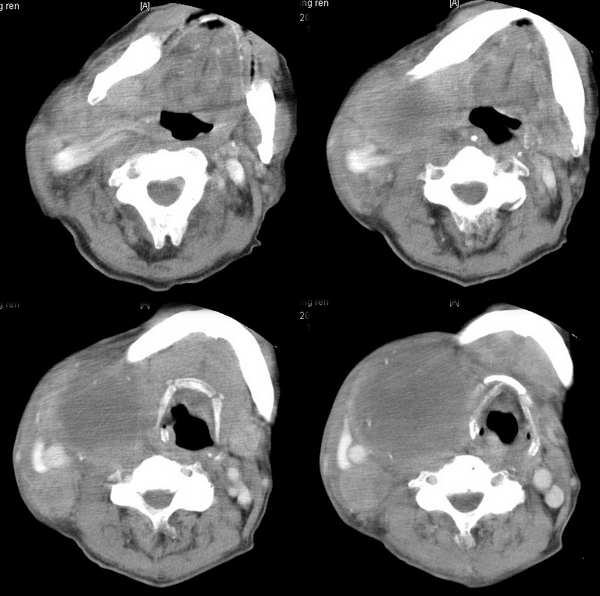
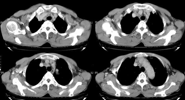
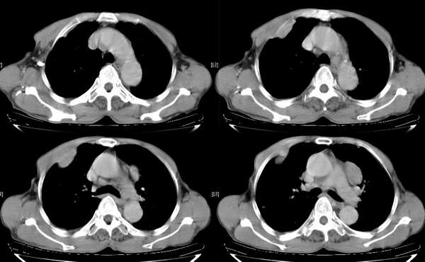
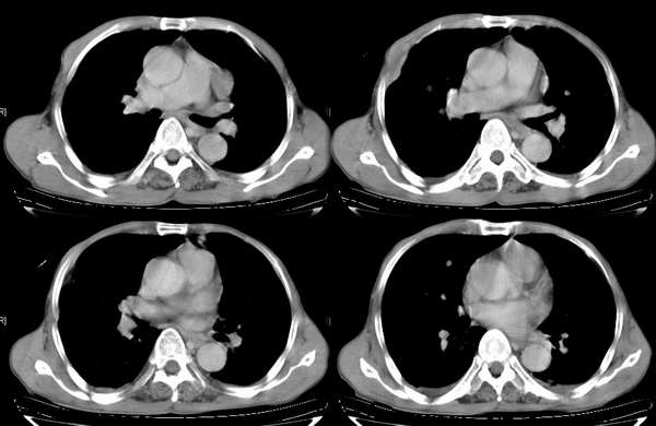
右颈部巨大软组织肿块影,范围较广,上至下颌角,下至颈静脉切迹。其最大层面位于右侧甲状腺区。肿块密度不均,其中有坏死液化区和班片状钙影,增强扫描见肿块实质区有强化。邻近结构挤压移位,部分结构侵蚀破坏,右侧多个颈深淋巴结肿大。两肺弥漫分布小结节影,以胸膜下为主,其大小不等,边缘光整。右侧胸壁亦见软组织结节影,纵隔多个淋巴结肿大及两侧锁骨上淋巴结肿大。
意见:右侧甲状腺癌并两肺、胸壁、纵隔淋巴结、颈深淋巴结、锁骨上淋巴结等广泛转移。
[本贴已被 jiajie 于 2006-4-27 13:41:29 修改过]
[本贴已被 renewliu 于 2006-4-27 17:37:05 修改过]
作者: qian 时间: 2006-4-27 15:53
支持楼上。
作者: dyqct 时间: 2006-4-27 16:06
右侧甲状腺腺癌伴颈部纵隔淋巴结转移、纵隔淋巴结转移、肺内多发转移及胸膜转移。
作者: dingn 时间: 2006-4-27 16:43
典型,肺部转移瘤
作者: 王小鸭 时间: 2006-4-27 16:47
右侧甲状腺癌伴两肺多发转移、纵隔淋巴结转移及胸膜转移
作者: fumaogui 时间: 2006-4-27 16:53
右侧甲状腺癌伴两肺多发转移、纵隔淋巴结转移及胸膜转移
作者: 漫步云端 时间: 2006-4-27 16:55
支持五楼……
作者: phsdyx 时间: 2006-4-27 17:22
标题: 回复:ct3299:两肺转移瘤,请各位老师发表意见。
以下是引用renewliu在2006-4-27 7:25:00的发言:[br]右颈部巨大软组织肿块影,范围较广,上至下颌角,下至颈静脉切迹。其最大层面位于右侧甲状腺区。肿块密度不均,其中有坏死液化区和班片状钙影,增强扫描见肿块实质区有强化。邻近结构挤压移位,部分结构侵蚀破坏,右侧多个颈深淋巴结肿大。两肺弥漫分布小结节影,以胸膜下为主,其大小不等,边缘光整。右侧胸壁亦见软组织结节影,纵隔多个淋巴结肿大及两侧锁骨上淋巴结肿大。[br]意见:右侧甲状腺癌并两肺、胸壁、颈深淋巴结、锁骨上淋巴结广泛转移。
作者: sdllxu 时间: 2006-4-27 17:43
标题: 回复:ct3299:两肺转移瘤,请各位老师发表意见。
以下是引用renewliu在2006-4-27 7:25:00的发言:[br]右颈部巨大软组织肿块影,范围较广,上至下颌角,下至颈静脉切迹。其最大层面位于右侧甲状腺区。肿块密度不均,其中有坏死液化区和班片状钙影,增强扫描见肿块实质区有强化。邻近结构挤压移位,部分结构侵蚀破坏,右侧多个颈深淋巴结肿大。两肺弥漫分布小结节影,以胸膜下为主,其大小不等,边缘光整。右侧胸壁亦见软组织结节影,纵隔多个淋巴结肿大及两侧锁骨上淋巴结肿大。[br]意见:右侧甲状腺癌并两肺、胸壁、颈深淋巴结、锁骨上淋巴结广泛转移。
作者: 流星1234 时间: 2006-4-27 21:17
右侧甲状腺癌并双肺,颈部 纵隔淋巴结及胸膜转移
作者: kbzyycm 时间: 2006-4-27 21:18
右侧甲状腺腺癌颈部纵隔淋巴结转移及肺内多发转移
作者: ssl1_1 时间: 2006-4-28 02:32
右侧甲状腺腺癌颈部纵隔淋巴结转移及肺内多发转移
作者: yyg1960 时间: 2006-4-28 02:46
怎么没找到左侧甲状腺。
作者: caihe 时间: 2006-4-28 03:36
支持5楼分析。结合病史,符合右侧甲状腺癌并两肺、胸壁、纵隔淋巴结、颈深淋巴结、锁骨上淋巴结等广泛转移。
作者: zhuxinli 时间: 2006-4-30 09:41
右侧甲状腺腺癌颈部纵隔淋巴结转移及肺内多发转移
作者: shibing 时间: 2015-6-8 10:28
右侧甲状腺癌伴两肺多发转移、纵隔淋巴结转移及胸膜转移
| 欢迎光临 医影在线 (http://bbs.radida.com/bbs/) |
Powered by Discuz! X3.2 |